症例詳細
Case detail
前歯の変色 セラミック審美補綴
治療症例の内容
- 診療科目
- 治療カテゴリ
- 担当医
- 大元洋佑(ドクタープロフィール)
- 患者様
- 40代女性
- 治療期間
- 1ヶ月
- 治療回数
- 2-5回
- 治療計画
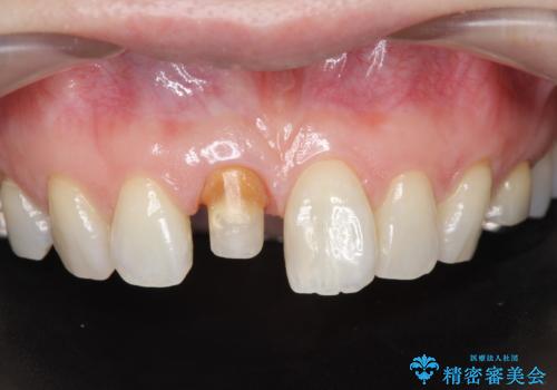
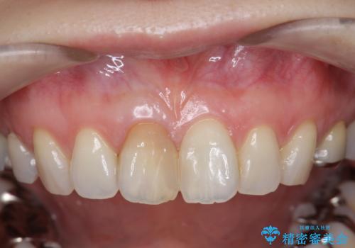
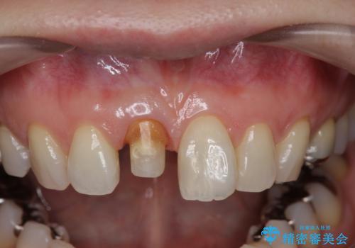
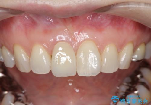
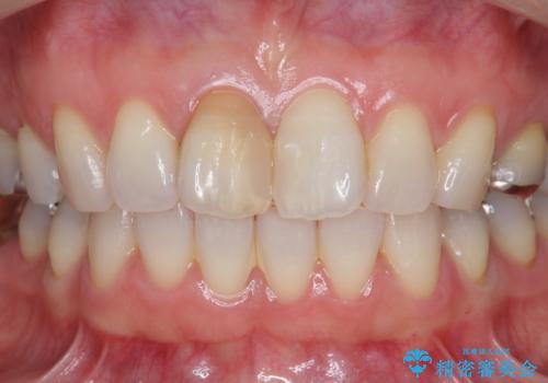
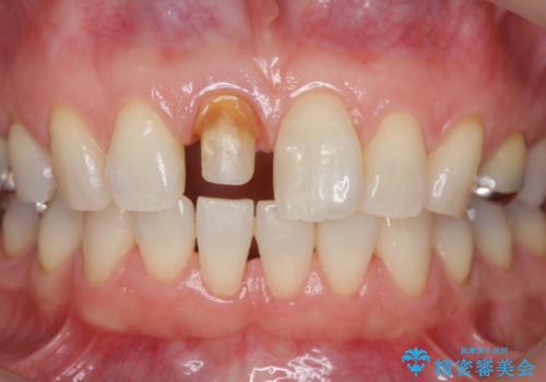
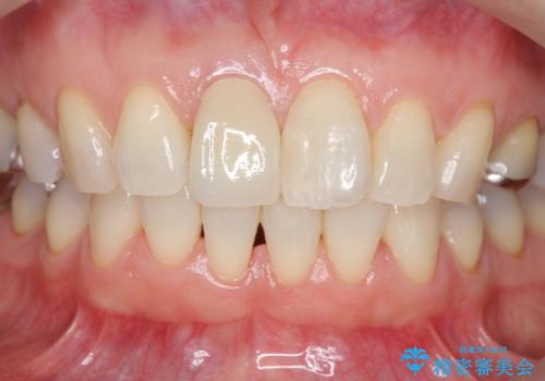
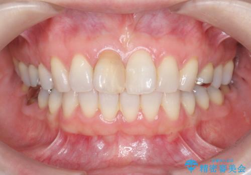
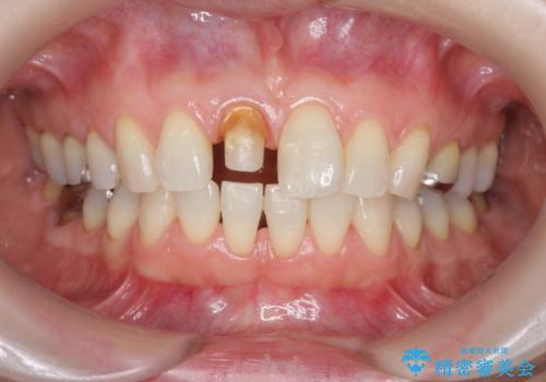
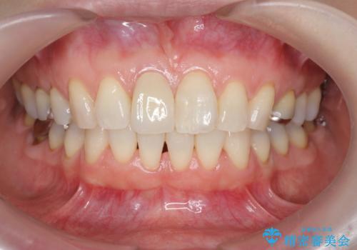
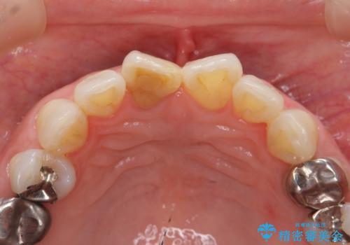
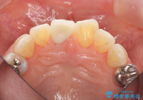
- 前歯の変色の改善を希望され来院されました.
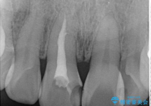
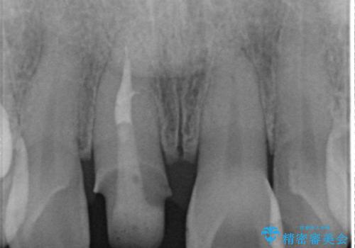
以前に神経が死に、根管治療を行った歯の変色が認められたためセラミックによる審美補綴治療を計画します。
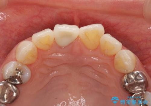
- 費用(概算)
- 16万円(仮歯・ファイバーコア・ジルコニアクラウンスペシャル)費用は治療当時の料金となります
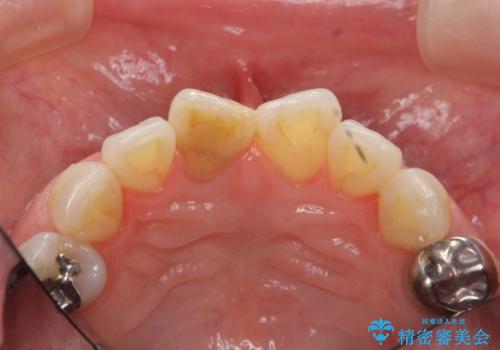
神経の死んでいる歯について
神経治療を行い補綴(かぶせもの)治療を行わないと、変色が目立ち審美障害を起こすことがあります。
このような場合、セラミックによる審美改善が治療の一案として提案されます。
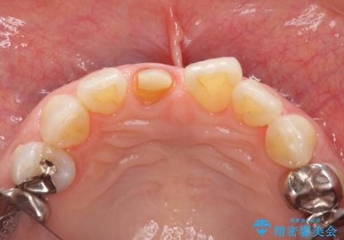
セラミック治療の注意事項(リスク・副作用など)
- 天然歯を削ります
- 硬い素材は天然歯を傷つけてしまう場合があります
- かみ合わせや歯ぎしりが強すぎる方はセラミックが割れてしまう可能性があります
- 自費診療(保険適用外治療)となります
当サイトの内容、テキスト、画像等の無断転載、複製、複写、盗用を固く禁じます。





















