症例詳細
Case detail
歯肉から血が 前歯のオールセラミックブリッジの再製作
治療症例の内容
- 診療科目
- 治療カテゴリ
- 担当医
- 藤巻太一朗(ドクタープロフィール)
- 患者様
- 30代女性
- 治療期間
- 2ヶ月
- 治療回数
- 2-5回
- 治療計画
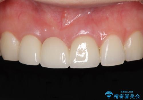
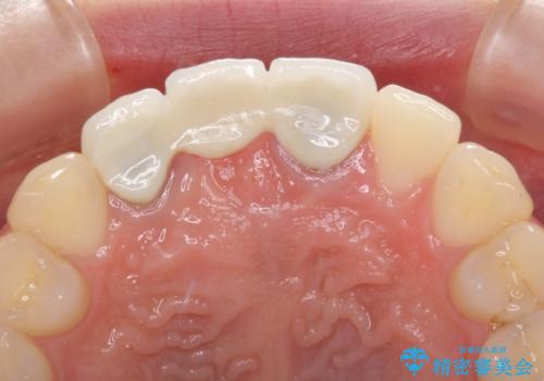
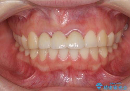
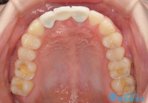
- 他院で装着したばかりの前歯のブリッジが気に入らず、作り替えを希望して来院された患者様です。
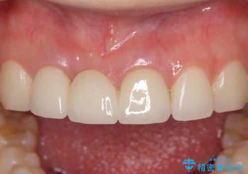
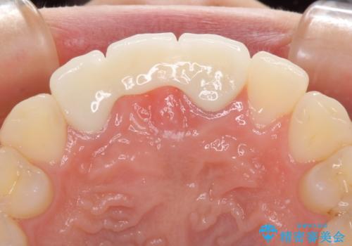
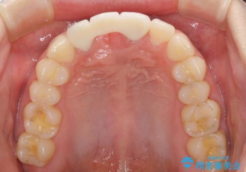
前院では、土台の金属を除去することは不可能であると言われたとのことでした。金属の土台が残っているとセラミックにグレーの金属色が透けて見えてしまうため、拡大鏡やマイクロスコープを用いて丁寧に除去し、天然歯の色に近いファイバーコアを植立することとしました。
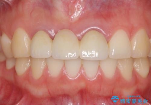
また、歯とクラウンの境目が合っていない部分が多く、歯肉からの出血が認められました。
- 費用(概算)
- 治療費の目安: 35万円費用は治療当時の料金となります
治療について
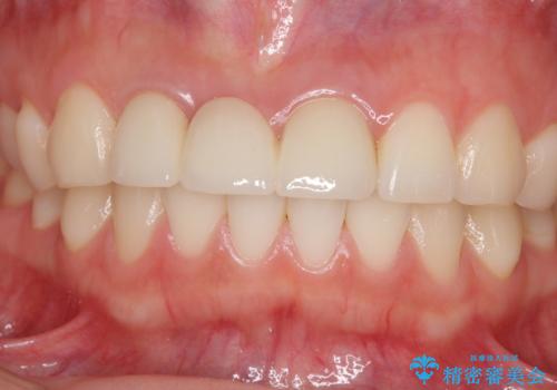
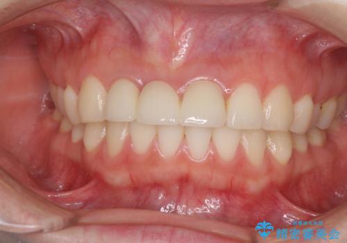
金属色の透けた感じも歯肉からの出血もなくなり、自然な仕上がりの前歯となったので、患者様には大変満足していただきました。
セラミック治療の注意事項(リスク・副作用など)
- 天然歯を削ります
- 硬い素材は天然歯を傷つけてしまう場合があります
- かみ合わせや歯ぎしりが強すぎる方はセラミックが割れてしまう可能性があります
- 自費診療(保険適用外治療)となります
当サイトの内容、テキスト、画像等の無断転載、複製、複写、盗用を固く禁じます。














