症例詳細
Case detail
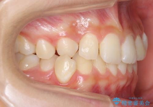
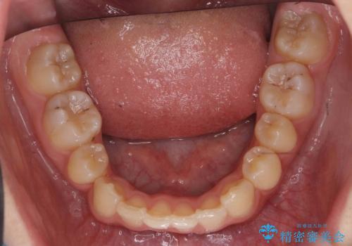
埋まっている犬歯を抜歯して、歯列矯正
治療症例の内容
- 診療科目
- 担当医
- 井上季実子(ドクタープロフィール)
- 患者様
- 10代女子
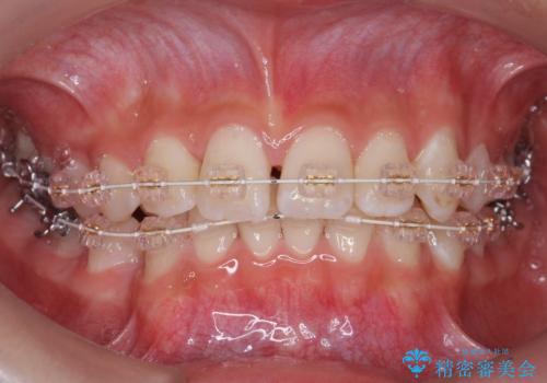
- 矯正装置
- 審美装置
- 治療期間
- 1年7ヶ月
- 治療回数
- 10-30回
- 治療計画
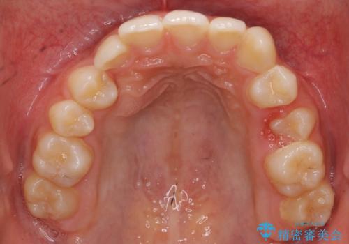
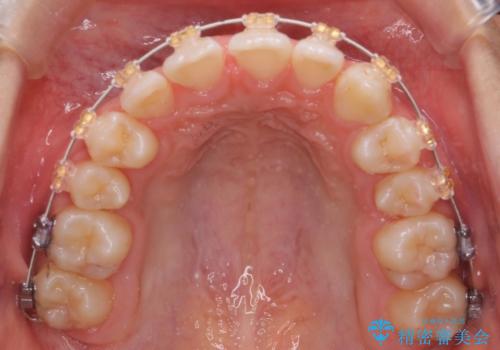
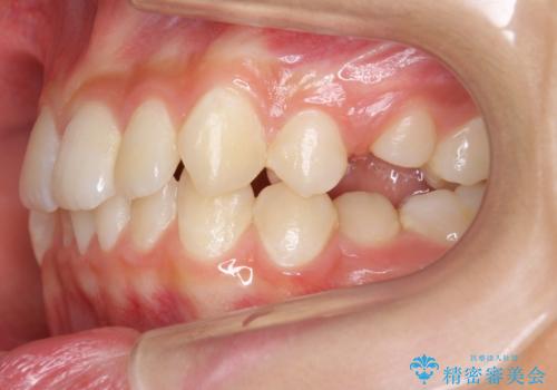
- 右上の犬歯が埋伏していたため、抜歯しました。
https://seimitsushinbi.jp/case/16792/
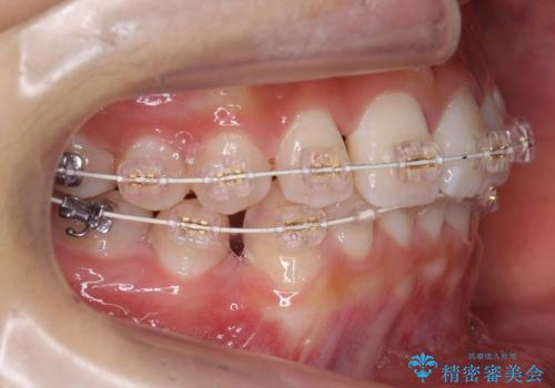
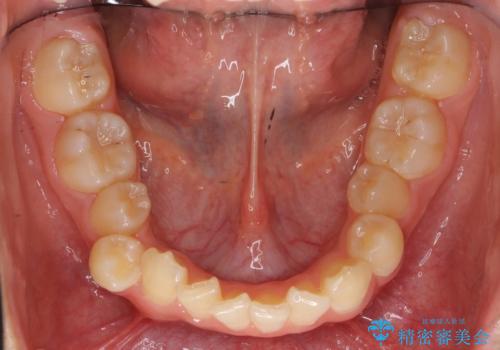
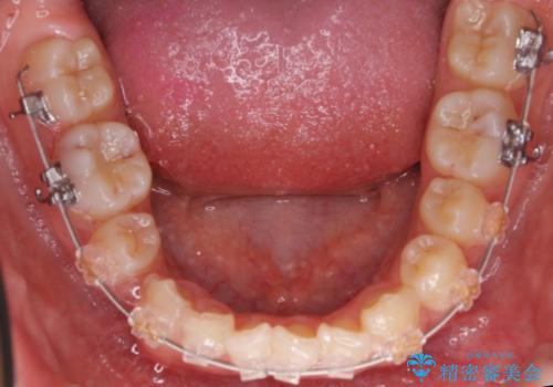
その後、右下の小臼歯を1本抜歯し、ワイヤー矯正を行いました。
犬歯の代わりに小臼歯を配列し、最小限の抜歯の本数としました。
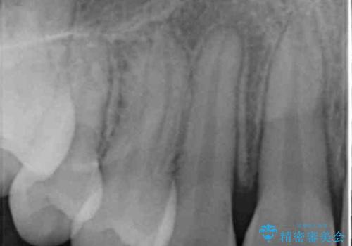
犬歯の両側の歯に関しては移動することにより歯槽骨が順調に回復し、上顎洞底の形態にかかわらず歯根のパラレリングを行うことができました。
- 費用(概算)
- 95万円費用は治療当時の料金となります
治療について
犬歯の両側の歯に関しては移動することにより歯槽骨が順調に回復し、上顎洞底の形態にかかわらず歯根のパラレリングを行うことができた理由としては、年齢が10代前半と若かったからだと思います。
成人ですと、なかなかこういった柔軟な歯の移動は難しいことが多いです。
左上4−7については、近心傾斜をしていたため、右上3を抜かずに遠心に移動して非抜歯で治療を行う案も提案しましたが、抜歯を選択されました。結果的に深く埋まっていた右上犬歯を牽引せずにすみ、さらに歯根の向きも整えることができてよかったです。治療も比較的短期間で済みました。
ワイヤー矯正の注意事項(リスク・副作用など)
- 治療中は違和感や痛みが起こることがあります
- 症状により、抜歯が必要な場合があります
- 治療中は歯磨きがしにくくなるため、虫歯や歯周病になりやすくなります
- 矯正治療後の保定が不十分だと後戻り(元の位置に戻ろうとする動き)をします
- 自費診療(保険適用外)となります
当サイトの内容、テキスト、画像等の無断転載、複製、複写、盗用を固く禁じます。


























