症例詳細
Case detail
放置してしまった深い虫歯の治療
治療症例の内容
- 患者様
- 40代女性
- 治療期間
- 8ヶ月
- 治療回数
- 5-10回
- 治療計画
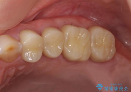
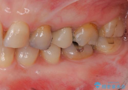
- 虫歯治療を中断し放置、痛みが出てきたため当院を初診来院されました。
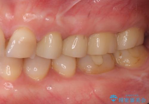
虫歯の深化により根管治療、歯周外科手術を行い歯肉の状態を改善し精密なセラミッククラウンを製作する治療を計画します。
- 費用(概算)
- 50万円(仮歯・ファイバーコア・ジルコニアクラウン×4 歯周外科)費用は治療当時の料金となります
治療の予知性について
セラミック治療の長期的な予後を見込むために、根管治療、歯周外科を行いクラウン装着前の環境を整えておくことが肝要です。
セラミック治療の注意事項(リスク・副作用など)
- 天然歯を削ります
- 硬い素材は天然歯を傷つけてしまう場合があります
- かみ合わせや歯ぎしりが強すぎる方はセラミックが割れてしまう可能性があります
- 自費診療(保険適用外治療)となります
当サイトの内容、テキスト、画像等の無断転載、複製、複写、盗用を固く禁じます。



















