症例詳細
Case detail
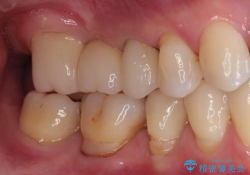
奥歯のオールセラミックブリッジ
治療症例の内容
- 診療科目
- 治療カテゴリ
- 担当医
- 河口智英(ドクタープロフィール)
- 患者様
- 30代女性
- 治療期間
- 3ヶ月
- 治療回数
- 2-5回
- 治療計画
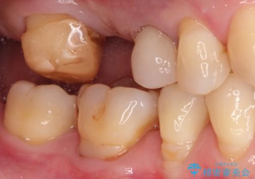
- 矯正後に欠損補綴を主訴に来院されました。
オールセラミッククラウンのブリッジ修復にて治療を行っております。
- 費用(概算)
- 33万円費用は治療当時の料金となります
治療について
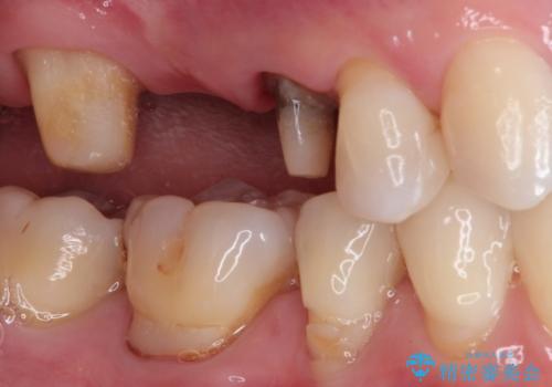
抜歯してから歯周組織が安定するまで期間がかかります。
十分に期間を治癒を待つことで審美性や清掃性の高い被せものを製作できます。
セラミック治療の注意事項(リスク・副作用など)
- 天然歯を削ります
- 硬い素材は天然歯を傷つけてしまう場合があります
- かみ合わせや歯ぎしりが強すぎる方はセラミックが割れてしまう可能性があります
- 自費診療(保険適用外治療)となります
当サイトの内容、テキスト、画像等の無断転載、複製、複写、盗用を固く禁じます。







