症例詳細
Case detail
矮小歯のセラミック治療 小さい前歯を自然に仕上げる
治療症例の内容
- 診療科目
- 治療カテゴリ
- 担当医
- 藤巻太一朗(ドクタープロフィール)
- 患者様
- 40代女性
- 治療期間
- 1ヶ月
- 治療計画
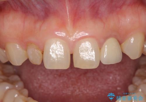
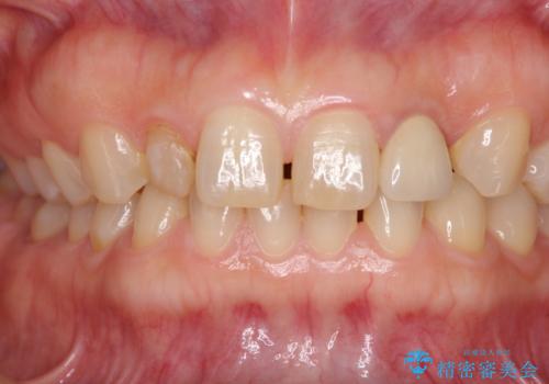
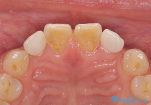
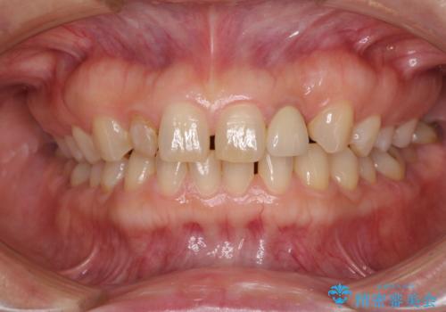
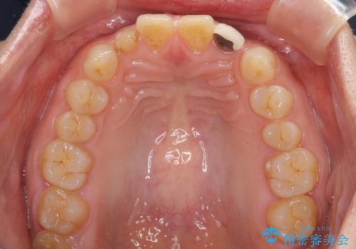
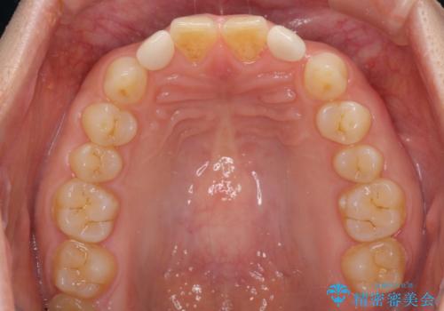
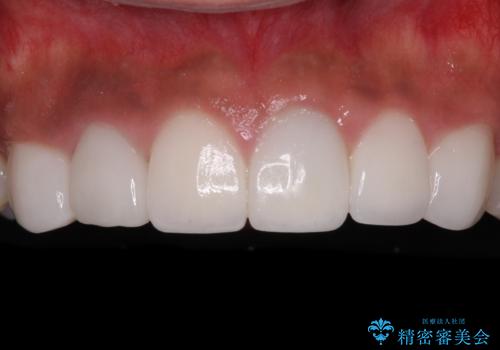
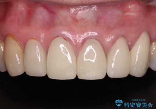
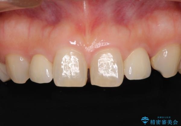
- 前歯の矮小歯に貼り付けられていたラミネートベニアが外れてしまったとのことで来院された患者様です。
反対側の矮小歯は裏打ちが金属であったため、両方の歯ともにオールセラミッククラウンにて補綴することとしました。
- 費用(概算)
- 治療費の目安: 25万円費用は治療当時の料金となります
治療について
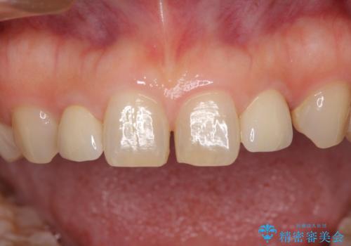
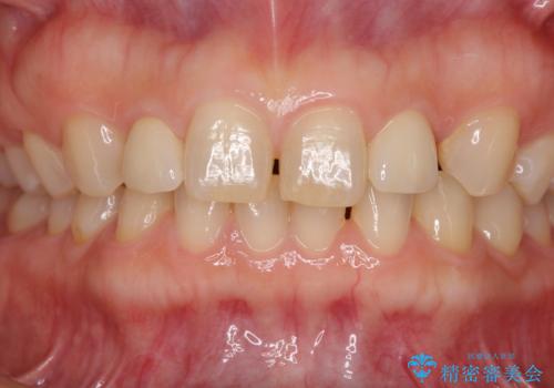
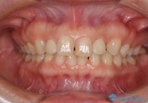
前歯の隙間や、周りの歯と色合いの違いなどはあまり気にしていらっしゃらなかったため、矮小歯の2歯を自然な大きさに仕上げました。
とても自然な歯が装着されたとのことで、患者様には大変満足していただきました。
セラミック治療の注意事項(リスク・副作用など)
- 天然歯を削ります
- 硬い素材は天然歯を傷つけてしまう場合があります
- かみ合わせや歯ぎしりが強すぎる方はセラミックが割れてしまう可能性があります
- 自費診療(保険適用外治療)となります
当サイトの内容、テキスト、画像等の無断転載、複製、複写、盗用を固く禁じます。














