症例詳細
Case detail
目立つ銀歯を白くしたい セラミック治療
治療症例の内容
- 診療科目
- 治療カテゴリ
- 担当医
- 大元洋佑(ドクタープロフィール)
- 患者様
- 30代女性
- 治療期間
- 治療回数
- 2-5回
- 治療計画
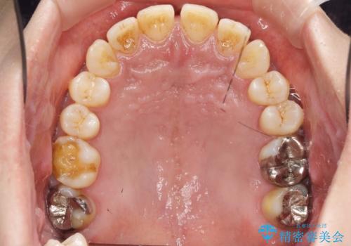
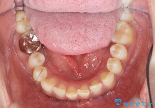
- 笑った時に目立つ銀歯を改善したいとのことで来院されました。
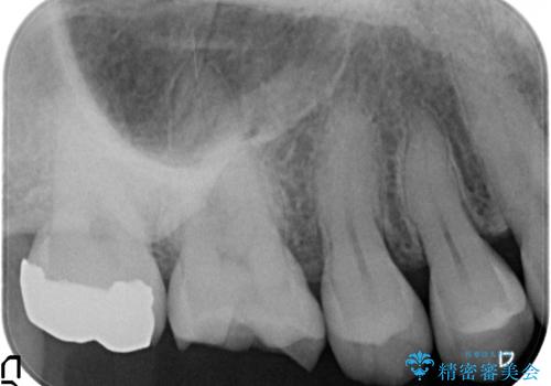
保険適応の銀歯を除去し虫歯を取ったのち、ジルコニアクラウンで置き換えていきます。
- 費用(概算)
- 55万円(仮歯・ジルコニアクラウン×5)費用は治療当時の料金となります
ジルコニア治療について
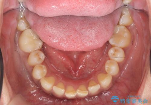
銀歯をジルコニアクラウンで置き換えることで、口腔内が明るく審美的な状態に置き換えることができました。
セラミック治療の注意事項(リスク・副作用など)
- 天然歯を削ります
- 硬い素材は天然歯を傷つけてしまう場合があります
- かみ合わせや歯ぎしりが強すぎる方はセラミックが割れてしまう可能性があります
- 自費診療(保険適用外治療)となります
当サイトの内容、テキスト、画像等の無断転載、複製、複写、盗用を固く禁じます。








