症例詳細
Case detail
永久歯が生えてこない ワイヤー矯正で複雑な状態を正常咬合へ誘導する
治療症例の内容
- 担当医
 
- 患者様
 - 10代女性
 
- 矯正装置
 - 審美装置、リンガルアーチ
 
- 治療期間
 - 1年9ヶ月
 
- 治療回数
 - 10-30回
 
- 治療計画
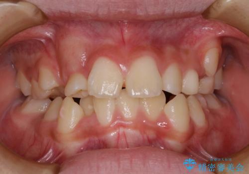
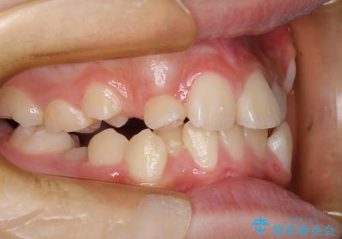
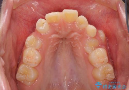
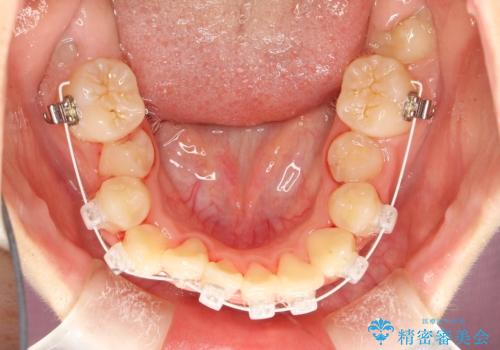
 - 乳歯の晩期残存による永久歯の萌出遅延・過剰歯・萌出異常
など多くの問題を抱えていた。
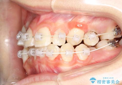
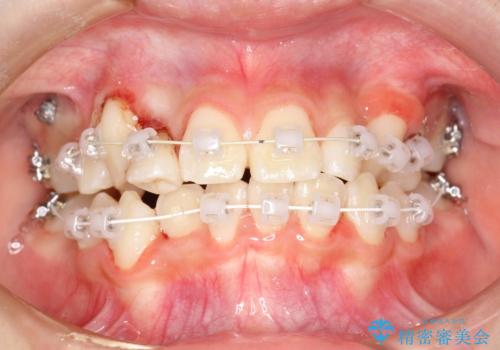
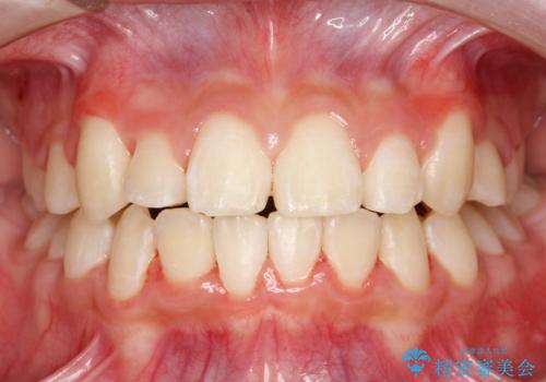
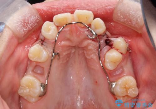
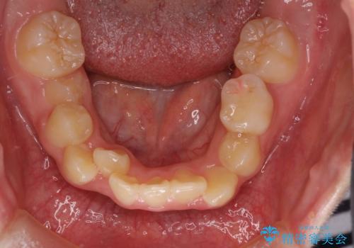
過剰歯と乳歯を抜歯後、リンガルアーチを用いて大まかな移動を行った後、マルチブラケットへ移行し、可及的に正常咬合へと誘導することを試みた。 
- 費用(概算)
 - 約95万円費用は治療当時の料金となります
 
治療について
乳歯がうまく抜けず、過剰歯が存在していたことにより、永久歯が位置異常をおこし、非常に複雑な状況となってしまっていました。
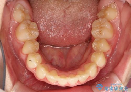
乳歯・過剰歯を除去し、リンガルアーチを用いて埋伏していた犬歯を牽引、その他おおまかな動きを行った後、マルチブラケットにて永久歯の咬合を誘導しました。
一度装置を外し、セトリング含め咬合が安定したら、改めてマウスピース矯正などで微調整を行うとよいかもしれません。
ワイヤー矯正の注意事項(リスク・副作用など)
- 治療中は違和感や痛みが起こることがあります
 - 症状により、抜歯が必要な場合があります
 - 治療中は歯磨きがしにくくなるため、虫歯や歯周病になりやすくなります
 - 矯正治療後の保定が不十分だと後戻り(元の位置に戻ろうとする動き)をします
 - 自費診療(保険適用外)となります
 
当サイトの内容、テキスト、画像等の無断転載、複製、複写、盗用を固く禁じます。

                      
                                                          


















