症例詳細
Case detail
変色した前歯のオールセラミック治療
治療症例の内容
- 診療科目
- 治療カテゴリ
- 担当医
- 藤巻太一朗(ドクタープロフィール)
- 患者様
- 50代女性
- 治療期間
- 3ヶ月
- 治療回数
- 2-5回
- 治療計画
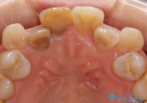
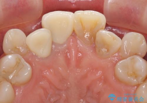
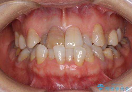
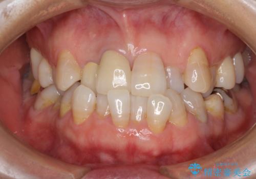
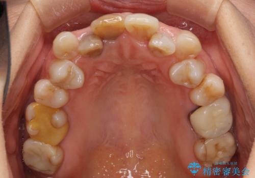
- 前歯の変色が気になるとのことで来院された患者様です。
歯並びに問題があるため、矯正治療の提案をしましたが、変色の改善のみ(オールセラミッククラウンによる審美補綴治療のみ)とすることにしました。
- 費用(概算)
- 治療費の目安: 42万円費用は治療当時の料金となります
治療について
矯正治療を行う必要性は理解いただきましたが、「今さら歯並びを整えても・・・」という思いが強かったようで、何度もカウンセリングを行った結果、審美補綴治療のみとなりました。
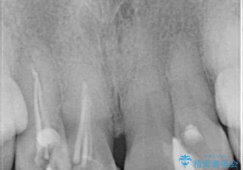
お粗末な根管治療、根管充填がされていたため、補綴治療を行うにあたり根管治療を行いました。
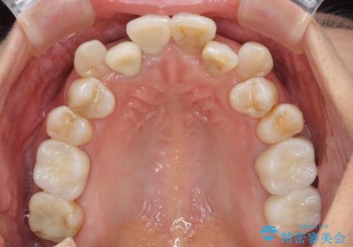
気になっていた変色が改善され、患者様には大変満足していただきました。
セラミック治療の注意事項(リスク・副作用など)
- 天然歯を削ります
- 硬い素材は天然歯を傷つけてしまう場合があります
- かみ合わせや歯ぎしりが強すぎる方はセラミックが割れてしまう可能性があります
- 自費診療(保険適用外治療)となります
当サイトの内容、テキスト、画像等の無断転載、複製、複写、盗用を固く禁じます。










