症例詳細
Case detail
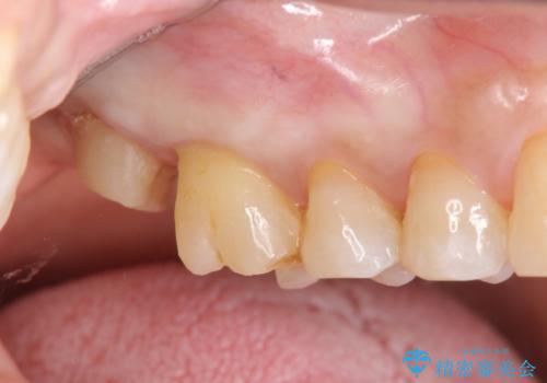
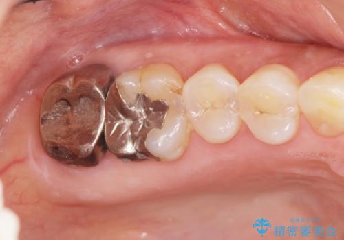
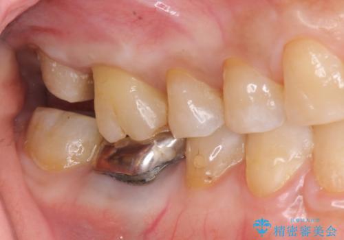
歯髄方向 歯肉方向へと深い 2種類の大きな虫歯
治療症例の内容
- 患者様
- 50代女性
- 治療期間
- 8ヶ月
- 治療回数
- 5-10回
- 治療計画
- 他院で虫歯が大きすぎて歯を抜くしかないと言われ、歯を残す手段はないものかと当院へ初診来院されました。
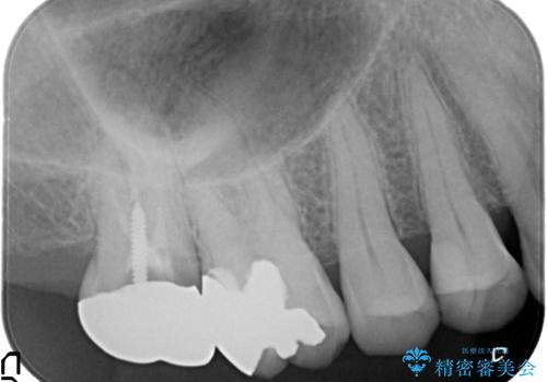
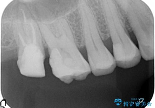
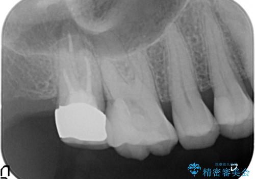
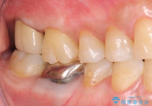
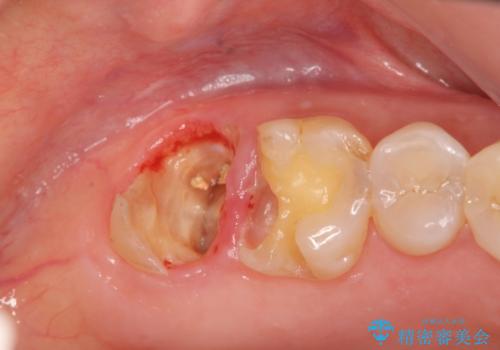
#17は失活歯で歯肉方向への縁下カリエス、#16は生活歯であるものの歯髄ギリギリの処置となるであろうとが予想される治療です。
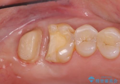
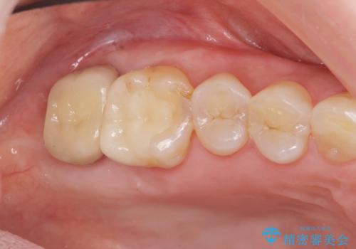
歯周外科、マイクロスコープを用いた虫歯治療を行い歯を残す治療計画を立てます。
- 費用(概算)
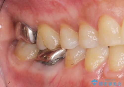
- 30万円(仮歯・ファイバーコア・ジルコニアクラウン・歯周外科・セラミックインレー)費用は治療当時の料金となります
虫歯治療について
深い虫歯には歯周外科、マイクロスコープを用いた丁寧な虫歯の除去を行うことで歯の神経や歯そのものを残すことが可能になります。
セラミック治療の注意事項(リスク・副作用など)
- 天然歯を削ります
- 硬い素材は天然歯を傷つけてしまう場合があります
- かみ合わせや歯ぎしりが強すぎる方はセラミックが割れてしまう可能性があります
- 自費診療(保険適用外治療)となります
歯周病治療の注意事項(リスク・副作用など)
- 外科手術のため、術後に痛みや腫れ、違和感を伴います
- 歯周組織再生治療は患者様の状態によって術後の経過が異なります(見た目が改善しない場合もあります)
- 歯周組織再生治療は自費診療(保険適用外)となります
当サイトの内容、テキスト、画像等の無断転載、複製、複写、盗用を固く禁じます。



























