症例詳細
Case detail
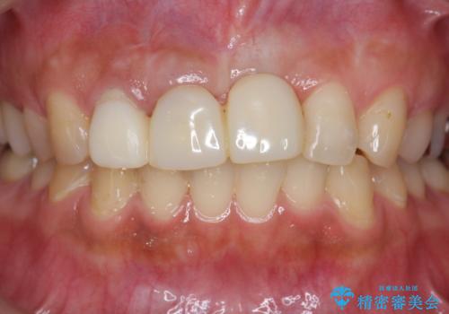
不良インプラントの除去・骨造成・歯肉移植・前歯審美セラミックブリッジ製作
治療症例の内容
- 診療科目
- 治療カテゴリ
- 担当医
- 大元洋佑(ドクタープロフィール)
- 患者様
- 30代女性
- 治療期間
- 1年
- 治療回数
- 5-10回
- 治療計画
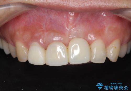
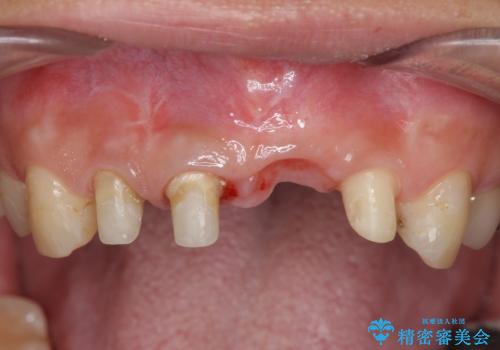
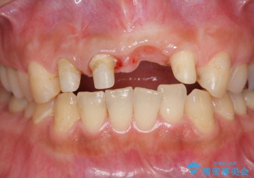
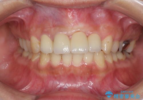
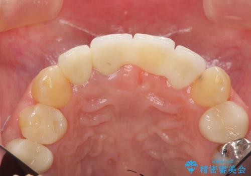
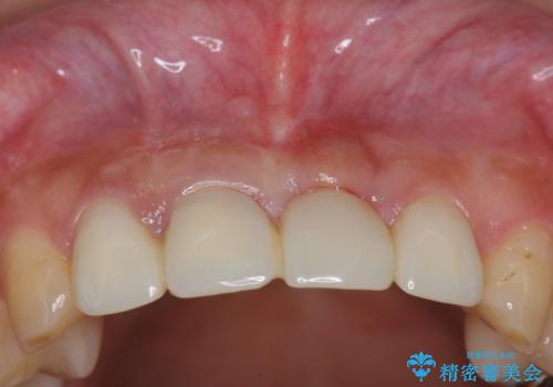
- 前歯の見栄えの悪さの改善を求めて来院されました。
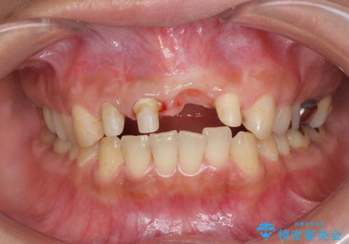
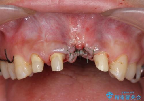
左側の前歯には他院で埋入されたポジションの悪いインプラント補綴により歯冠長の長いクラウンが装着されており、感染による排膿も認められこのまま審美性を改善するのは難しい状態です。
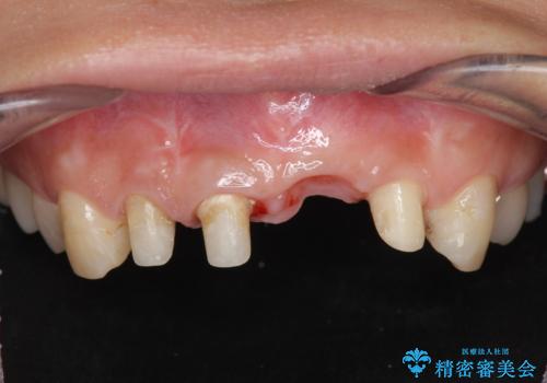
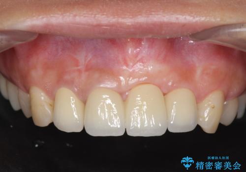
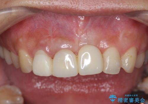
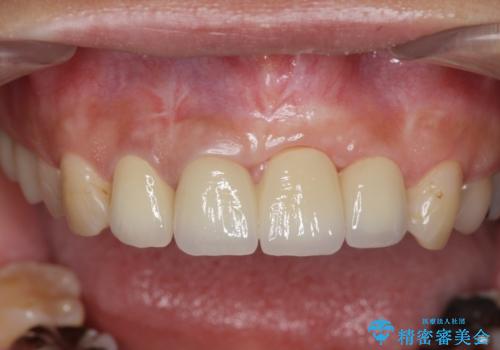
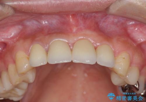
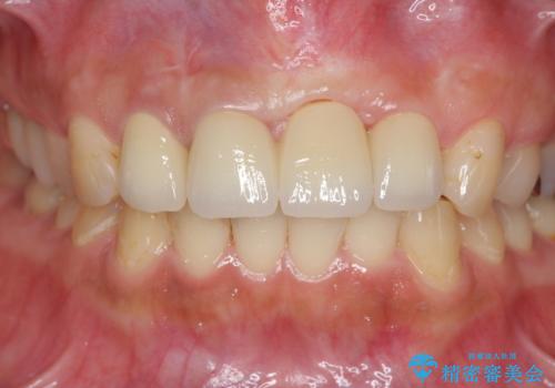
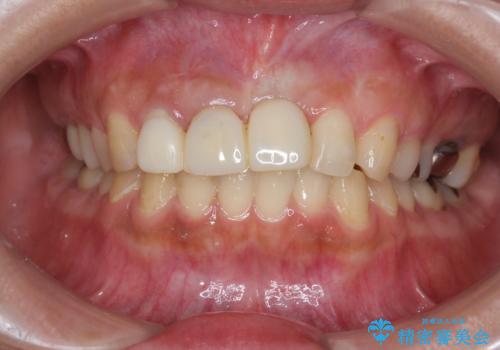
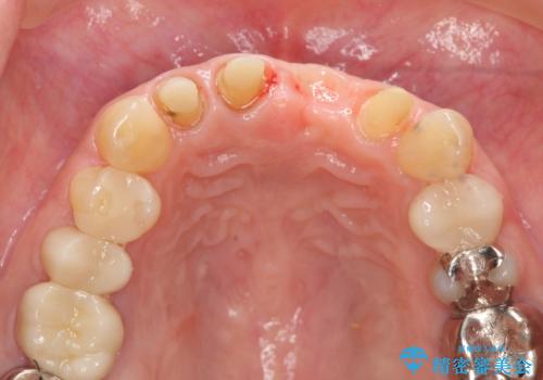
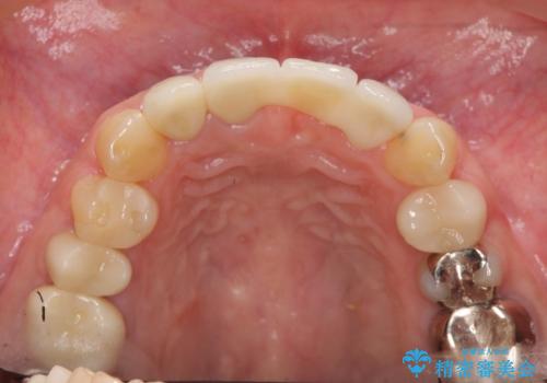
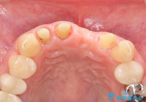
不良インプラントを除去し最終的にブリッジによる補綴で審美性の改善を行うこと、その準備として骨の造成・歯肉の移植による歯の欠損部顎堤のボリュームを維持・増大を計画します。
- 費用(概算)
- 65万円(仮歯・ファイバーコア・ジルコニアクラウン・インプラント除去・骨造成・歯肉移植)費用は治療当時の料金となります
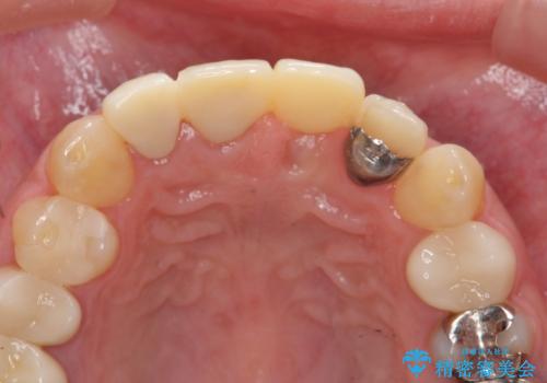
感染したインプラントについて
感染したインプラントからは排膿が間欠的に認められ、掻爬・除去が検討されうるような状況でした。
より審美的な改善を強く求められたため、インプラントを除去し可及的に欠損部顎堤を増大したのちブリッジによる審美改善を行いました。
セラミック治療の注意事項(リスク・副作用など)
- 天然歯を削ります
- 硬い素材は天然歯を傷つけてしまう場合があります
- かみ合わせや歯ぎしりが強すぎる方はセラミックが割れてしまう可能性があります
- 自費診療(保険適用外治療)となります
当サイトの内容、テキスト、画像等の無断転載、複製、複写、盗用を固く禁じます。





















































