症例詳細
Case detail
他院で治療したインプラント セラミッククラウンの装着
治療症例の内容
- 診療科目
- 治療カテゴリ
- 担当医
- 藤巻太一朗(ドクタープロフィール)
- 患者様
- 30代男性
- 治療期間
- 2ヶ月
- 治療回数
- 2-5回
- 治療計画
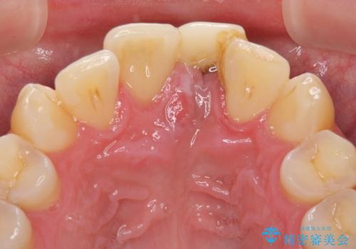
- 数年前に遠方の歯科医院で埋入したインプラントに、セラミッククラウンを装着したいとのことで来院された患者様です。
当院でも扱っているメーカーのインプラントであったため、土台を取り付ける手術とセラミッククラウンの装着を行うこととしました。
- 費用(概算)
- 治療費の目安: 25万円費用は治療当時の料金となります
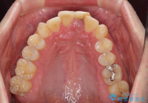
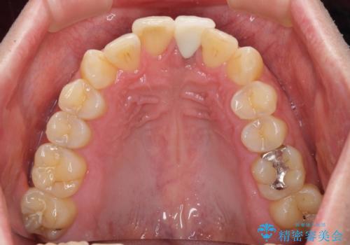
治療について
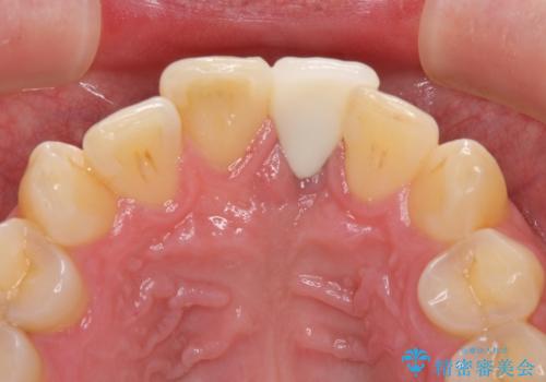
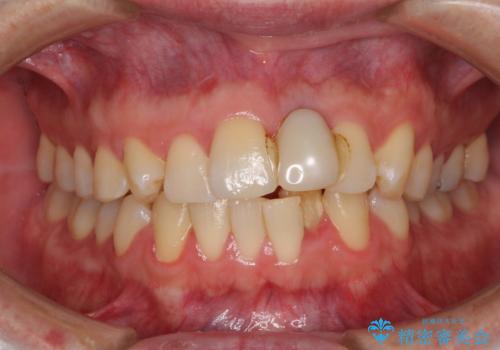
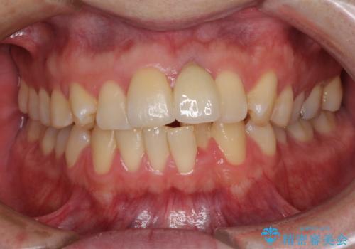
インプラントが唇側に埋入されており、セラミッククラウンの歯肉ラインが左右非対称となっていました。
仮歯は両サイドの歯と接着剤で止められており、接着が著しく変色していたため、セラミッククラウンが装着されて自然な口元となりました。
セラミック治療の注意事項(リスク・副作用など)
- 天然歯を削ります
- 硬い素材は天然歯を傷つけてしまう場合があります
- かみ合わせや歯ぎしりが強すぎる方はセラミックが割れてしまう可能性があります
- 自費診療(保険適用外治療)となります
当サイトの内容、テキスト、画像等の無断転載、複製、複写、盗用を固く禁じます。










