症例詳細
Case detail
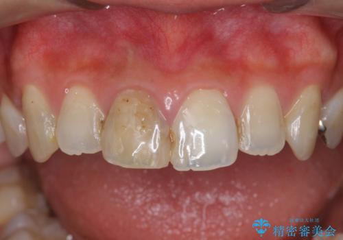
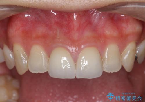
前歯 審美改善セラミック治療
治療症例の内容
- 診療科目
- 治療カテゴリ
- 担当医
- 大元洋佑(ドクタープロフィール)
- 患者様
- 20代女性
- 治療期間
- 1ヶ月
- 治療回数
- 2-5回
- 治療計画
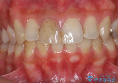
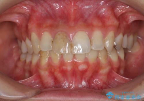
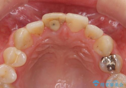
- 前歯の見た目、変色の改善を希望され来院されました。
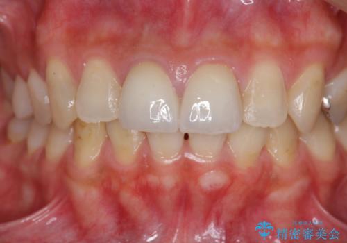
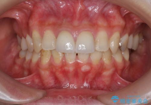
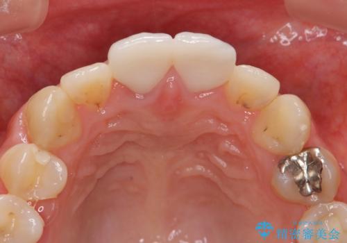
ジルコニアクラウンによる審美性の改善を計画します。
- 費用(概算)
- 24万円(仮歯・ファイバーコア・ジルコニアクラウン)費用は治療当時の料金となります
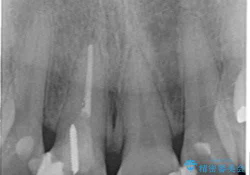
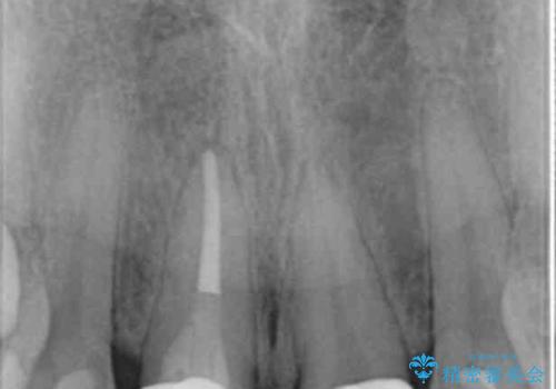
神経の治療をした歯について
神経をとる治療を行った歯は、時間が経過すると術前のように変色し見た目を大きく損ないます。
このような場合金属を使わないジルコニアクラウンを用いた治療を行うことで天然の歯のように審美性を改善することが可能になります。
セラミック治療の注意事項(リスク・副作用など)
- 天然歯を削ります
- 硬い素材は天然歯を傷つけてしまう場合があります
- かみ合わせや歯ぎしりが強すぎる方はセラミックが割れてしまう可能性があります
- 自費診療(保険適用外治療)となります
当サイトの内容、テキスト、画像等の無断転載、複製、複写、盗用を固く禁じます。












