症例詳細
Case detail
深いむし歯。根本的な治療
治療症例の内容
- 診療科目
- 治療カテゴリ
- 担当医
- 河口智英(ドクタープロフィール)
- 患者様
- 40代男性
- 治療期間
- 1年
- 治療回数
- 5-10回
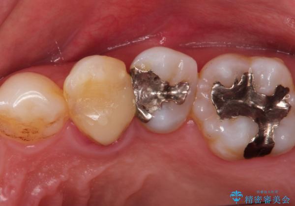
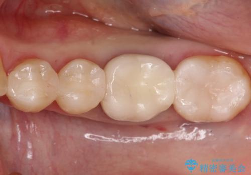
- 治療計画
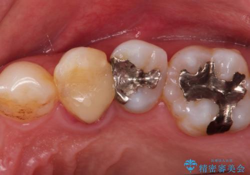
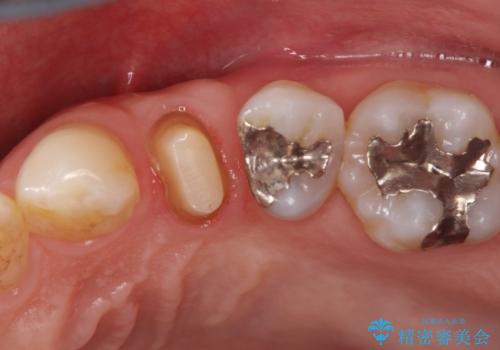
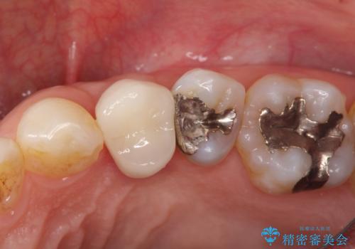
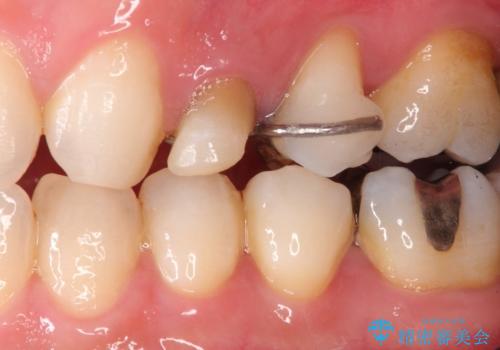
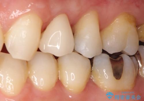
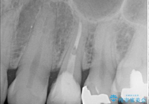
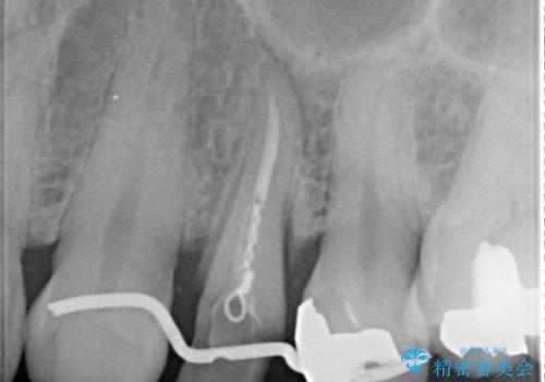
- 歯肉の下まで深く歯が折れたことを主訴に来院された患者様です。
かかりつけ医にて応急的に修復してますが根本的な治療を希望され、矯正的挺出を行ったのち、歯周外科を行い、歯冠修復をしております。
- 費用(概算)
- 30万円費用は治療当時の料金となります
治療について
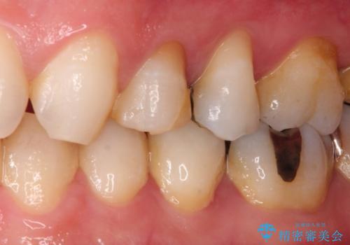
歯肉縁下の水平破折をきちんと治療するためには時間も費用もかかります。
セラミック治療の注意事項(リスク・副作用など)
- 天然歯を削ります
- 硬い素材は天然歯を傷つけてしまう場合があります
- かみ合わせや歯ぎしりが強すぎる方はセラミックが割れてしまう可能性があります
- 自費診療(保険適用外治療)となります
当サイトの内容、テキスト、画像等の無断転載、複製、複写、盗用を固く禁じます。











