症例詳細
Case detail
奥歯が痛い。根管治療からセラミッククラウン
治療症例の内容
- 診療科目
- 治療カテゴリ
- 担当医
- 河口智英(ドクタープロフィール)
- 患者様
- 30代女性
- 治療期間
- 3ヶ月
- 治療回数
- 2-5回
- 治療計画
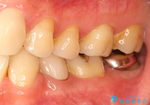
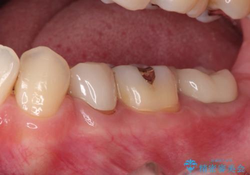
- 奥歯が痛いことを主訴に来院されました。
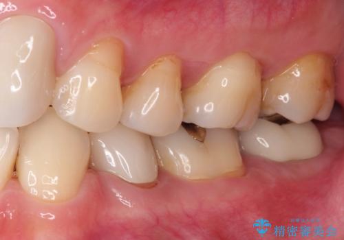
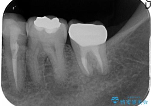
レントゲンにて根尖病変を認め、根管治療を行ったのちセラミッククラウンにて修復しました。根管治療は川島先生に依頼。
- 費用(概算)
- 13万円(根管治療は別途)費用は治療当時の料金となります
治療について
咬合力が強くかかる部分には欠けるリスクのほとんどない金属を用いることが最良ですが審美性に劣ります。
今回は白い材料での修復を希望されたため、セラミッククラウンにて治療を行いました。
セラミック治療の注意事項(リスク・副作用など)
- 天然歯を削ります
- 硬い素材は天然歯を傷つけてしまう場合があります
- かみ合わせや歯ぎしりが強すぎる方はセラミックが割れてしまう可能性があります
- 自費診療(保険適用外治療)となります
当サイトの内容、テキスト、画像等の無断転載、複製、複写、盗用を固く禁じます。









