症例詳細
Case detail
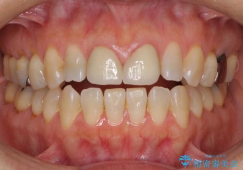
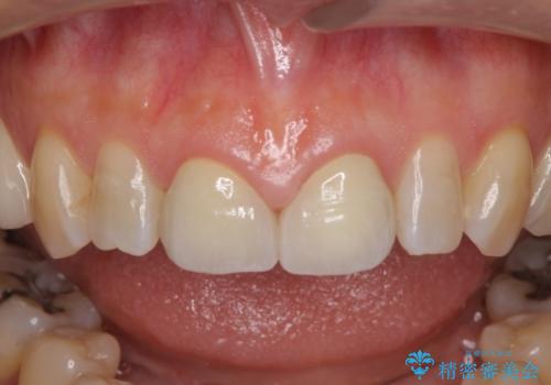
前歯のすきっぱ&奥歯の虫歯 セラミッククラウンで徹底的に治す
治療症例の内容
- 診療科目
- 担当医
- 患者様
- 40代女性
- 治療期間
- 7ヶ月
- 治療回数
- 5-10回
- 治療計画
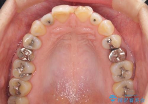
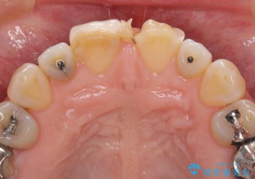
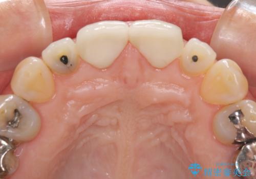
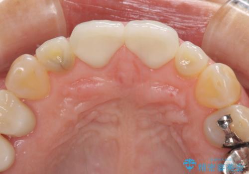
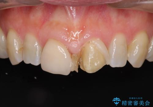
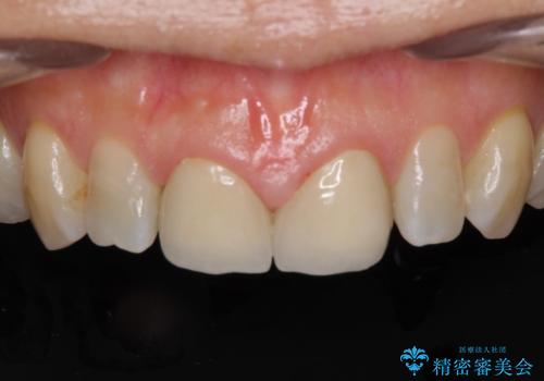
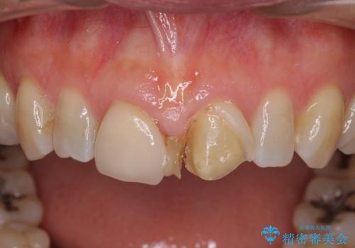
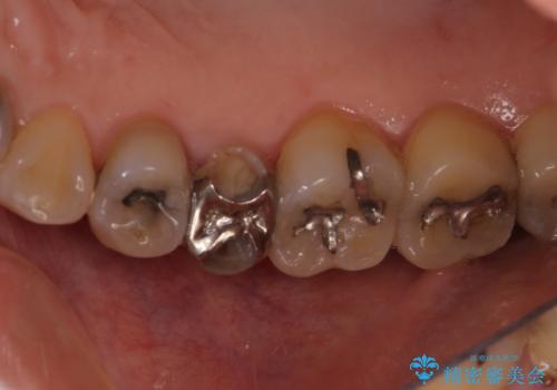
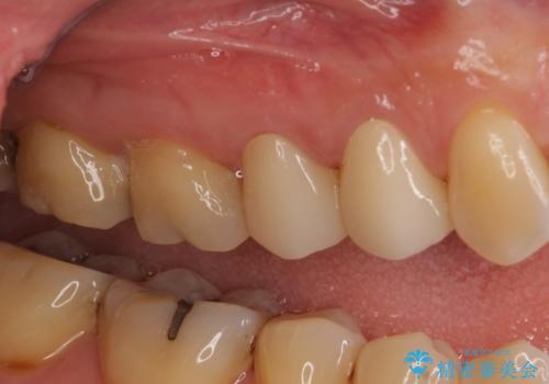
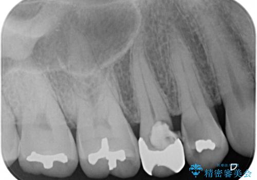
- 前歯のすきっぱを主訴にご来院された患者様です。他院でつめものやラミネートべニア(前歯の表面のみセラミックを貼り付ける)を行っていましたが、頻繁に外れることに悩まれており、クラウン(歯全体をセラミックがつつむ)をご希望されました。また、奥歯に大きな虫歯があり、歯が割れていたため、奥歯の治療も併せて行いました。
- 費用(概算)
- 45万円費用は治療当時の料金となります
治療詳細
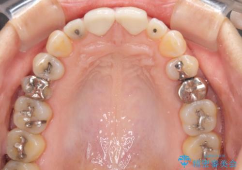
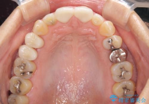
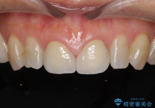
今回はまず欠けた場所を修復して見た目を回復させたのち、ラミネートべニアの仮歯をつくり、しばらく使用して考えて頂きました。メリットやデメリットを説明した結果、外れにくいセラミッククラウンをご選択頂きました。
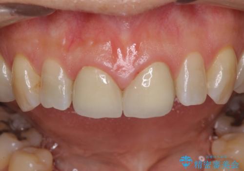
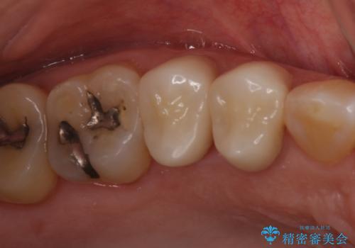
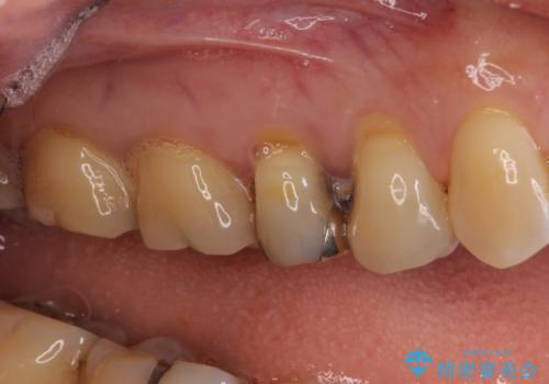
咬み合わせや元のご自身の歯の色に特徴があったため、セラミッククラウンを修正したり、隣の歯を金属を外して白いつめものに変えたりして経過観察を長めに行いました。
右上の歯に関しても、大きな虫歯があったため、前歯の経過観察の間に治療を行いました。
患者様には大変満足して頂きました。
ラミネートべニアとセラミッククラウン
ラミネートべニアのメリットは歯を削る量が少ない、デメリットは形態に限界がある、色の再現性に限界がある、外れやすい、境目から虫歯になりやすい等があります。
セラミッククラウンのメリットは比較的に色や形態が自由、外れにくい、デメリットは歯を削る量が多いのでしみる場合は根管治療が必要になる等があります。
今回は幸い、しみる症状がなかったため根管治療は行いませんでした。
すきっぱ
すきっぱはその程度によって治療法が異なります。基本的には、矯正治療によりすき間を閉じるときれいに仕上げることができます。
セラミッククラウンですき間を埋める場合、矯正治療と比較して、早い、本数によっては安価というメリットがあります。デメリットとしてはわざと大きい形態にするので、角度が急になる場所が掃除しにくい、ご自身の歯を削る等があります。
セラミック治療の注意事項(リスク・副作用など)
- 天然歯を削ります
- 硬い素材は天然歯を傷つけてしまう場合があります
- かみ合わせや歯ぎしりが強すぎる方はセラミックが割れてしまう可能性があります
- 自費診療(保険適用外治療)となります
当サイトの内容、テキスト、画像等の無断転載、複製、複写、盗用を固く禁じます。

























