症例詳細
Case detail
歯の破折による抜歯 インプラントによる咬合機能回復
治療症例の内容
- 患者様
- 30代女性
- 治療期間
- 9ヶ月
- 治療回数
- 5-10回
- 治療計画
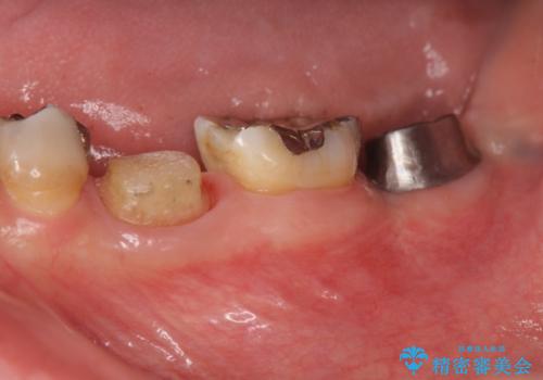
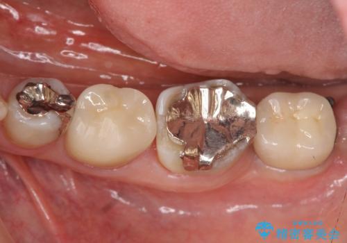
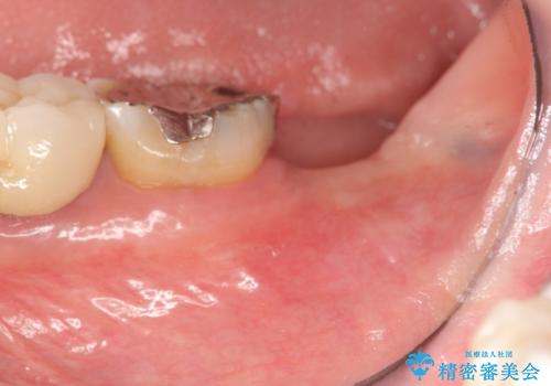
- 左下奥歯の咬合時疼痛を訴えて来院されました。
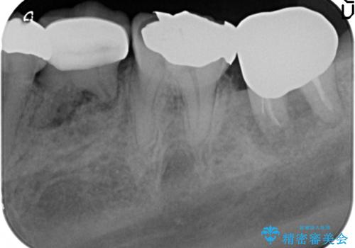
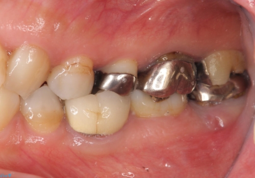
最後方臼歯周囲には大きな透過像が見られ、破折が強く疑われること抜歯が想定されることを理解していただき銀歯を除去したところ破折が認められたため抜歯を行いました。
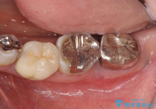
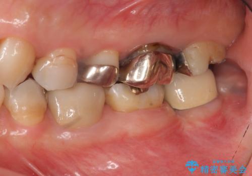
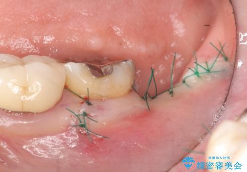
今後の機能回復方法としてインプラント治療を希望されたため、将来的に大規模な骨造成が必要とならないよう歯槽堤保存術を抜歯と同時に行いました。
- 費用(概算)
- 50万円(ストローマンインプラント・骨造成・チタンカスタムアバットメント・メタルボンド)費用は治療当時の料金となります
インプラント治療について
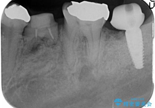
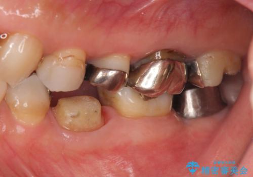
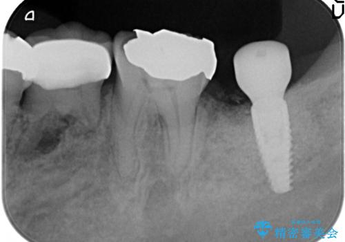
良好なインプラントの植立を行うためには、十分な骨量があることが必須条件です。
術前、歯の破折により大きな骨の吸収が認められていたため骨量を十分に回復するために抜歯と同時に歯槽堤保存術を行い十分な骨量の回復をすることができました。
インプラント治療の注意事項(リスク・副作用など)
- 外科手術のため、術後に痛みや腫れ、違和感を伴います
- メンテナンスを怠ったり喫煙により、お口の中に大きな悪影響を及ぼすインプラント周囲炎等にかかる可能性があります
- 糖尿病、肝硬変、心臓病等の場合、インプラント治療ができない可能性があります
- 高血圧、貧血・不整脈等の場合、インプラント治療後に治癒不全を招く可能性があります
- 自費診療(保険適用外治療)となります
当サイトの内容、テキスト、画像等の無断転載、複製、複写、盗用を固く禁じます。





























