症例詳細
Case detail
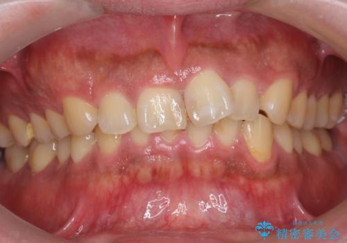
抜かない矯正 前歯がとび出ているのをマウスピースで
治療症例の内容
- 患者様
- 20代女性
- 矯正装置
- インビザライン フル
- 治療期間
- 1年8ヶ月
- 治療回数
- 10-30回
- 治療計画
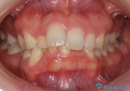
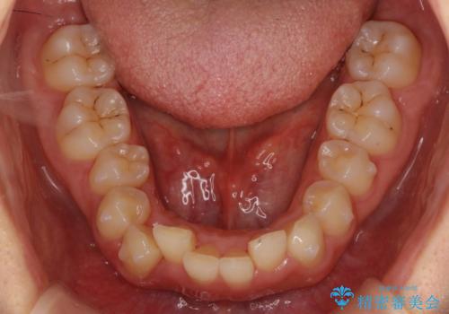
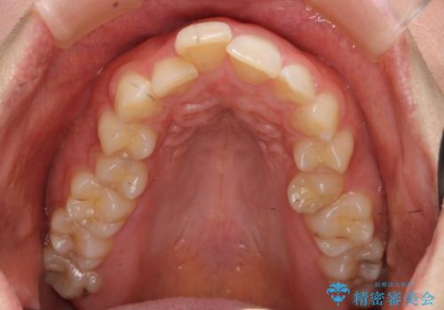
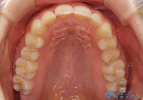
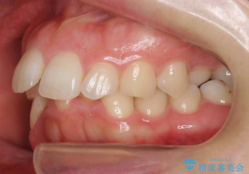
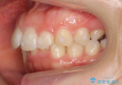
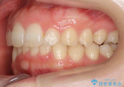
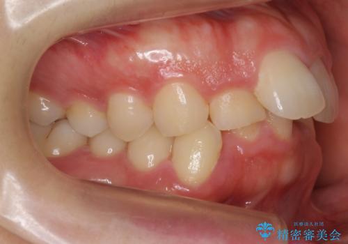
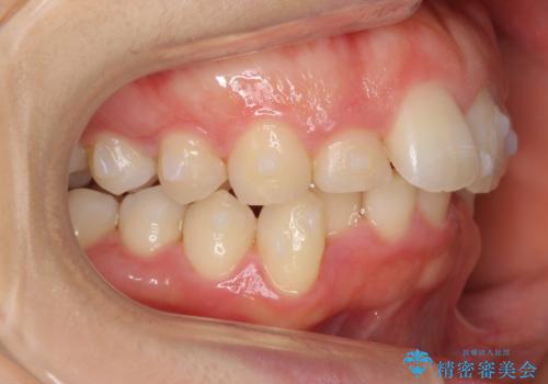
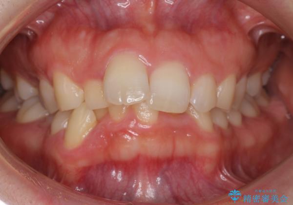
- 前歯のがたがたと出っ歯を主訴に来院。
CTを撮影したところ、臼歯部の頬側の骨の厚みが非常に大きく、通常では考えられない量の歯列の拡大が可能でした。
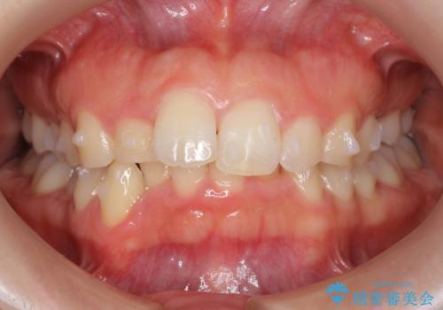
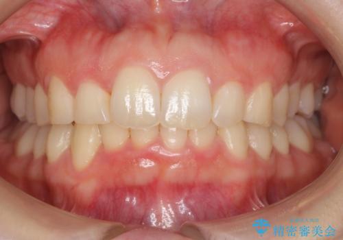
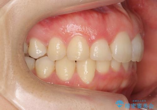
今回は健康を損なわずに非抜歯で治療が可能でしたが、
歯ぐきや骨の厚みが薄い他の患者さんでは難しいです。
左上5は180度捻転していましたので、そのまま並べています。
- 費用(概算)
- 85万円費用は治療当時の料金となります
治療について
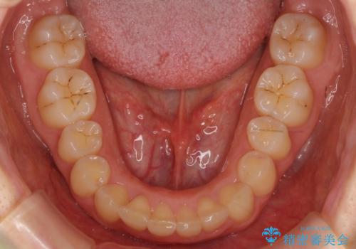
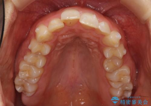
遠心移動などは行わず、IPRと拡大のみで治療を行いました。
一般的に非抜歯矯正を無理に行うと、口元がモッコリ出てしまうことがあります。しかし、今回は前歯を前に出さないような設定にしており、口元が出ることもありませんでした。
マウスピース矯正の注意事項(リスク・副作用など)
- 口腔内・歯並びの状態によっては対応できない場合があります
- マウスピース型矯正装置の長時間装着(1日20時間以上)が必須です
- 治療計画通りに進めるためには、患者様の意志が重要になります
- 矯正治療後の保定が不十分だと後戻り(元の位置に戻ろうとする動き)をします
- 薬機法対象外の矯正歯科装置のため医薬品副作用被害救済制度の対象外となる場合があります
- 自費診療(保険適用外)となります
当サイトの内容、テキスト、画像等の無断転載、複製、複写、盗用を固く禁じます。





















