症例詳細
Case detail
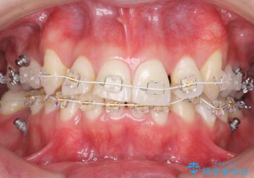
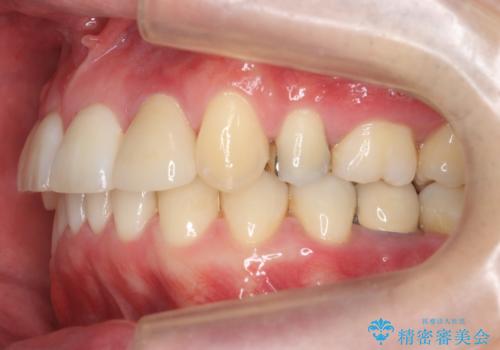
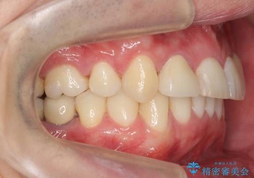
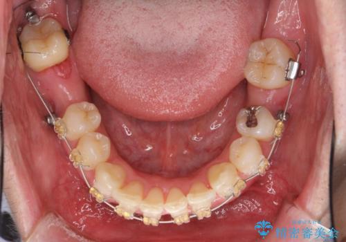
八重歯の矯正+歯のないところにインプラント
- 患者様
- 20代男性
- 治療期間
- 1年8ヶ月
- 治療回数
- 10-30回
- 治療計画
- 八重歯を主訴に来院。
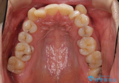
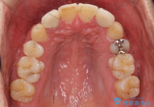
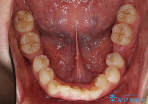
下の歯がないところに、奥歯が倒れこんでいたため、矯正治療で倒れこんだ歯を起こして、インプラントを植立しました。
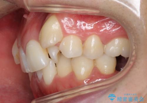
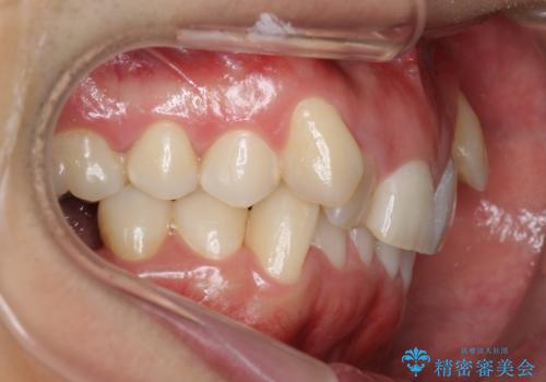
上の前歯が下の前歯に大きく重なっており、過蓋咬合を呈していました。
患者様が事情により、取り外し式のゴムやバイトプレートなどを使用できず、使える手段に限りがある中での治療でしたが、無事に治療を終えることができました。
- 費用(概算)
- 197万円 (矯正治療95万円、インプラント治療72万円(下顎両側6)、その他補綴治療30万円(上顎両側2))費用は治療当時の料金となります
治療について
上顎の小臼歯2本、下顎の親知らずを抜歯しています。
八重歯の移動のため、矯正用ミニスクリューを使用しています。
ワイヤー矯正の注意事項(リスク・副作用など)
- 治療中は違和感や痛みが起こることがあります
- 症状により、抜歯が必要な場合があります
- 治療中は歯磨きがしにくくなるため、虫歯や歯周病になりやすくなります
- 矯正治療後の保定が不十分だと後戻り(元の位置に戻ろうとする動き)をします
- 自費診療(保険適用外)となります
インプラント治療の注意事項(リスク・副作用など)
- 外科手術のため、術後に痛みや腫れ、違和感を伴います
- メンテナンスを怠ったり喫煙により、お口の中に大きな悪影響を及ぼすインプラント周囲炎等にかかる可能性があります
- 糖尿病、肝硬変、心臓病等の場合、インプラント治療ができない可能性があります
- 高血圧、貧血・不整脈等の場合、インプラント治療後に治癒不全を招く可能性があります
- 自費診療(保険適用外治療)となります
当サイトの内容、テキスト、画像等の無断転載、複製、複写、盗用を固く禁じます。


















