症例詳細
Case detail
歯肉の縁に金属が見えて気になる オールセラミッククラウンによる審美歯科治療
治療症例の内容
- 診療科目
- 治療カテゴリ
- 担当医
- 藤巻太一朗(ドクタープロフィール)
- 患者様
- 40代女性
- 治療期間
- 2ヶ月
- 治療回数
- 2-5回
- 治療計画
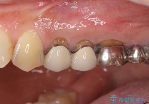
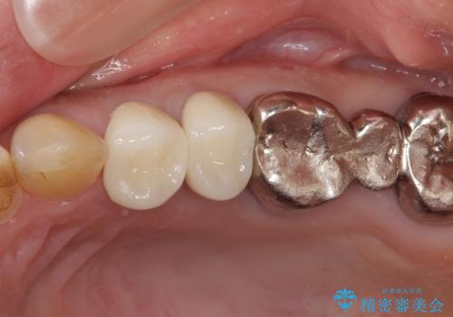
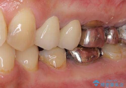
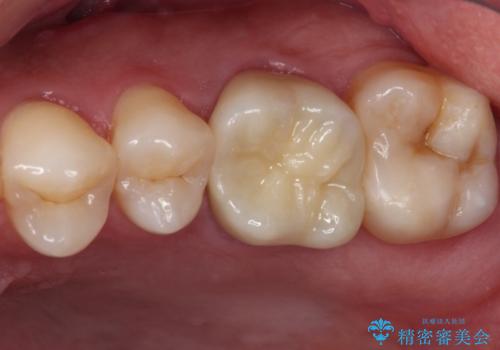
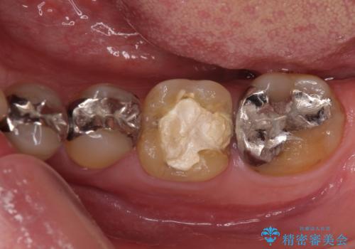
- 歯肉が退縮したためにクラウンの縁や歯根が見えてしまっていることを気にして来院された患者様です。
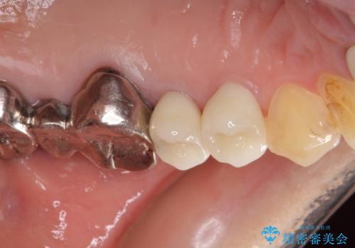
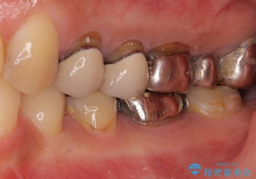
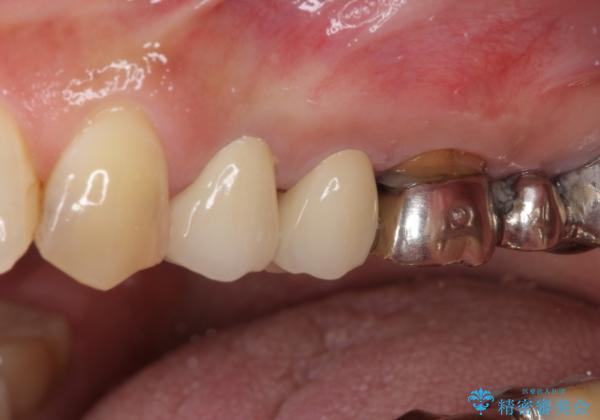
仮歯に変えた後にオールセラミッククラウンにて補綴することとしました。
- 費用(概算)
- 治療費の目安: 26万円費用は治療当時の料金となります
治療について
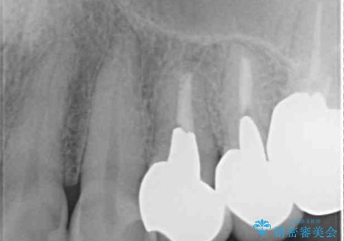
強い咬合力や磨きすぎなどにより、歯根が見えてしまったり、金属の縁が見えてしまったりし、審美障害を引き起こすことがあります。
歯根が変色してしまうと、歯肉越しに歯根の黒い色が透けてしまうことがあり、この点についてはどうにも施しようがないため、患者様には事前のご理解いただきました。
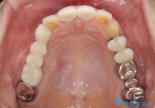
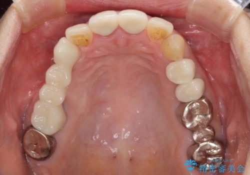
治療前と比べてとても自然な前歯となり、患者様には大変満足していただきました。
セラミック治療の注意事項(リスク・副作用など)
- 天然歯を削ります
- 硬い素材は天然歯を傷つけてしまう場合があります
- かみ合わせや歯ぎしりが強すぎる方はセラミックが割れてしまう可能性があります
- 自費診療(保険適用外治療)となります
当サイトの内容、テキスト、画像等の無断転載、複製、複写、盗用を固く禁じます。












