症例詳細
Case detail
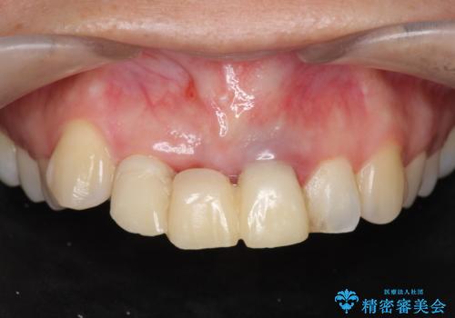
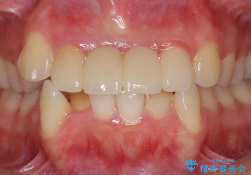
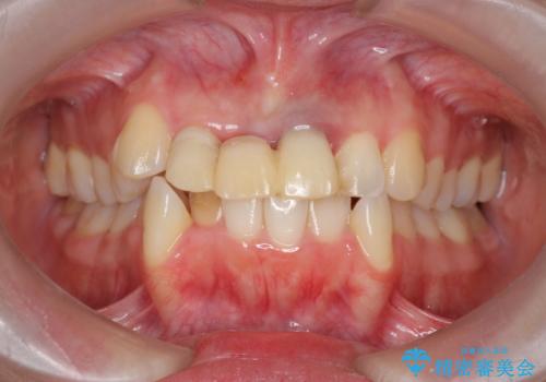
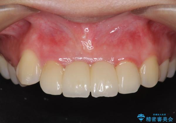
仮歯のまま放置してしまった 審美を改善したい
治療症例の内容
- 診療科目
- 治療カテゴリ
- 担当医
- 大元洋佑(ドクタープロフィール)
- 患者様
- 20代女性
- 治療期間
- 2ヶ月
- 治療回数
- 2-5回
- 治療計画
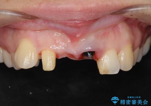
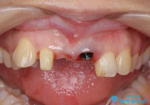
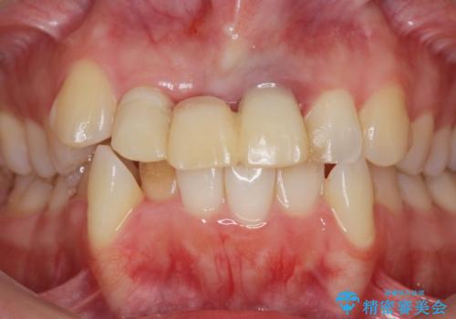
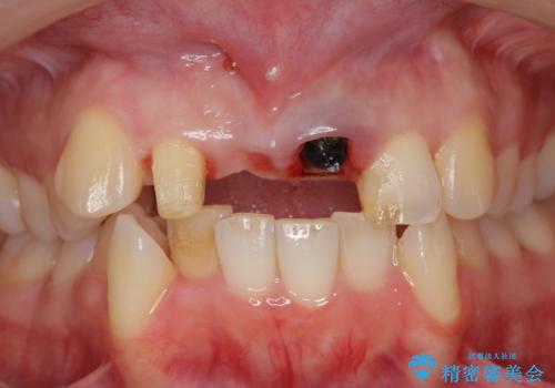
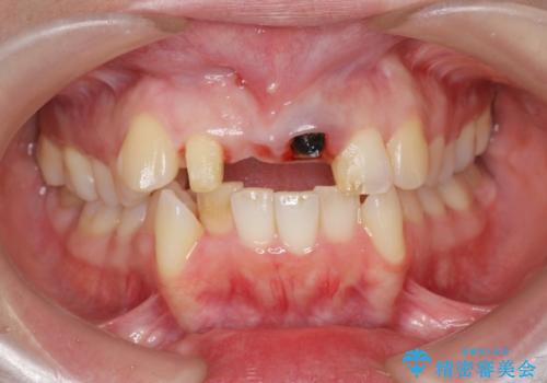
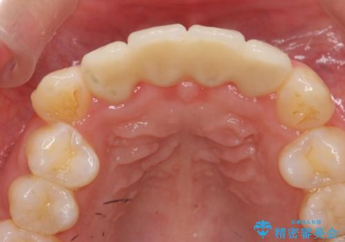
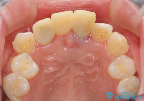
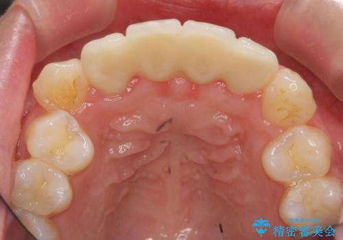
- 前医の治療途中、仮歯の状態で長期間放置したため支台となる歯の虫歯進行し抜歯を余儀なくされました。
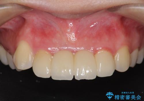
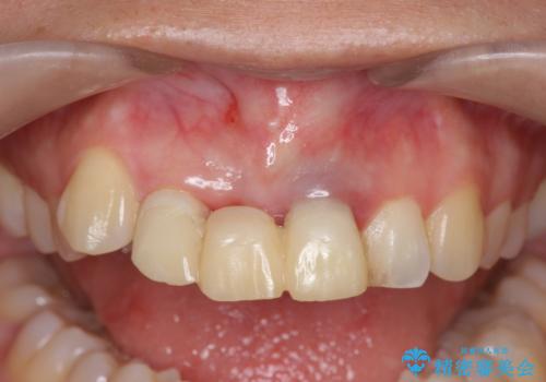
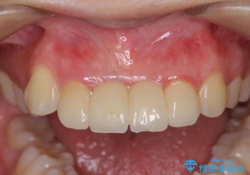
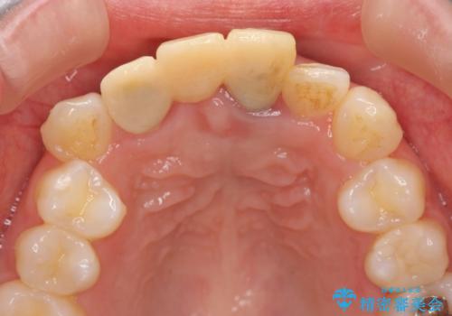
セラミックブリッジによる審美改善を計画します。
- 費用(概算)
- 44万円 (ジルコニアクラウン・仮歯×4)費用は治療当時の料金となります
治療の中断について
治療を途中で中断してしまうと今回のように仮歯の内部に虫歯の再発を認めたり問題が大きくなってしまうことが多々あります。
セラミック治療の注意事項(リスク・副作用など)
- 天然歯を削ります
- 硬い素材は天然歯を傷つけてしまう場合があります
- かみ合わせや歯ぎしりが強すぎる方はセラミックが割れてしまう可能性があります
- 自費診療(保険適用外治療)となります
当サイトの内容、テキスト、画像等の無断転載、複製、複写、盗用を固く禁じます。



















