症例詳細
Case detail
40代の矯正 八重歯を綺麗に
治療症例の内容
- 診療科目
- 担当医
- 井上季実子(ドクタープロフィール)
- 患者様
- 40代女性
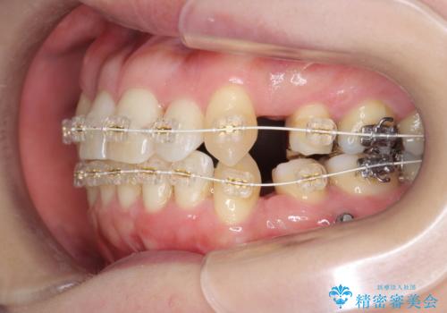
- 矯正装置
- 審美装置
- 治療期間
- 2年3ヶ月
- 治療回数
- 10-30回
- 治療計画
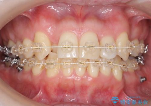
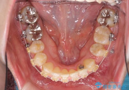
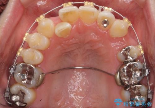
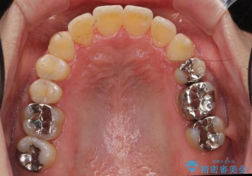
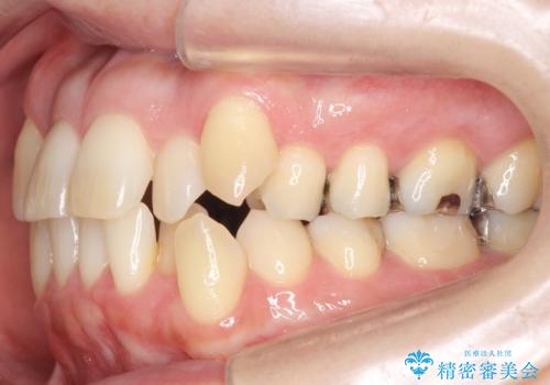
- 前歯のガタガタを主訴に来院。
・正中を顔にしっかり合わせるには、上下左右4本抜歯
・出来るだけ合わせる程度でよければ、左のみ上下2本抜歯。但し上下正中は揃わないかもしれない。
を提案し、
2本抜歯を選択されました。
矯正用のミニスクリューを使用し、また、前歯をIPRすることで正中の左へのずれを最小限に抑えています。
- 費用(概算)
- 95万円(通院費、リテーナー込み)費用は治療当時の料金となります
治療について
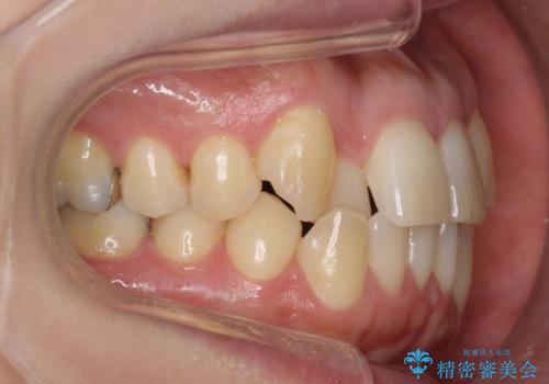
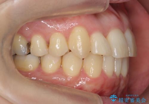
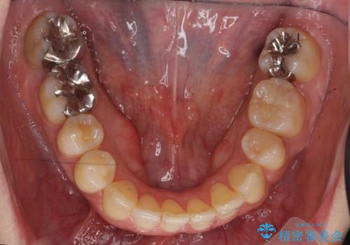
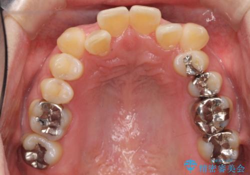
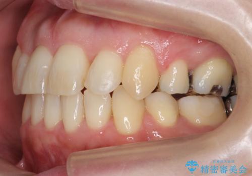
上の前歯が内側に入っているクロスバイトは、笑った時に影になってしまい、かなり目立ちます。
内側に入っている前歯を外に出すだけで劇的に印象が変わります。
ワイヤー矯正の注意事項(リスク・副作用など)
- 治療中は違和感や痛みが起こることがあります
- 症状により、抜歯が必要な場合があります
- 治療中は歯磨きがしにくくなるため、虫歯や歯周病になりやすくなります
- 矯正治療後の保定が不十分だと後戻り(元の位置に戻ろうとする動き)をします
- 自費診療(保険適用外)となります
当サイトの内容、テキスト、画像等の無断転載、複製、複写、盗用を固く禁じます。



















