症例詳細
Case detail
前歯の隙間をオールセラミックで閉じる
治療症例の内容
- 診療科目
- 治療カテゴリ
- 担当医
- 藤巻太一朗(ドクタープロフィール)
- 患者様
- 30代女性
- 治療期間
- 1ヶ月
- 治療回数
- 2-5回
- 治療計画
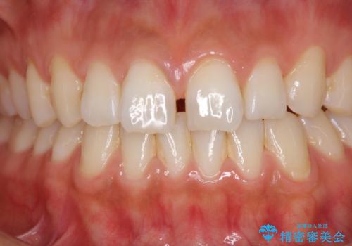
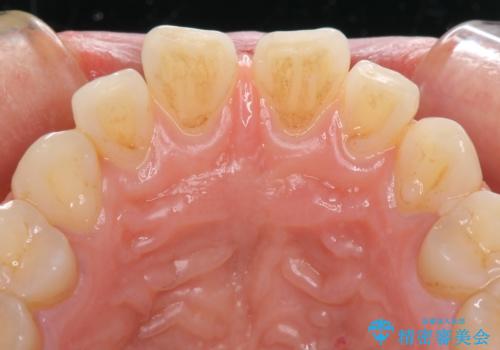
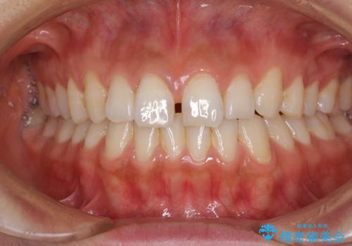
- 上の前歯の隙間を気にして来院された患者様です。
矯正治療により前歯を閉じるという治療を第一選択肢として提案しましたが、期間と費用からオールセラミッククラウンによる補綴治療を行うこととしました。
- 費用(概算)
- 治療費の目安: 22万円費用は治療当時の料金となります
治療について
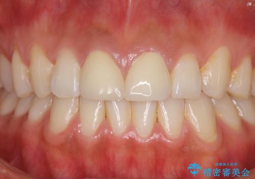
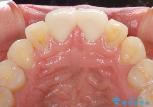
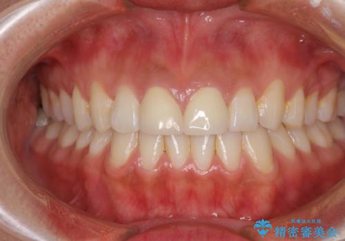
虫歯もない前歯を削ることは、処置をする者として心苦しいのですが、患者様は矯正治療は選択しないとのことだったので、オールセラミッククラウンにて補綴治療を行いました。
短期間で思い通りの仕上がりとなり、患者様には大変満足していただきました。
セラミック治療の注意事項(リスク・副作用など)
- 天然歯を削ります
- 硬い素材は天然歯を傷つけてしまう場合があります
- かみ合わせや歯ぎしりが強すぎる方はセラミックが割れてしまう可能性があります
- 自費診療(保険適用外治療)となります
当サイトの内容、テキスト、画像等の無断転載、複製、複写、盗用を固く禁じます。












