症例詳細
Case detail
目立つ奥歯の銀歯をセラミックインレーに
治療症例の内容
- 診療科目
- 治療カテゴリ
- 担当医
- 藤巻太一朗(ドクタープロフィール)
- 患者様
- 20代女性
- 治療期間
- 1ヶ月
- 治療回数
- 2-5回
- 治療計画
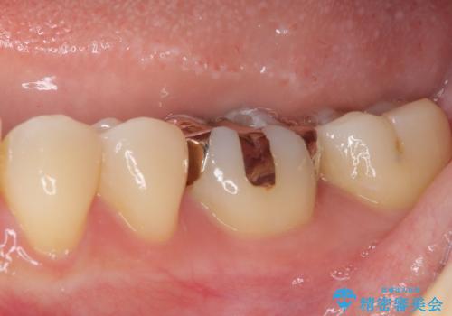
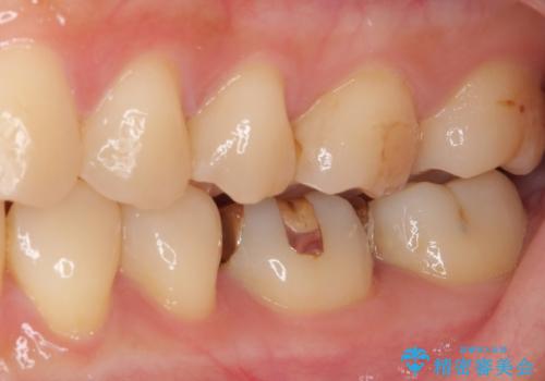
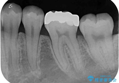
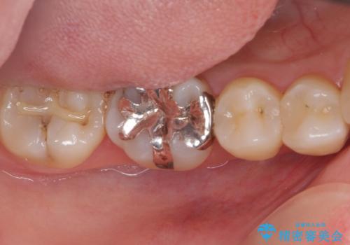
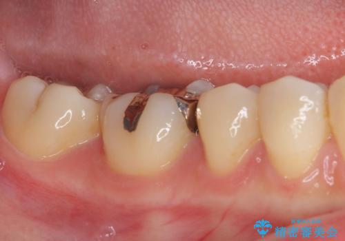
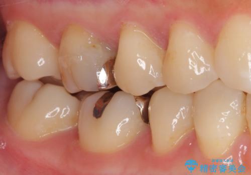
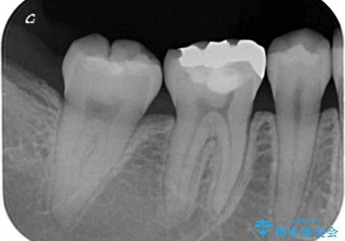
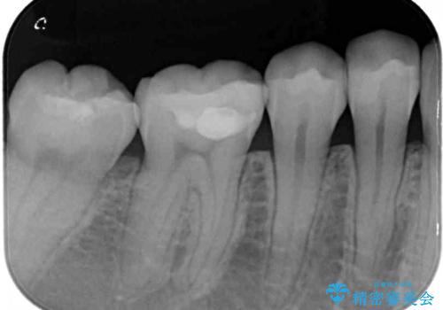
- 下の奥歯(右下7・左下7)にあって目立ってしまう銀歯を白くしたいとのことで来院された患者様です。
セラミックインレーにて修復治療を行うこととしました。
- 費用(概算)
- 治療費の目安: 14万円(2歯)費用は治療当時の料金となります
治療について
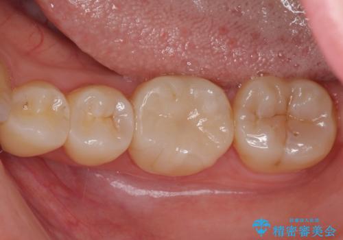
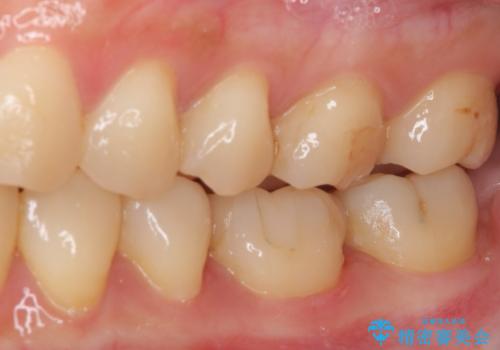
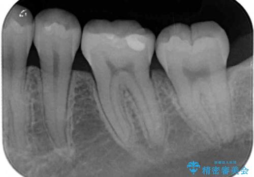
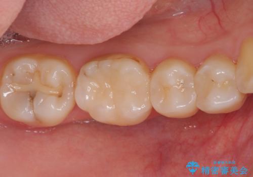
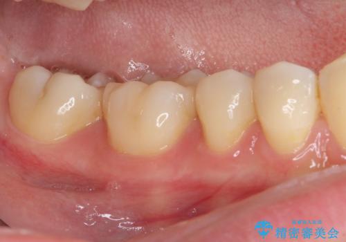
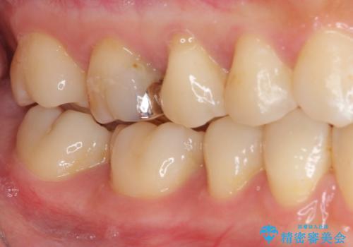
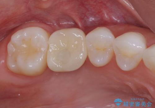
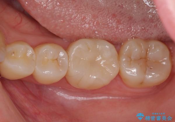
セラミックインレーを装着したことで、とても自然な仕上がりとなりました。
患者様も大きく口を開けても気にならなくなった、大変喜んでくださいました。
セラミック治療の注意事項(リスク・副作用など)
- 天然歯を削ります
- 硬い素材は天然歯を傷つけてしまう場合があります
- かみ合わせや歯ぎしりが強すぎる方はセラミックが割れてしまう可能性があります
- 自費診療(保険適用外治療)となります
当サイトの内容、テキスト、画像等の無断転載、複製、複写、盗用を固く禁じます。
















