症例詳細
Case detail
着色が著しい前歯のブリッジをオールセラミックできれいに
治療症例の内容
- 診療科目
- 治療カテゴリ
- 担当医
- 藤巻太一朗(ドクタープロフィール)
- 患者様
- 50代女性
- 治療期間
- 2ヶ月
- 治療回数
- 2-5回
- 治療計画
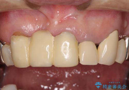
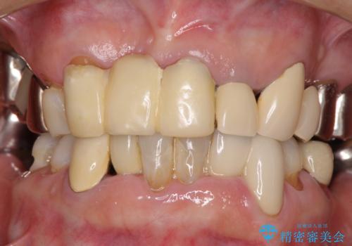
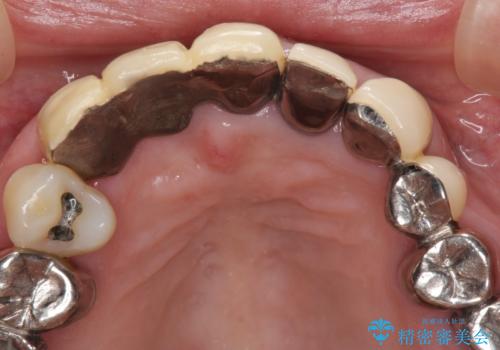
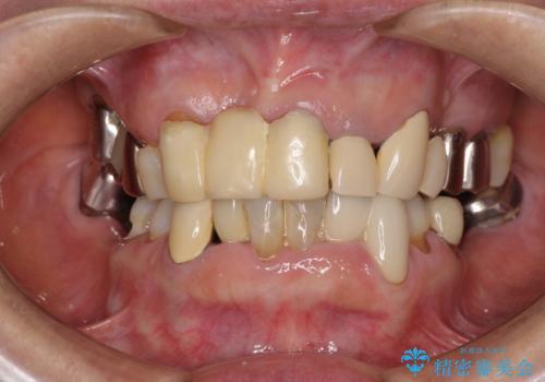
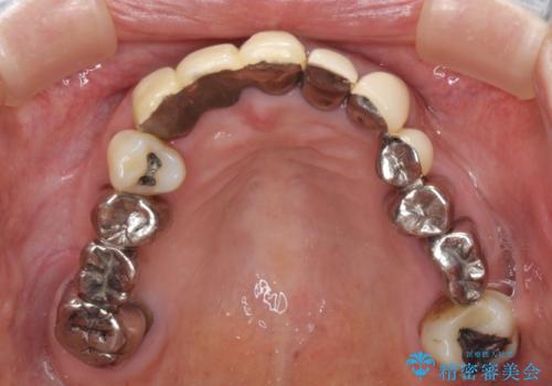
- 保険診療の前歯のブリッジが、形態も色も不自然で気になるとのことで来院された患者様です。
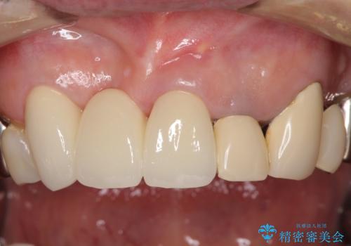
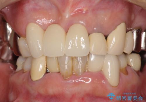
神経の抜かれている土台の歯は根管治療を行った上で、オールセラミックブリッジにより補綴することとしました。
- 費用(概算)
- 治療費の目安: 45万円費用は治療当時の料金となります
治療について
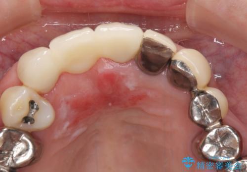
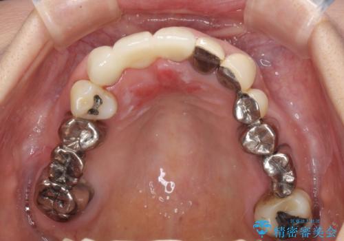
仮歯に置き換えた時点で見た目が大きく改善され、人目を気にすることがなくなりました。
オールセラミッククラウンは、仮歯以上に快適な舌触りや、本物の歯のような外観となり、患者様には大変満足していただけました。
セラミック治療の注意事項(リスク・副作用など)
- 天然歯を削ります
- 硬い素材は天然歯を傷つけてしまう場合があります
- かみ合わせや歯ぎしりが強すぎる方はセラミックが割れてしまう可能性があります
- 自費診療(保険適用外治療)となります
当サイトの内容、テキスト、画像等の無断転載、複製、複写、盗用を固く禁じます。














