症例詳細
Case detail
歯肉の中までの深い虫歯 部分矯正後のセラミック治療
治療症例の内容
- 診療科目
- 治療カテゴリ
- 担当医
- 患者様
- 30代女性
- 治療期間
- 4ヶ月
- 治療回数
- 2-5回
- 治療計画
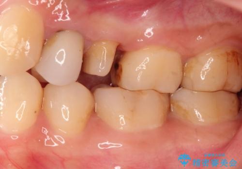
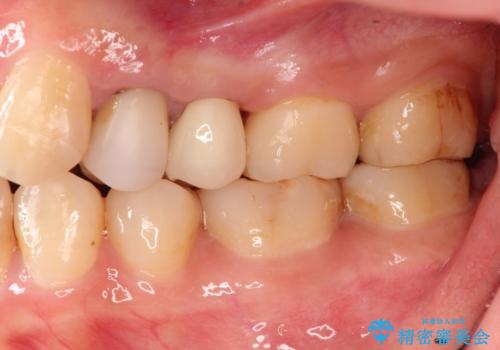
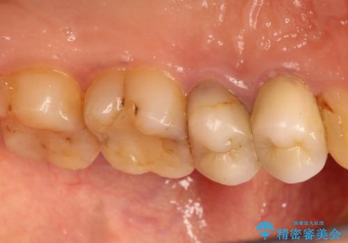
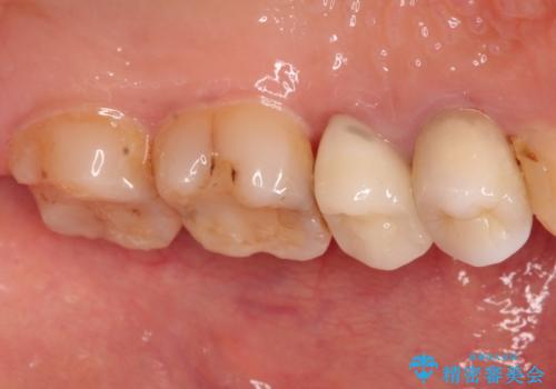
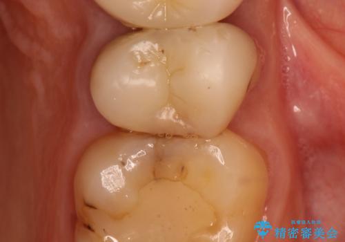
- 歯が欠けたとのことで来院されました。
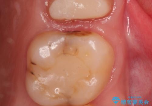
過去に治療してあった左上の歯が一部欠けていました。
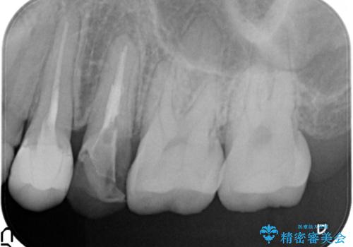
かぶせ物と詰めてある修復物を除去すると歯肉の中まで虫歯になっていました。
歯を部分矯正で引き上げて、虫歯を徹底的に取り除き、適合の良いかぶせ物を装着する計画としました。
- 費用(概算)
- 約20万円費用は治療当時の料金となります
治療について
深い虫歯の治療は、治療が長期化したり、困難になることがあります。
虫歯にならないことも大事ですが、治療した歯の再治療が必要ないように、精密な治療をすることもとても重要です。
セラミック治療の注意事項(リスク・副作用など)
- 天然歯を削ります
- 硬い素材は天然歯を傷つけてしまう場合があります
- かみ合わせや歯ぎしりが強すぎる方はセラミックが割れてしまう可能性があります
- 自費診療(保険適用外治療)となります
当サイトの内容、テキスト、画像等の無断転載、複製、複写、盗用を固く禁じます。



















