症例詳細
Case detail
奥歯の虫歯と歯茎の腫れをセラミッククラウンで治療
治療症例の内容
- 診療科目
- 治療カテゴリ
- 担当医
- 藤巻太一朗(ドクタープロフィール)
- 患者様
- 50代女性
- 治療期間
- 2ヶ月
- 治療回数
- 2-5回
- 治療計画
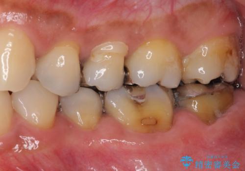
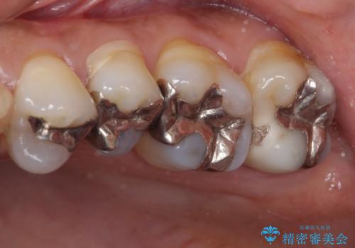
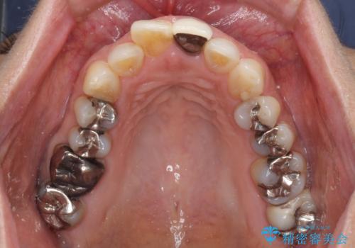
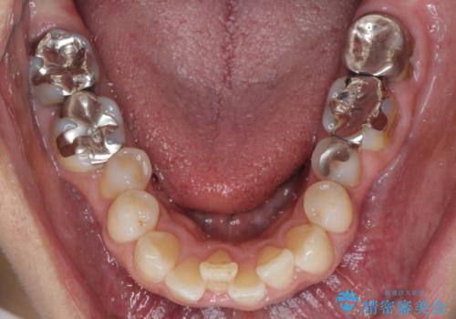
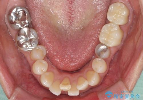
- 上下の奥歯にものが挟まりやすいことを気にして来院された患者様です。
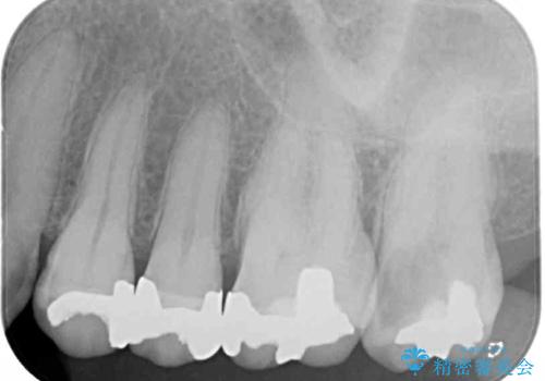
上下ともに、やや大きいむし歯があり、そこにものが挟まりやすくなっていました。
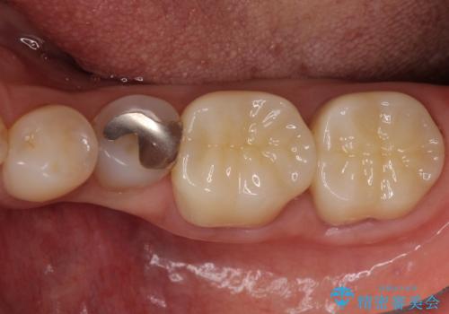
上顎の奥歯は神経にまで虫歯が及んでいる可能性が高かったため、抜髄や断髄の可能性を考慮しながら処置を進め、セラミッククラウンにて補綴することとしました。
- 費用(概算)
- 治療費の目安: 30万円費用は治療当時の料金となります
治療について
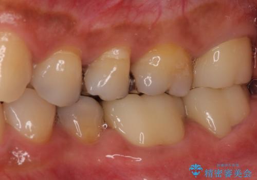
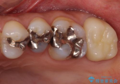
上の奥歯は一部神経を取り除くこととなりましたが、残った神経は正常な状態を保つことができました。
下の奥歯も、虫歯を取り除いて仮歯を装着したことで歯肉の腫れが引き、出血することもなくなりました。
セラミック治療の注意事項(リスク・副作用など)
- 天然歯を削ります
- 硬い素材は天然歯を傷つけてしまう場合があります
- かみ合わせや歯ぎしりが強すぎる方はセラミックが割れてしまう可能性があります
- 自費診療(保険適用外治療)となります
当サイトの内容、テキスト、画像等の無断転載、複製、複写、盗用を固く禁じます。














