症例詳細
Case detail
ブリッジ支台の歯の痛み インプラントによる咬合負担
治療症例の内容
- 担当医
- 大元洋佑(ドクタープロフィール)
- 患者様
- 50代女性
- 治療期間
- 8ヶ月
- 治療回数
- 5-10回
- 治療計画
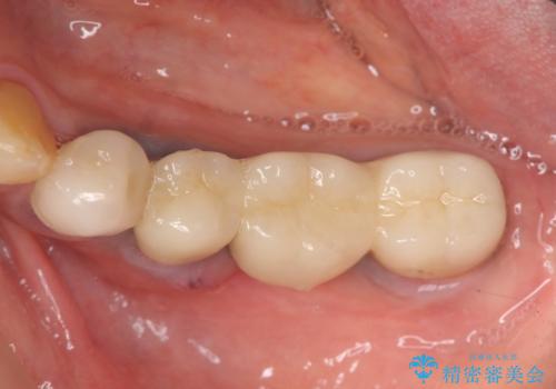
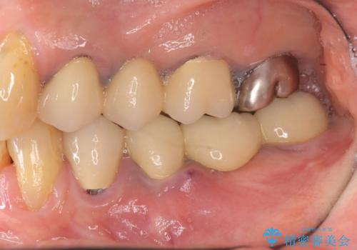
- 以前治療したブリッジが噛むと痛く、食事ができないことの改善を希望され来院されました。
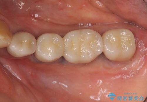
X線写真より、過度な咬合支持負担により支台となる歯の周囲の骨吸収が認められます。今後安定してしっかりとかめるような環境を整備するためにインプラント治療を選択しました。
- 費用(概算)
- 100万円(ストローマンインプラント×2・仮歯×4・チタンカスタムアバットメント×2・ジルコニアクラウン×4)費用は治療当時の料金となります
ブリッジ インプラント治療について
ブリッジ治療は支台となる歯が弱いと、今回のように周囲の骨が吸収したり歯が割れてしまったりといったトラブルがおきます。咬合力に対抗するため、今回はインプラントを用いて機能回復を行いました。
インプラント治療の注意事項(リスク・副作用など)
- 外科手術のため、術後に痛みや腫れ、違和感を伴います
- メンテナンスを怠ったり喫煙により、お口の中に大きな悪影響を及ぼすインプラント周囲炎等にかかる可能性があります
- 糖尿病、肝硬変、心臓病等の場合、インプラント治療ができない可能性があります
- 高血圧、貧血・不整脈等の場合、インプラント治療後に治癒不全を招く可能性があります
- 自費診療(保険適用外治療)となります
当サイトの内容、テキスト、画像等の無断転載、複製、複写、盗用を固く禁じます。












