症例詳細
Case detail
歯肉移植を用いた前歯のオールセラミックブリッジ
治療症例の内容
- 診療科目
- 治療カテゴリ
- 担当医
- 藤巻太一朗(ドクタープロフィール)
- 患者様
- 40代女性
- 治療期間
- 8ヶ月
- 治療回数
- 5-10回
- 治療計画
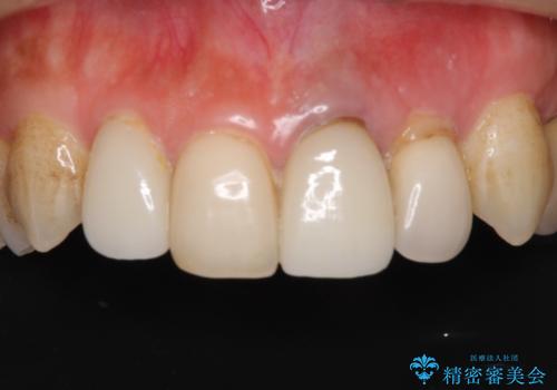
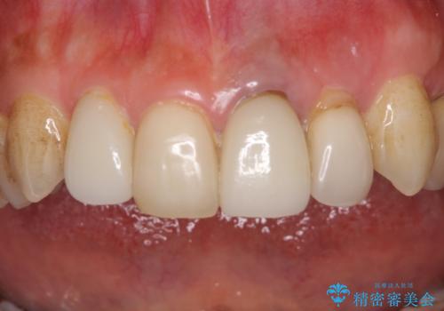
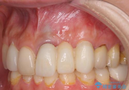
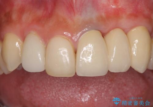
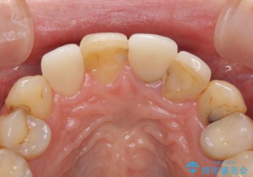
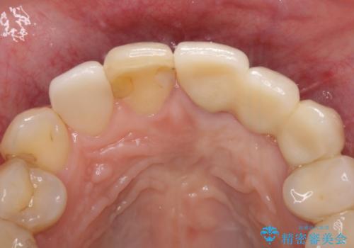
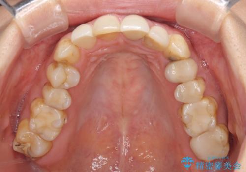
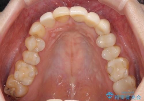
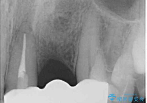
- 前歯が折れてしまい、ブリッジによる補綴治療を希望して来院された患者様です。
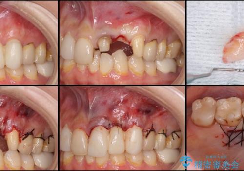
折れている前歯は抜歯をし、痩せてしまう歯肉は移植術により増大させることで審美面を回復した後、オールセラミックブリッジにて補綴することとしました。
- 費用(概算)
- 治療費の目安: 40万円費用は治療当時の料金となります
治療について
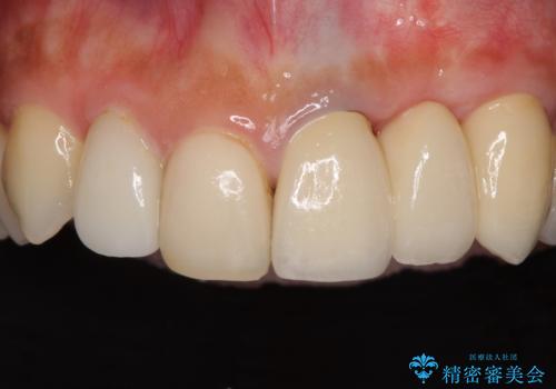
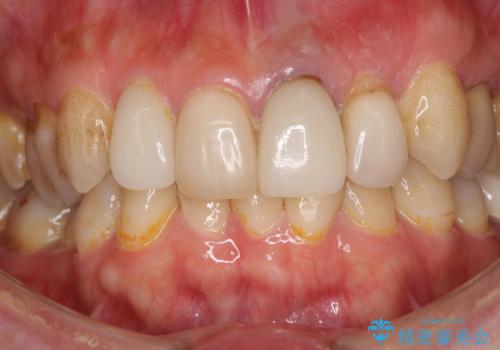
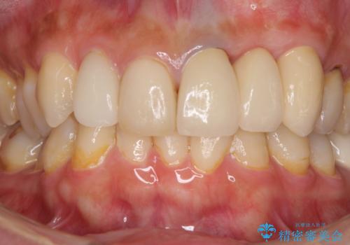
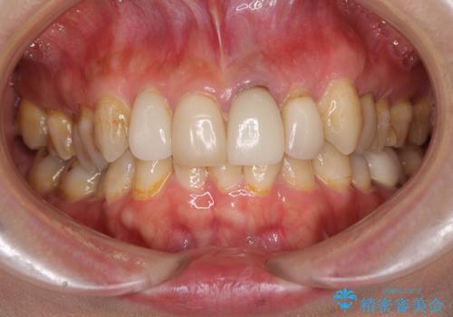
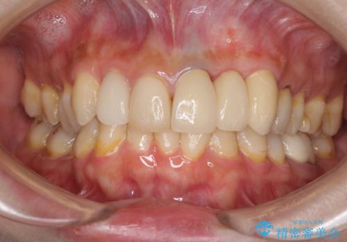
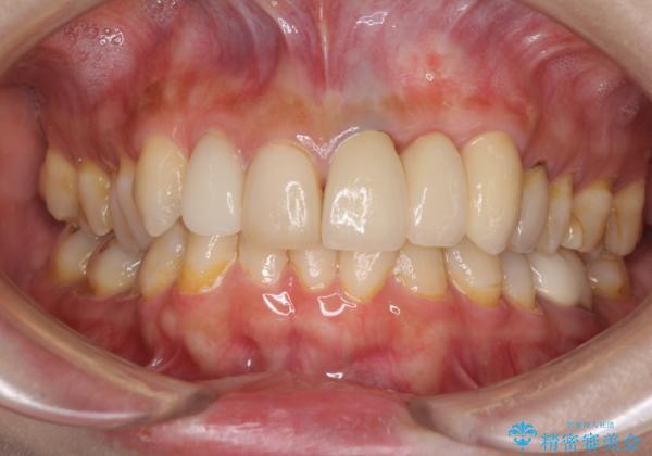
インプラントかブリッジか悩むところでしたが、既に治療されている前歯のクラウン周りの変色が気になっていたため、ブリッジにより色調を合わせたオールセラミックを装着することを選択しました。
歯肉ラインや歯の形態、色調を整えることができ、患者様には大変満足していただきました。
セラミック治療の注意事項(リスク・副作用など)
- 天然歯を削ります
- 硬い素材は天然歯を傷つけてしまう場合があります
- かみ合わせや歯ぎしりが強すぎる方はセラミックが割れてしまう可能性があります
- 自費診療(保険適用外治療)となります
歯周病治療の注意事項(リスク・副作用など)
- 外科手術のため、術後に痛みや腫れ、違和感を伴います
- 歯周組織再生治療は患者様の状態によって術後の経過が異なります(見た目が改善しない場合もあります)
- 歯周組織再生治療は自費診療(保険適用外)となります
当サイトの内容、テキスト、画像等の無断転載、複製、複写、盗用を固く禁じます。
















