症例詳細
Case detail
歯茎の黒ずみがきになる 前歯の見た目を改善したい
治療症例の内容
- 担当医
- 大元洋佑(ドクタープロフィール)
- 患者様
- 50代女性
- 治療期間
- 2ヶ月
- 治療回数
- 2-5回
- 治療計画
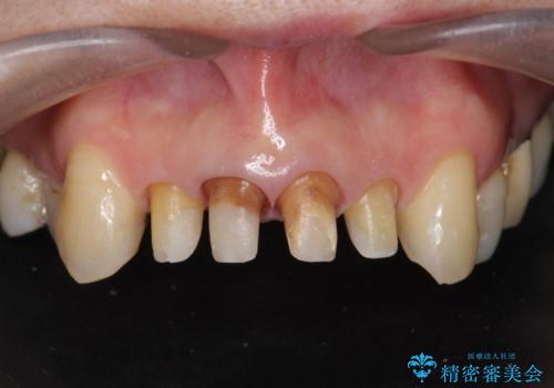
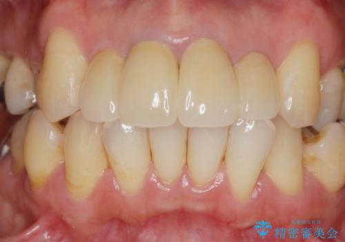
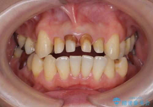
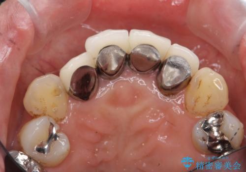
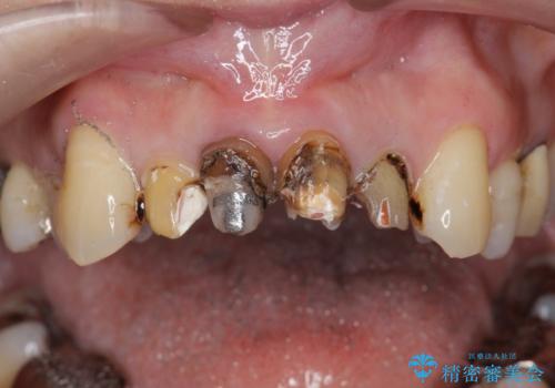
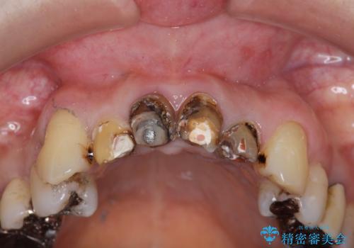
- クラウン周りの黒ずみが気になり、審美性の改善を求めて来院されました。
以前に治療した前歯クラウンは月日が経過することで劣化・歯肉の位置変化を引き起こし審美障害を引き起こしています。
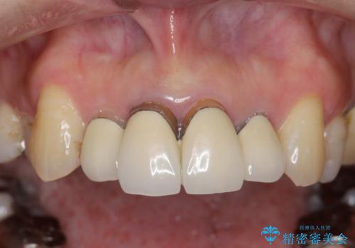
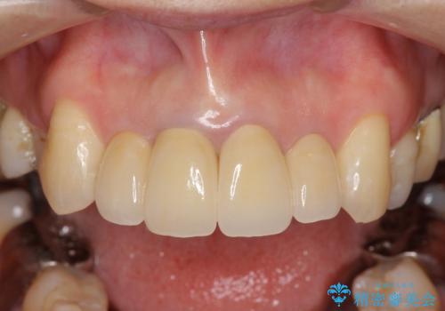
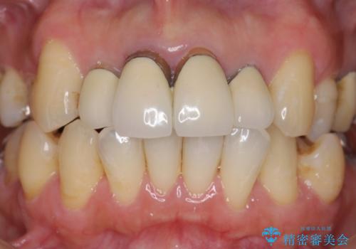
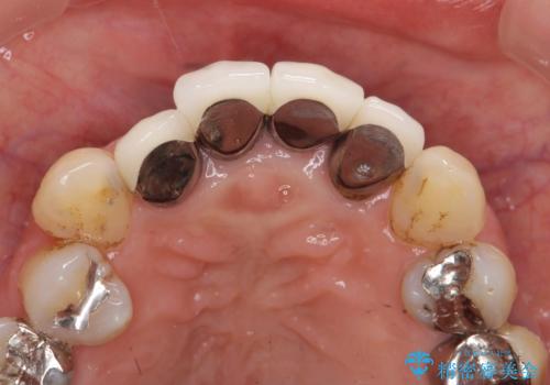
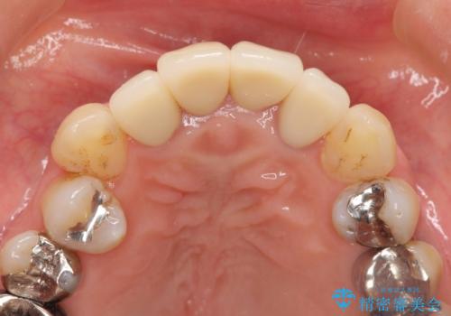
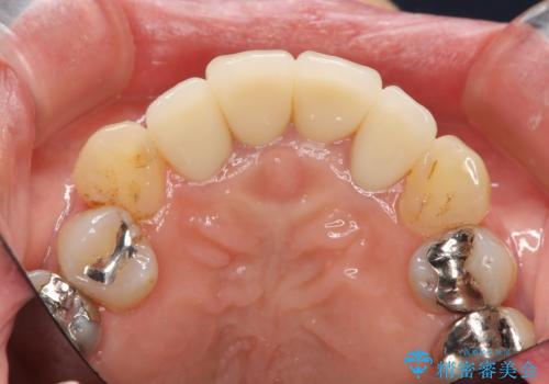
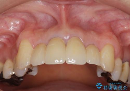
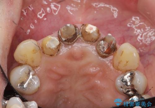
劣化したクラウンを除去し、再発した虫歯を徹底的に除去したのち根管治療・ファイバーコア築盛を行いジルコニアクラウン製作へと移ります。
- 費用(概算)
- 52万円(仮歯・ファイバーコア・ジルコニアクラウン×4)費用は治療当時の料金となります
歯ぐきの位置変化について
歯ぐきの位置は経年的に変化することがあります。その際にもジルコニアクラウンはクラウンの際が黒くなく目立ちにくく審美的なクラウンと言えます。
セラミック治療の注意事項(リスク・副作用など)
- 天然歯を削ります
- 硬い素材は天然歯を傷つけてしまう場合があります
- かみ合わせや歯ぎしりが強すぎる方はセラミックが割れてしまう可能性があります
- 自費診療(保険適用外治療)となります
当サイトの内容、テキスト、画像等の無断転載、複製、複写、盗用を固く禁じます。



























