症例詳細
Case detail
埋もれた八重歯を引っ張り出す 目立たない矯正装置
治療症例の内容
- 診療科目
- 治療カテゴリ
- 担当医
- 藤巻太一朗(ドクタープロフィール)
- 患者様
- 20代女性
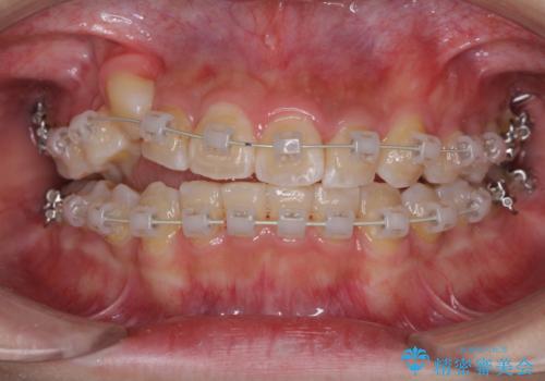
- 矯正装置
- 審美装置
- 治療期間
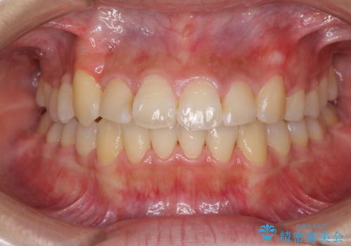
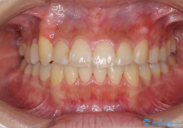
- 2年10ヶ月
- 治療計画
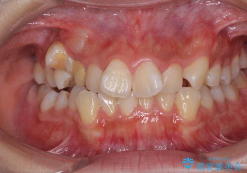
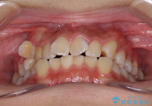
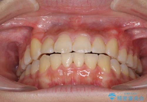
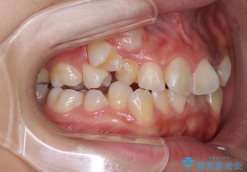
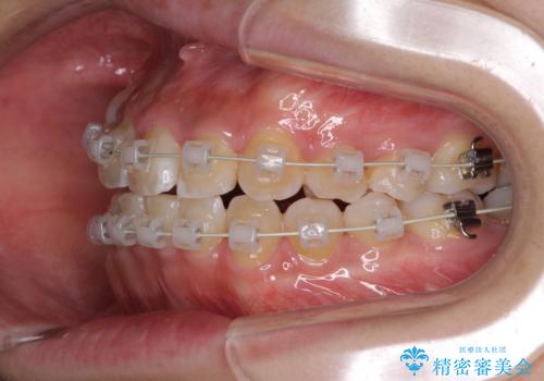
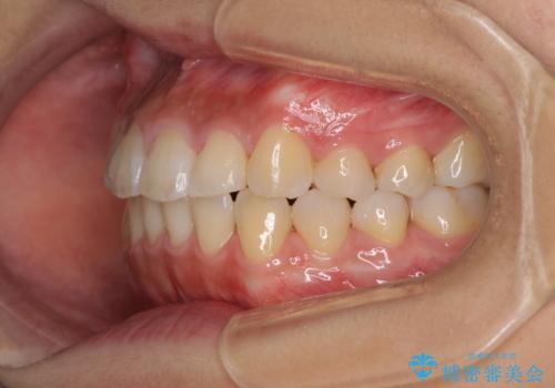
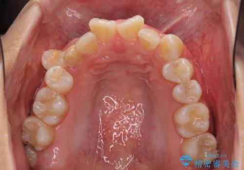
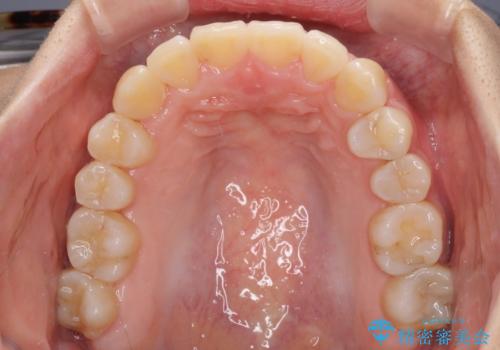
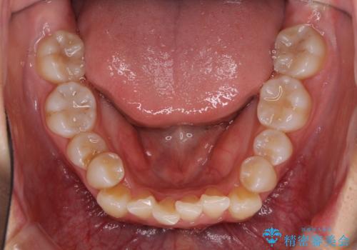
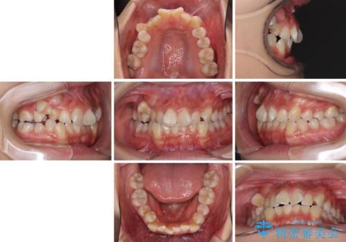
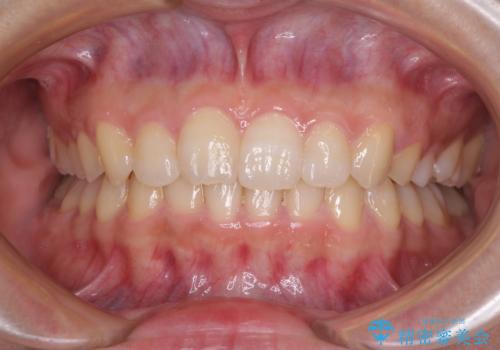
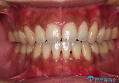
- 前歯のでこぼこと乳歯が残るほどの八重歯を気にして来院された患者様です。
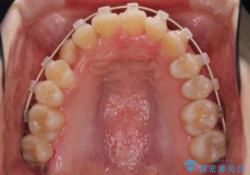
非抜歯にてワイヤー矯正にて治療することとしました。(ただし、親知らずと乳歯は抜歯)
- 費用(概算)
- 治療費の目安: 95万円費用は治療当時の料金となります
治療について
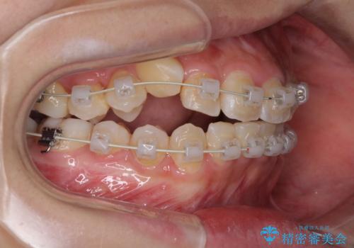
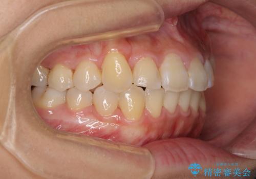
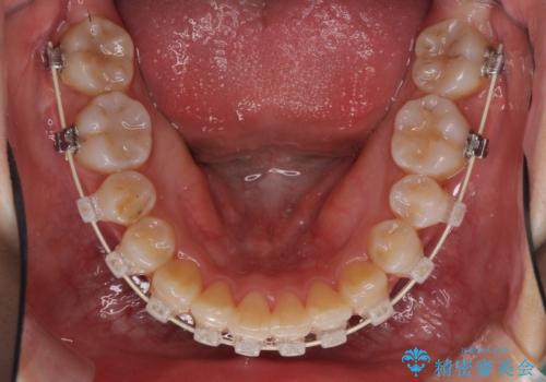
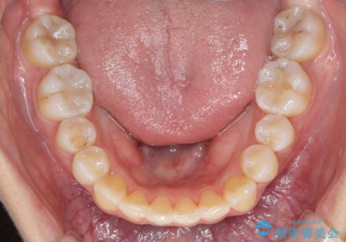
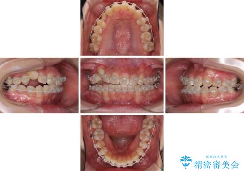
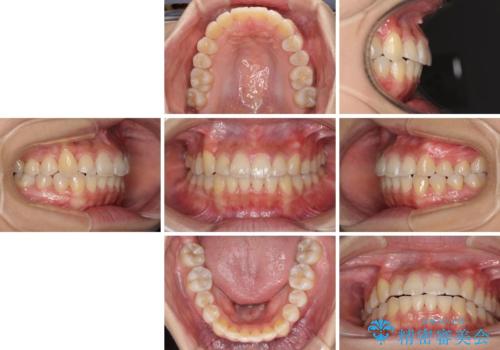
犬歯は歯根が太く長いため、移動には時間を要します。しかし、犬歯は機能面から考えて残すことを選択したいため、長期間をかけて治療を行うこととしました。
治療の度に歯列が改善していったため、長期間の治療も楽しく過ごしていいただき、満足のいく仕上がりとなりました。
ワイヤー矯正の注意事項(リスク・副作用など)
- 治療中は違和感や痛みが起こることがあります
- 症状により、抜歯が必要な場合があります
- 治療中は歯磨きがしにくくなるため、虫歯や歯周病になりやすくなります
- 矯正治療後の保定が不十分だと後戻り(元の位置に戻ろうとする動き)をします
- 自費診療(保険適用外)となります
当サイトの内容、テキスト、画像等の無断転載、複製、複写、盗用を固く禁じます。




























