症例詳細
Case detail
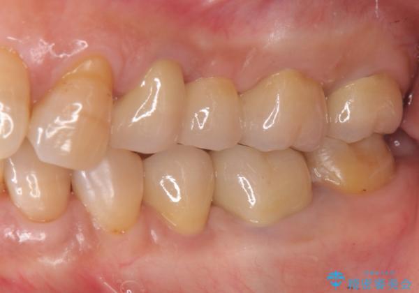
臼歯 咬合の再構成
治療症例の内容
- 診療科目
- 治療カテゴリ
- 担当医
- 大元洋佑(ドクタープロフィール)
- 患者様
- 50代女性
- 治療期間
- 4ヶ月
- 治療回数
- 2-5回
- 治療計画
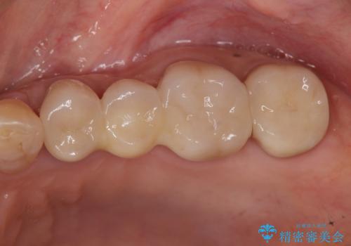
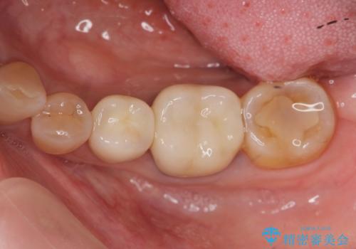
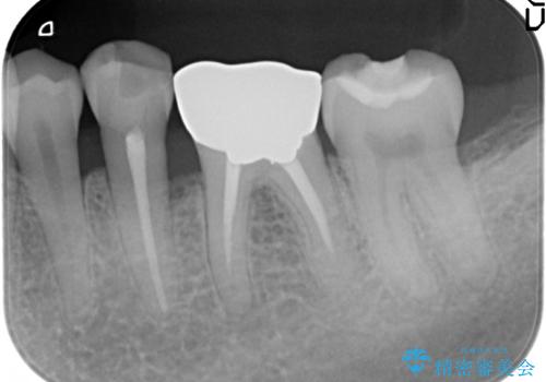
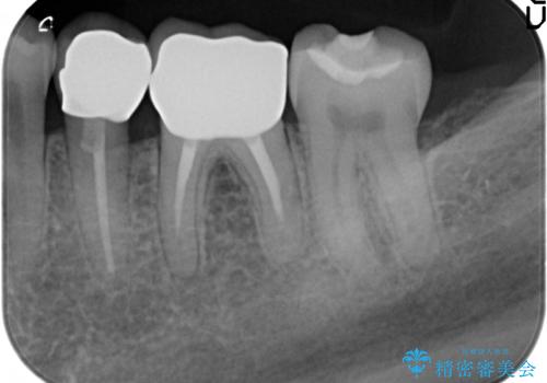
- 20年前に治療した銀歯が壊れ、審美的な修復を希望され来院されました。
銀歯・虫歯を除去し、ジルコニアを咬合再構成を行います。
- 費用(概算)
- 66万円(仮歯・ジルコニアクラウン×6)費用は治療当時の料金となります
ジルコニア治療について
ジルコニアクラウンは補綴治療を行う上で、審美的かつ強度を備えたクラウンです。
セラミック治療の注意事項(リスク・副作用など)
- 天然歯を削ります
- 硬い素材は天然歯を傷つけてしまう場合があります
- かみ合わせや歯ぎしりが強すぎる方はセラミックが割れてしまう可能性があります
- 自費診療(保険適用外治療)となります
当サイトの内容、テキスト、画像等の無断転載、複製、複写、盗用を固く禁じます。










