症例詳細
Case detail
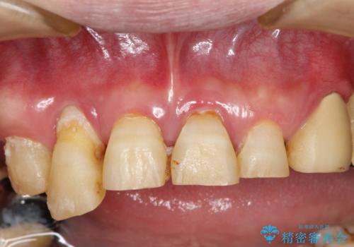
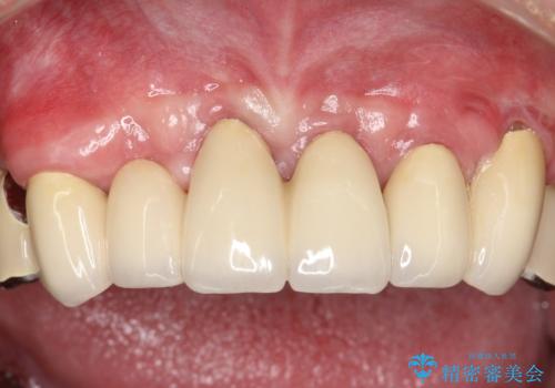
歯周病におかされた前歯の再建治療
治療症例の内容
- 患者様
- 50代男性
- 治療期間
- 1年8ヶ月
- 治療回数
- 10-30回
- 治療計画
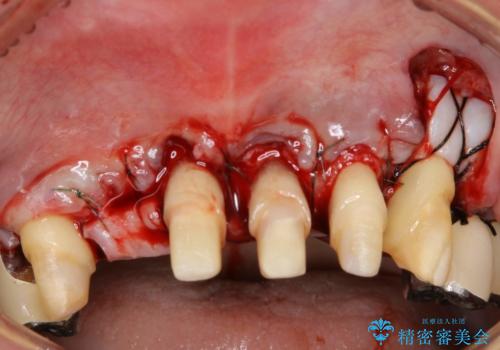
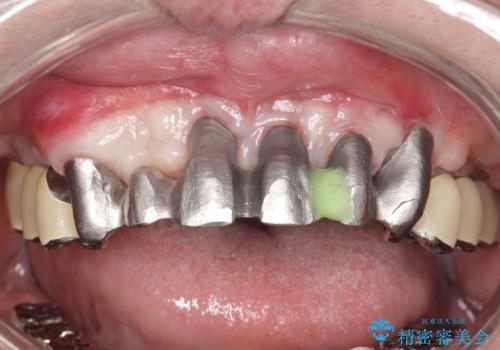
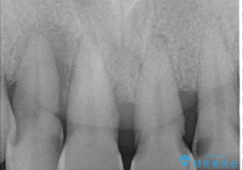
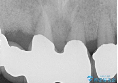
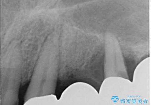
- 歯周病により欠損が生じた歯槽骨、まずは再生治療をおこなう
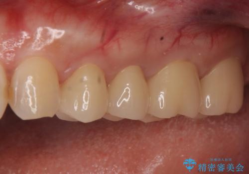
→治癒後、確定外科を行い完全に歯周ポケットを除去し、最終的に歯周補綴をおこなう
- 費用(概算)
- 約85万円費用は治療当時の料金となります
治療について
歯周病が進行してしまうと、歯周外科による処置が不可欠になります。
様々なリスクがありますが、唯一歯周病を除去することが可能な手段です。
かぶせ物の種類:PFM full bake
歯周病治療の注意事項(リスク・副作用など)
- 外科手術のため、術後に痛みや腫れ、違和感を伴います
- 歯周組織再生治療は患者様の状態によって術後の経過が異なります(見た目が改善しない場合もあります)
- 歯周組織再生治療は自費診療(保険適用外)となります
セラミック治療の注意事項(リスク・副作用など)
- 天然歯を削ります
- 硬い素材は天然歯を傷つけてしまう場合があります
- かみ合わせや歯ぎしりが強すぎる方はセラミックが割れてしまう可能性があります
- 自費診療(保険適用外治療)となります
当サイトの内容、テキスト、画像等の無断転載、複製、複写、盗用を固く禁じます。













