症例詳細
Case detail
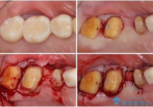
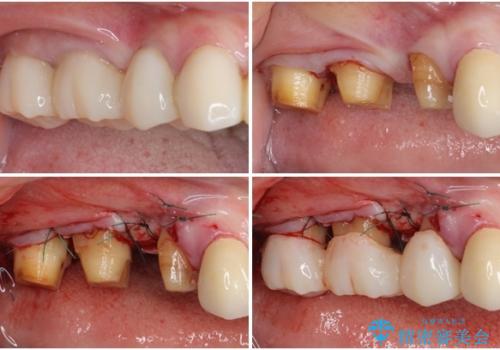
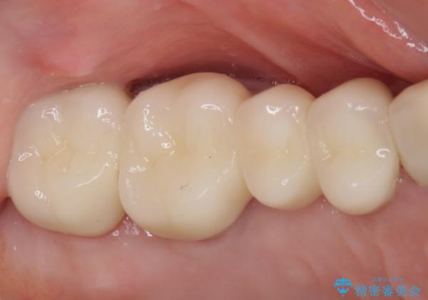
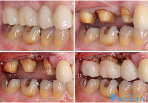
奥歯の歯槽骨が失われた 歯周外科処置後のセラミックブリッジ
治療症例の内容
- 患者様
- 50代女性
- 治療期間
- 1年4ヶ月
- 治療回数
- 5-10回
- 治療計画
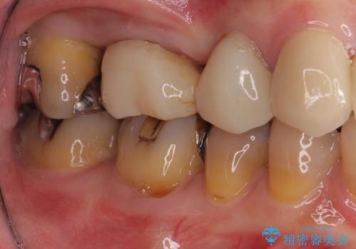
- 歯磨きの度に奥歯から出血があることを気にして来院された患者様です。
咬み合わせにより発現した歯周ポケットに汚れがたまり、歯周病のような状態になってしまっていました。
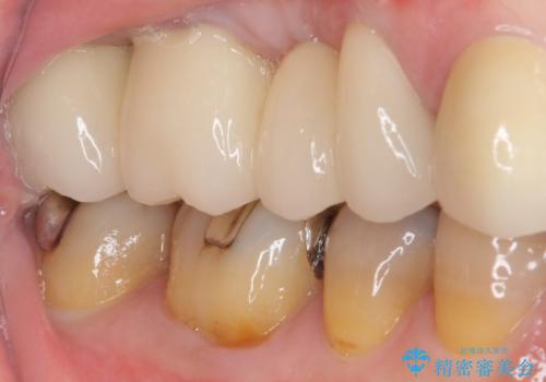
失われていた歯槽骨を、再生治療により可及的に改善させ、その1年後に歯周ポケットを除去するための歯周外科処置を行うこととしました。
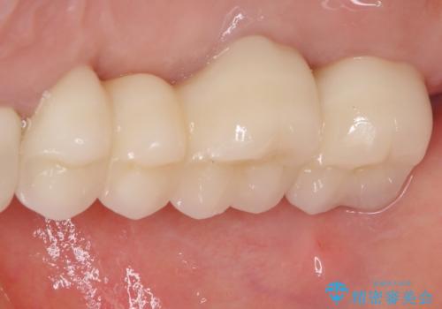
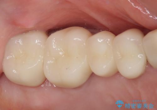
処置後はオールセラミックブリッジにて補綴し、再発防止のために就寝時にナイトガード(マウスピース)を装着していただくこととしました。
- 費用(概算)
- 治療費の目安: 65万円費用は治療当時の料金となります
治療について
歯槽骨の再生には1年ほどの待機期間を要し、その後のポケット除去処置も数か月の待機期間を必要とするため、治療期間は長期に及びました。
治療途中からマウスピースを装着していただくことで、歯槽骨の回復も順調に進みました。
術後に痛みの続く処置を2度も受けていただくこととなりましたが、処置後は出血などの気になる症状がなくなり、患者様には大変満足していただきました。
セラミック治療の注意事項(リスク・副作用など)
- 天然歯を削ります
- 硬い素材は天然歯を傷つけてしまう場合があります
- かみ合わせや歯ぎしりが強すぎる方はセラミックが割れてしまう可能性があります
- 自費診療(保険適用外治療)となります
歯周病治療の注意事項(リスク・副作用など)
- 外科手術のため、術後に痛みや腫れ、違和感を伴います
- 歯周組織再生治療は患者様の状態によって術後の経過が異なります(見た目が改善しない場合もあります)
- 歯周組織再生治療は自費診療(保険適用外)となります
当サイトの内容、テキスト、画像等の無断転載、複製、複写、盗用を固く禁じます。













