症例詳細
Case detail
小臼歯部のインプラント
治療症例の内容
- 担当医
- 河口智英(ドクタープロフィール)
- 患者様
- 40代男性
- 治療期間
- 6ヶ月
- 治療回数
- 5-10回
- 治療計画
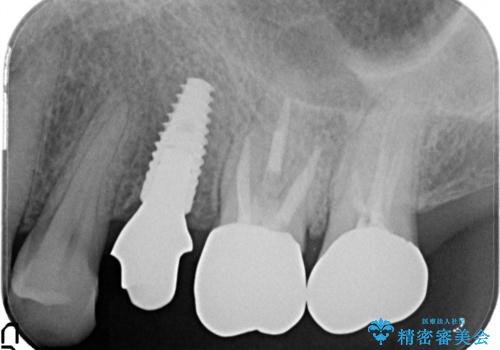
- 他院にて└5の治療を繰り返しても痛みがなくならないことを主訴に来院されました。
患歯はすでに2回の歯根切除術を受けており、長期的な予後不良となることから抜歯を選択されインプラントによる治療を行いました。
└6の不良補綴物も認め、根管治療及び補綴もやり替えてます。
- 費用(概算)
- 40万円費用は治療当時の料金となります
治療について
インプラントによる治療は隣在歯を削らずに咬合回復できるという利点があります。
セラミッククラウンにより自然な見た目で修復できました。
インプラント治療の注意事項(リスク・副作用など)
- 外科手術のため、術後に痛みや腫れ、違和感を伴います
- メンテナンスを怠ったり喫煙により、お口の中に大きな悪影響を及ぼすインプラント周囲炎等にかかる可能性があります
- 糖尿病、肝硬変、心臓病等の場合、インプラント治療ができない可能性があります
- 高血圧、貧血・不整脈等の場合、インプラント治療後に治癒不全を招く可能性があります
- 自費診療(保険適用外治療)となります
セラミック治療の注意事項(リスク・副作用など)
- 天然歯を削ります
- 硬い素材は天然歯を傷つけてしまう場合があります
- かみ合わせや歯ぎしりが強すぎる方はセラミックが割れてしまう可能性があります
- 自費診療(保険適用外治療)となります
当サイトの内容、テキスト、画像等の無断転載、複製、複写、盗用を固く禁じます。










