症例詳細
Case detail
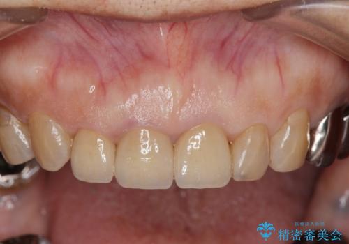
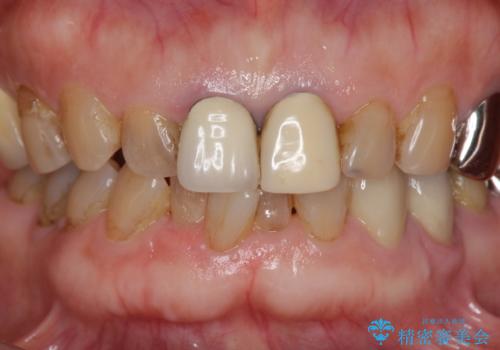
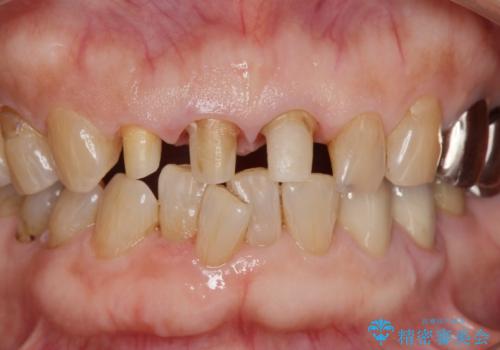
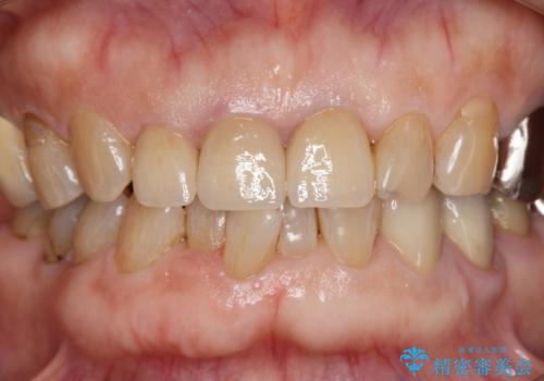
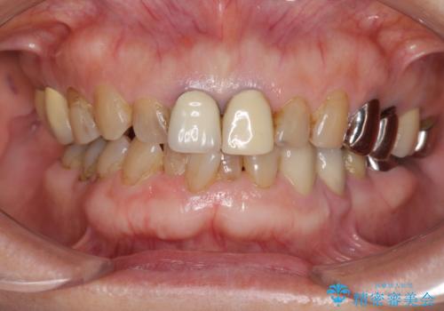
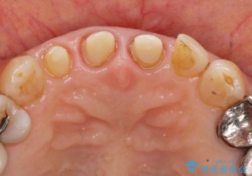
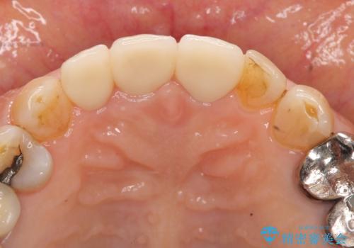
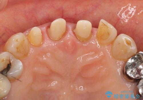
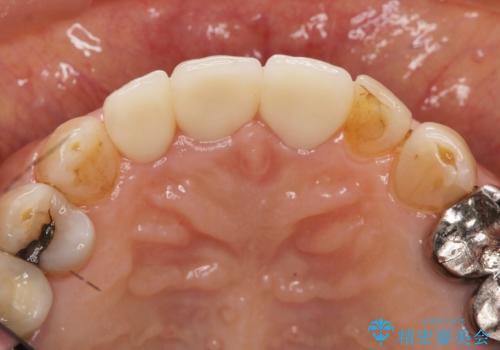
前歯の審美改善
治療症例の内容
- 診療科目
- 治療カテゴリ
- 担当医
- 大元洋佑(ドクタープロフィール)
- 患者様
- 70代女性
- 治療期間
- 1ヶ月
- 治療回数
- 2-5回
- 治療計画
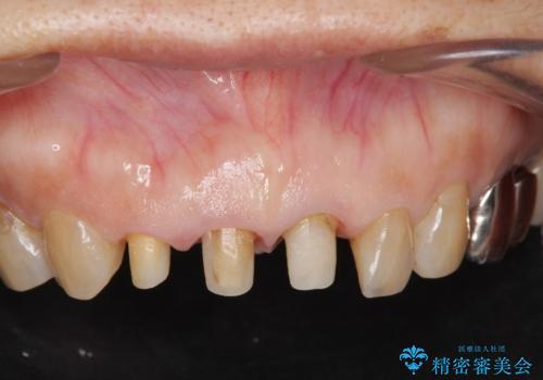
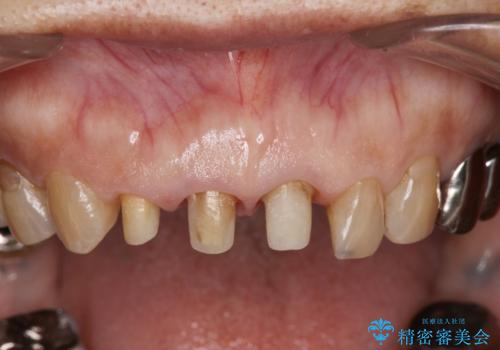
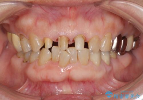
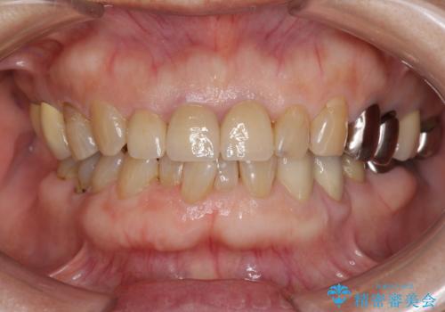
- 孫娘の結婚式に合わせて前歯を綺麗にして写真映りをよくしたいと来院されました。
結婚式に合わせて根管治療からのやりかえを短期集中治療で計4回で終える計画を立てます。
- 費用(概算)
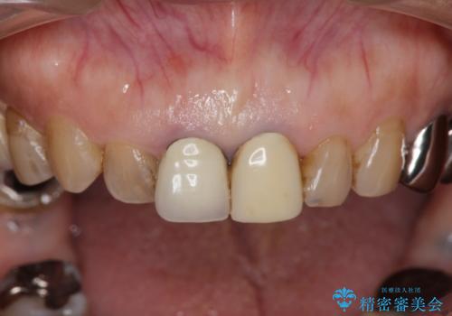
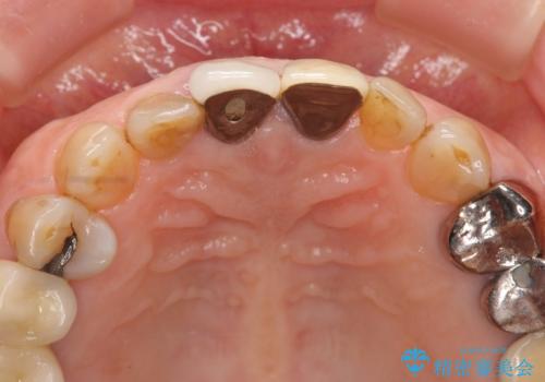
- 40万円(仮歯・ファイバーコア・ジルコニアクラウン×3)費用は治療当時の料金となります
セラミック治療について
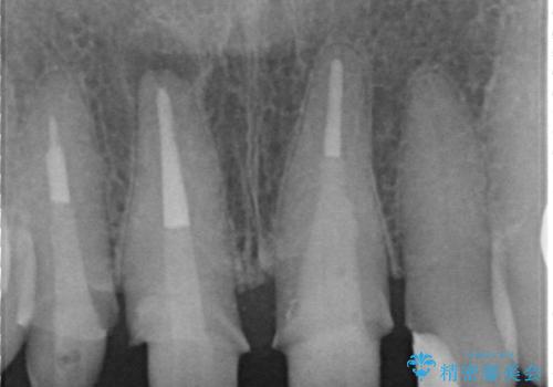
セラミック治療は外から見えるのはクラウンの色味・形態、歯肉の状態のみですが、X線撮影において現れるクラウンと歯牙の適合や、ファイバーコアの精度・根管充填の密度に、より長い予後を達成するための要素が含まれると考えます。
セラミック治療の注意事項(リスク・副作用など)
- 天然歯を削ります
- 硬い素材は天然歯を傷つけてしまう場合があります
- かみ合わせや歯ぎしりが強すぎる方はセラミックが割れてしまう可能性があります
- 自費診療(保険適用外治療)となります
当サイトの内容、テキスト、画像等の無断転載、複製、複写、盗用を固く禁じます。





















