症例詳細
Case detail
奥歯が割れた 神経が取り除かれた歯のセラミッククラウン治療
治療症例の内容
- 診療科目
- 治療カテゴリ
- 担当医
- 藤巻太一朗(ドクタープロフィール)
- 患者様
- 30代女性
- 治療期間
- 2ヶ月
- 治療回数
- 2-5回
- 治療計画
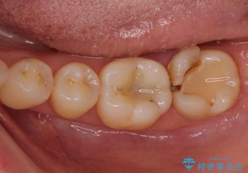
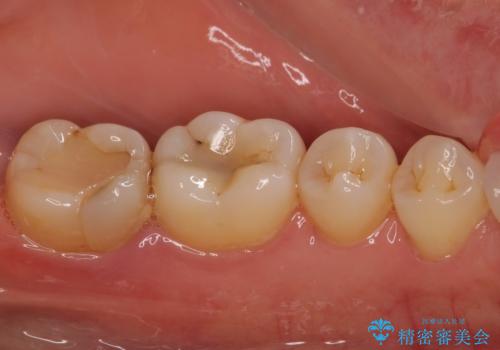
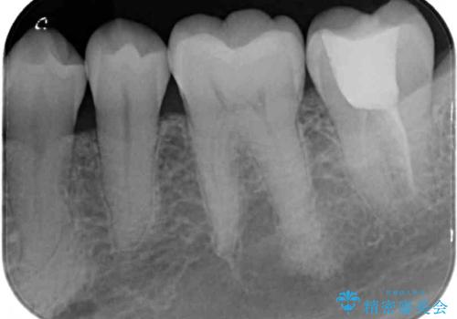
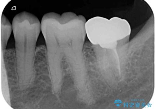
- 神経が取り除かれた歯が欠けてしまったとのことで来院された患者様です。
破折線が歯肉の中、深いところにまで及んでいる場合には歯周外科の適用となることを伝えた上で、補綴治療を行うこととしました。
- 費用(概算)
- 治療費の目安: 8万円費用は治療当時の料金となります
治療について
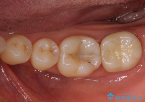
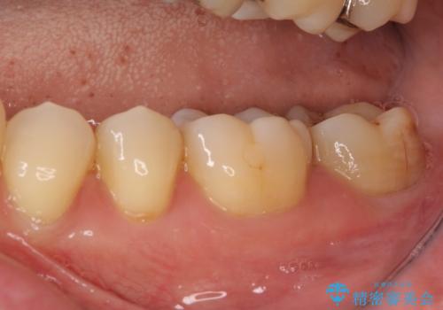
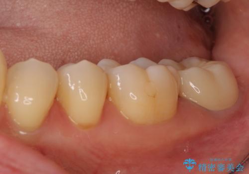
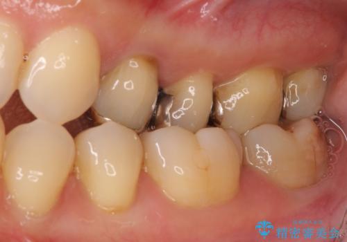
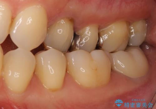
破折部位を除去したところ、外科処置が必要な深さまで破折線が及んでいなかったため、速やかにジルコニアクラウンにて補綴を行うことになりました。
神経が取り除かれた歯、特に奥歯では、歯の破折が起こりやすいので、クラウンによる補綴治療が必要であることを実感した治療でした。
セラミック治療の注意事項(リスク・副作用など)
- 天然歯を削ります
- 硬い素材は天然歯を傷つけてしまう場合があります
- かみ合わせや歯ぎしりが強すぎる方はセラミックが割れてしまう可能性があります
- 自費診療(保険適用外治療)となります
当サイトの内容、テキスト、画像等の無断転載、複製、複写、盗用を固く禁じます。










