症例詳細
Case detail
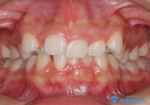
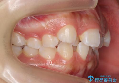
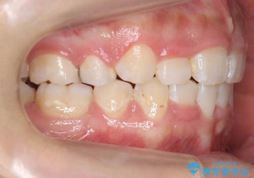
前歯のがたがた 前歯が内側に傾いている
治療症例の内容
- 患者様
- 20代女性
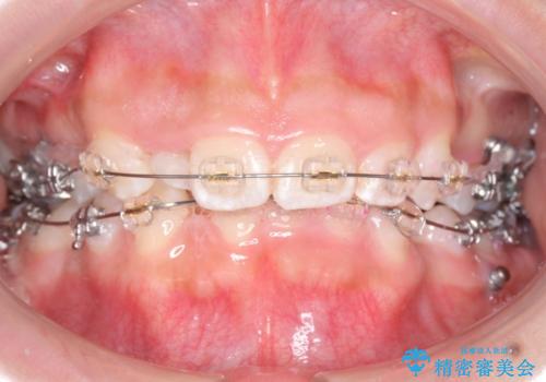
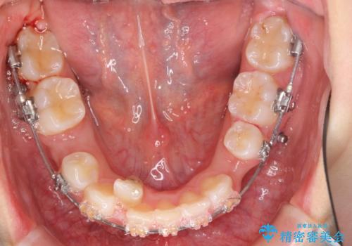
- 矯正装置
- プラスチックブラケット
- 治療期間
- 2年3ヶ月
- 治療回数
- 10-30回
- 治療計画
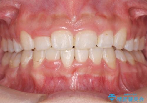
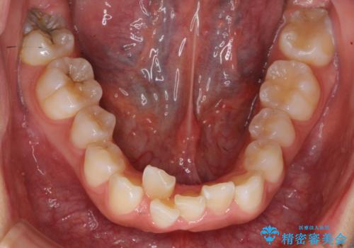
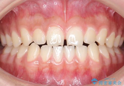
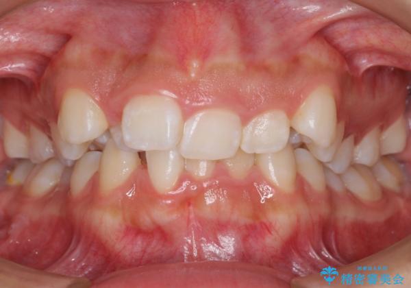
- 前歯のがたがたを主訴に来院。
上の歯並びが前にずれて、さらに前歯が内側に倒れて過蓋咬合を呈していました。
- 費用(概算)
- 90万円(通院費、リテーナー代込み)費用は治療当時の料金となります
治療について
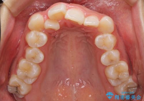
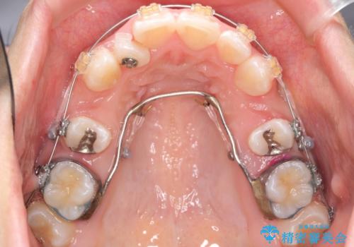
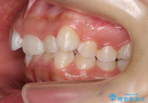
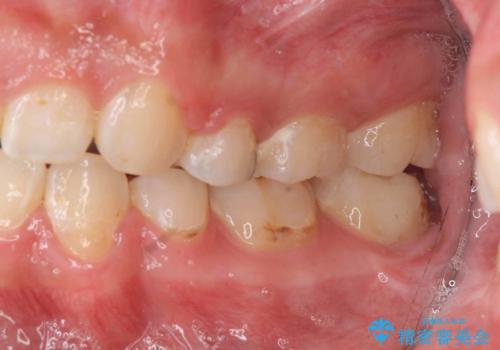
奥歯のかみ合わせもずれていたため、上の奥歯を後ろに下げる処置をミニスクリューを用いて行いました。
ワイヤー矯正の注意事項(リスク・副作用など)
- 治療中は違和感や痛みが起こることがあります
- 症状により、抜歯が必要な場合があります
- 治療中は歯磨きがしにくくなるため、虫歯や歯周病になりやすくなります
- 矯正治療後の保定が不十分だと後戻り(元の位置に戻ろうとする動き)をします
- 自費診療(保険適用外)となります
当サイトの内容、テキスト、画像等の無断転載、複製、複写、盗用を固く禁じます。





















