症例詳細
Case detail
拡大鏡にて虫歯を除去。精度の高いセラミッククラウン
治療症例の内容
- 診療科目
- 治療カテゴリ
- 担当医
- 河口智英(ドクタープロフィール)
- 患者様
- 40代男性
- 治療期間
- 1ヶ月
- 治療回数
- 2-5回
- 治療計画
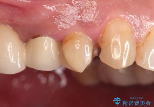
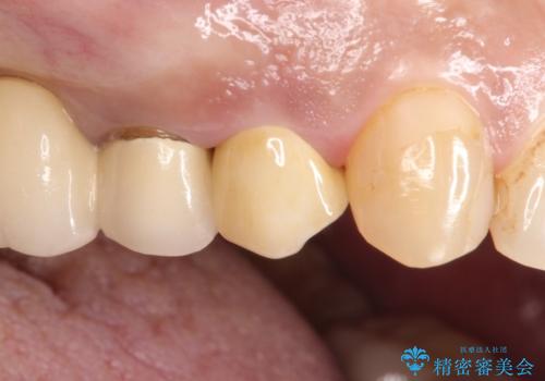
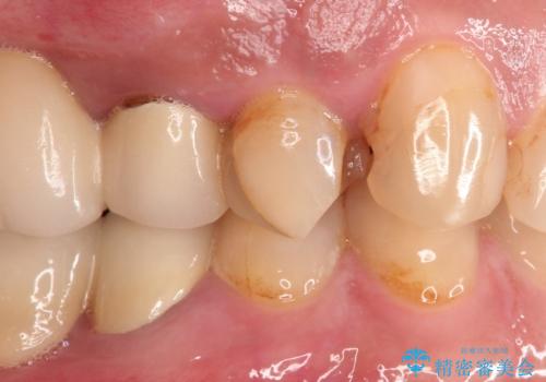
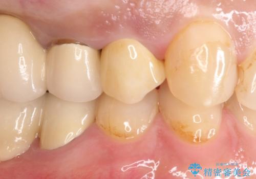
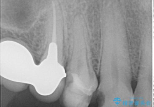
- 以前治療したセラミックインレーが破折したことを主訴に来院されました。
咬合力が強く、残存歯質が少ないためオールセラミッククラウンによる治療を行いました。
- 費用(概算)
- 11万円費用は治療当時の料金となります
治療について
咬合力が強くかかる部分には欠けるリスクのほとんどない金属を用いることが最良ですが審美性に劣ります。
今回は白い材料での修復を希望されたため、欠けるリスクが高いセラミックインレーは避け、セラミッククラウンにて治療を行いました。
セラミック治療の注意事項(リスク・副作用など)
- 天然歯を削ります
- 硬い素材は天然歯を傷つけてしまう場合があります
- かみ合わせや歯ぎしりが強すぎる方はセラミックが割れてしまう可能性があります
- 自費診療(保険適用外治療)となります
当サイトの内容、テキスト、画像等の無断転載、複製、複写、盗用を固く禁じます。









