症例詳細
Case detail
上の前歯の根元が黒い 根の治療を含めたセラミック再治療
治療症例の内容
- 患者様
- 40代男性
- 治療期間
- 1年
- 治療回数
- 5-10回
- 治療計画
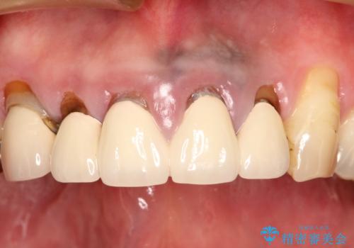
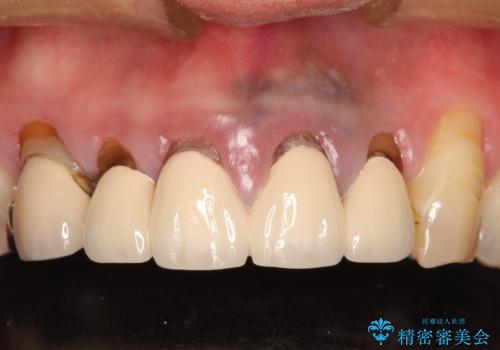
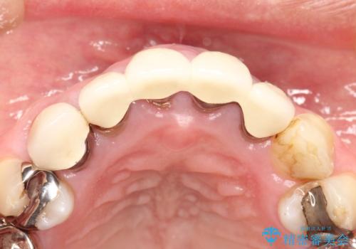
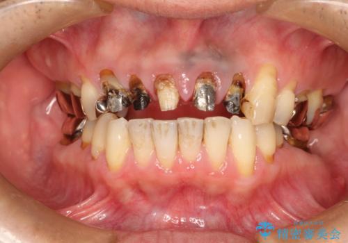
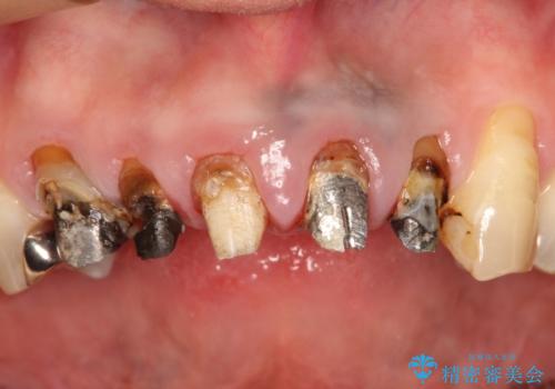
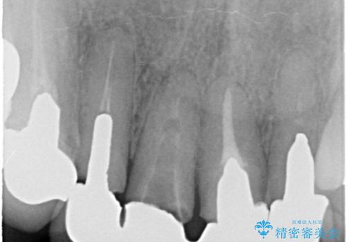
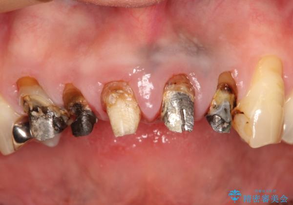
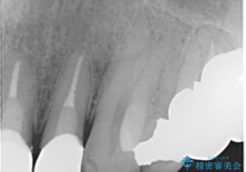
- 上の前歯の根元が黒くなっているので、再治療をしたいとのことで来院された患者様です。
レントゲンを撮影すると、適合不良のかぶせ物が装着されており、根の治療も不十分であることが確認されました。
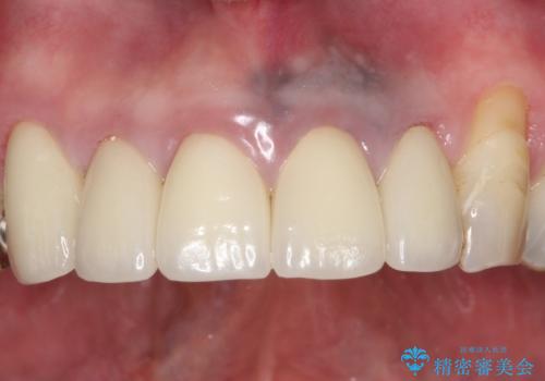
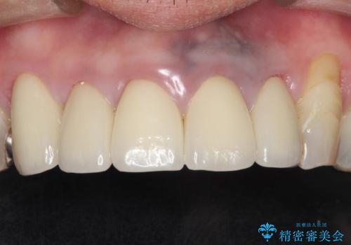
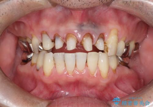
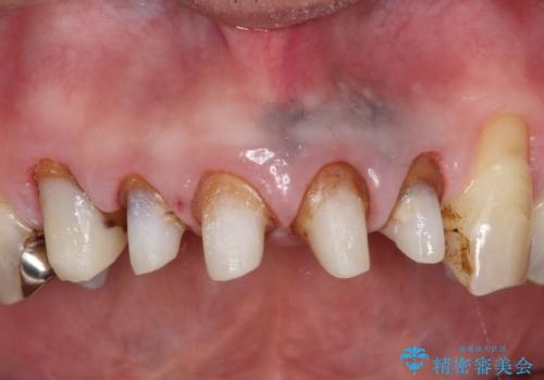
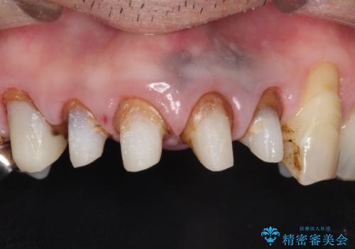
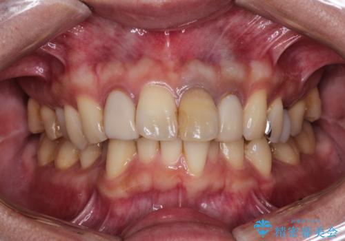
適合不良のかぶせ物をすべて除去して、根の中の治療から再治療を行うこととなりました。
- 費用(概算)
- 約80万円費用は治療当時の料金となります
治療について
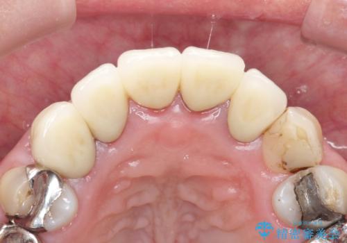
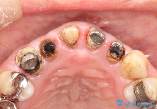
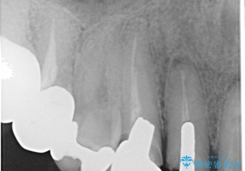
適合不良のかぶせ物が装着されていた歯は、内部がやはり虫歯になっていました。
かぶせ物だけではなく見えないところも、精密な治療をすることが重要となります。
セラミック治療の注意事項(リスク・副作用など)
- 天然歯を削ります
- 硬い素材は天然歯を傷つけてしまう場合があります
- かみ合わせや歯ぎしりが強すぎる方はセラミックが割れてしまう可能性があります
- 自費診療(保険適用外治療)となります
当サイトの内容、テキスト、画像等の無断転載、複製、複写、盗用を固く禁じます。





















