症例詳細
Case detail
検診による初期虫歯の早期発見・早期治療
治療症例の内容
- 診療科目
- 治療カテゴリ
- 担当医
- 大元洋佑(ドクタープロフィール)
- 患者様
- 20代男性
- 治療期間
- 治療回数
- 2-5回
- 治療計画
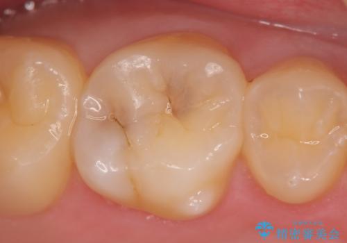
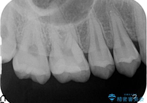
- 検診を希望され来院されました。
症状は特にありませんでしたが、検診で全体をチェックすることで虫歯を小さなうちに早期発見し治療することができました。
- 費用(概算)
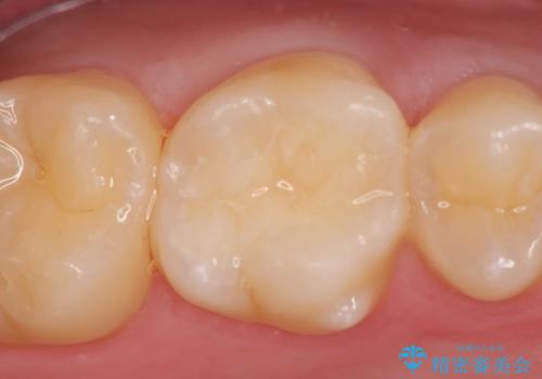
- 7万円 (emaxインレー)費用は治療当時の料金となります
虫歯治療について
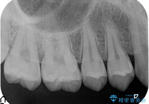
虫歯は放置すると大きくなり、神経まで達し根管治療が必要になったり抜歯に至ることもある進行性の病気です。
早期の発見・治療をすることで期間も費用も少なくすることができます。
セラミック治療の注意事項(リスク・副作用など)
- 天然歯を削ります
- 硬い素材は天然歯を傷つけてしまう場合があります
- かみ合わせや歯ぎしりが強すぎる方はセラミックが割れてしまう可能性があります
- 自費診療(保険適用外治療)となります
当サイトの内容、テキスト、画像等の無断転載、複製、複写、盗用を固く禁じます。







