症例詳細
Case detail
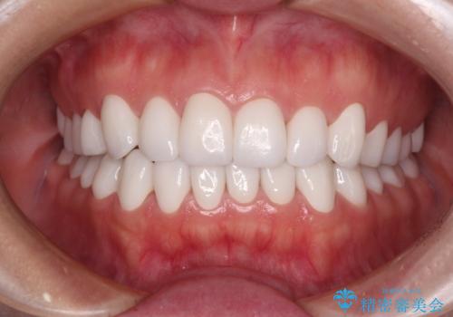
20代男性 不調和な前歯のセラミックをオールセラミックに
治療症例の内容
- 診療科目
- 治療カテゴリ
- 担当医
- 藤巻太一朗(ドクタープロフィール)
- 患者様
- 20代男性
- 治療期間
- 2ヶ月
- 治療回数
- 2-5回
- 治療計画
- 小さい時にぶつけた前歯にメタルボンドを装着していましたが、色が不自然であることや、歯肉ラインの適合が不良であったため、オールセラミッククラウンへの変更を希望された患者様です。
根管治療を実施した後、オールセラミッククラウン(スタンダードタイプ)に補綴しました。
- 費用(概算)
- 治療費の目安: 22万円費用は治療当時の料金となります
治療を終えて
ぶつけた影響により、歯の一部が歯根近くまで破損していましたが、仮歯の状態で歯肉が安定していたため、そのままクラウンを装着しました。
オーダーメイドタイプのクラウンではなかったので、周りの歯と調和が取れるか心配でしたが、患者様本人も本物のはと思ってしまうほど自然な仕上がりとなり、大変満足していただけました。
リスクについて
セラミックは破折などにより修復や再製作が必要となることがあります。
セラミック治療の注意事項(リスク・副作用など)
- 天然歯を削ります
- 硬い素材は天然歯を傷つけてしまう場合があります
- かみ合わせや歯ぎしりが強すぎる方はセラミックが割れてしまう可能性があります
- 自費診療(保険適用外治療)となります
当サイトの内容、テキスト、画像等の無断転載、複製、複写、盗用を固く禁じます。








