症例詳細
Case detail
天然歯を模した ハイグレードオールセラミッククラウン
治療症例の内容
- 診療科目
 
- 治療カテゴリ
 
- 担当医
 - 大元洋佑(ドクタープロフィール)
 
- 患者様
 - 60代女性
 
- 治療期間
 - 1ヶ月
 
- 治療回数
 - 2-5回
 
- 治療計画
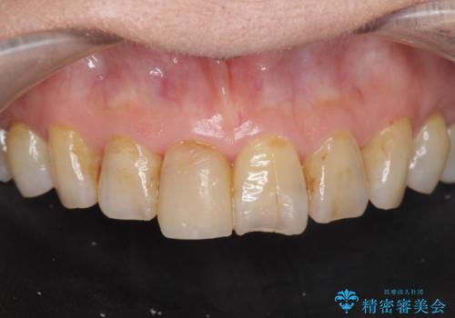
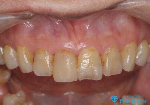
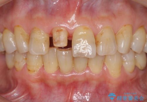
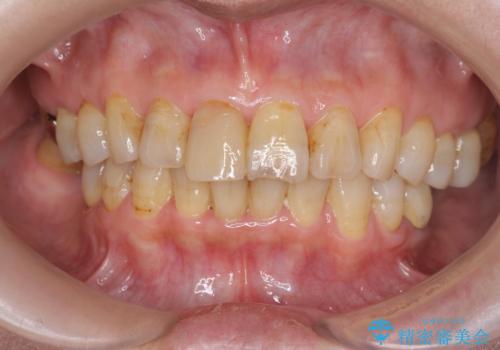
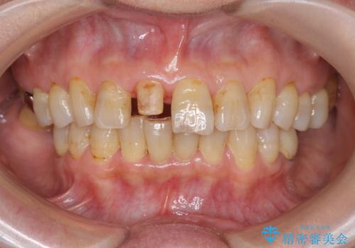
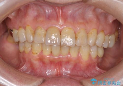
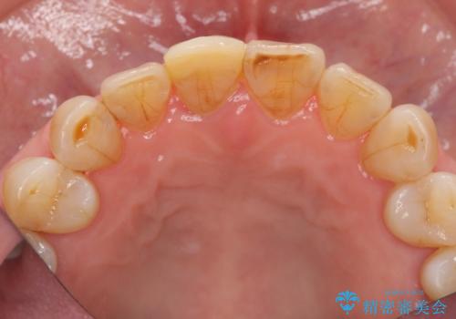
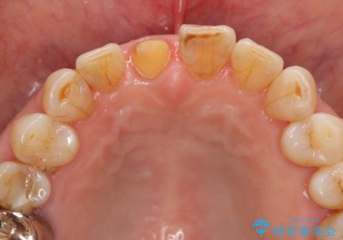
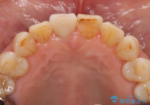
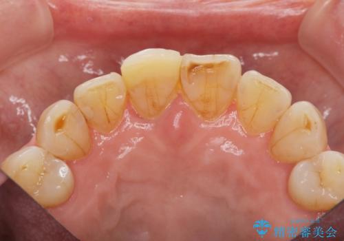
 - 前歯を転倒で受傷し、審美性の回復を求めて来院されました。
近医で暫間的なコンポジットレジン修復が為されていましたが、色調に不満があるということでした。
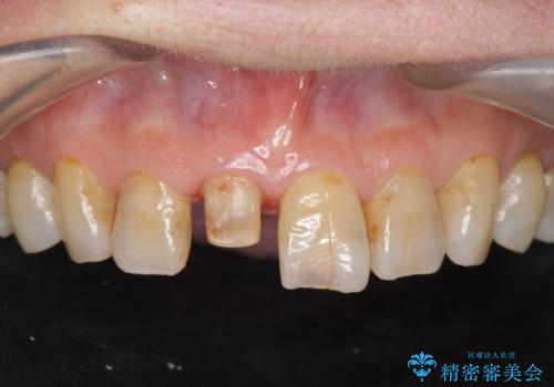
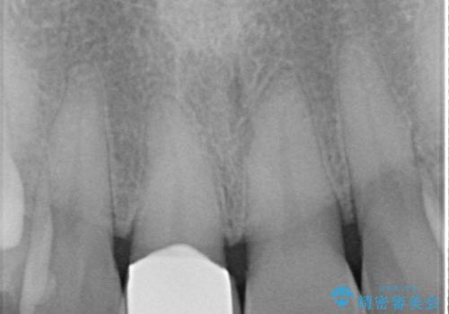
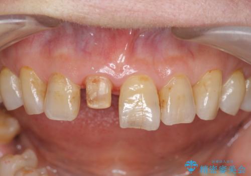
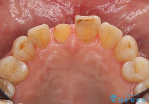
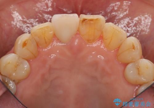
色調の変化が少なく、長期的な予後を見込めるジルコニアクラウンで天然歯を模した審美性の回復を計画します。 
- 費用(概算)
 - 19万円(仮歯・ジルコニアクラウンエクセレント)費用は治療当時の料金となります
 
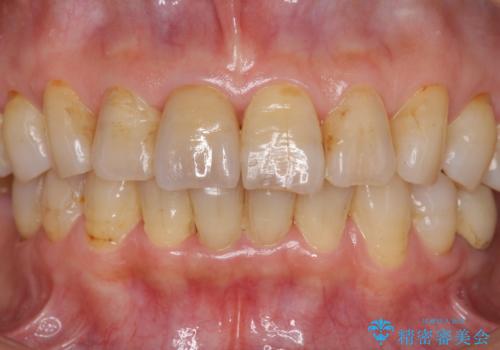
ジルコニアクラウンエクセレントについて
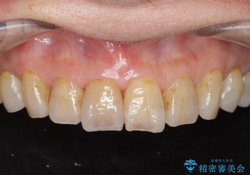
当法人でご提案できる最上位クラスのジルコニアクラウンです。
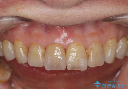
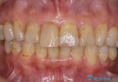
透明感や周囲の歯との色の調和に大変ご満足いただけました。
セラミック治療の注意事項(リスク・副作用など)
- 天然歯を削ります
 - 硬い素材は天然歯を傷つけてしまう場合があります
 - かみ合わせや歯ぎしりが強すぎる方はセラミックが割れてしまう可能性があります
 - 自費診療(保険適用外治療)となります
 
当サイトの内容、テキスト、画像等の無断転載、複製、複写、盗用を固く禁じます。

                      
                                                          


















