症例詳細
Case detail
小臼歯の審美治療 ストローマンインプラントとカスタムアバットメント
治療症例の内容
- 担当医
- 藤巻太一朗(ドクタープロフィール)
- 患者様
- 60代女性
- 治療期間
- 10ヶ月
- 治療回数
- 5-10回
- 治療計画
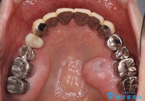
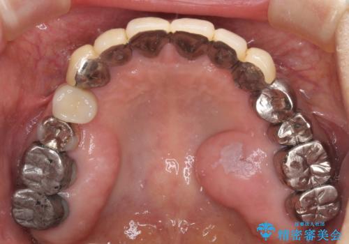
- 他院で抜歯が必要と診断され、インプラント治療を希望して来院された患者様です。
より審美的で、より機能的に優れた治療をご希望とのことであったので、ジルコニアカスタムアバットメントを用いたインプラント治療を行うこととしました。
- 費用(概算)
- 治療費の目安: 60万円費用は治療当時の料金となります
治療について
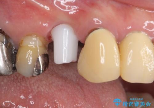
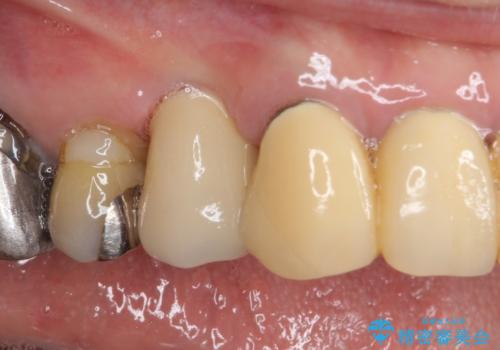
ジルコニアカスタムアバットメントは、歯肉ラインに金属が見えにくいというだけでなく、クラウンを装着する土台の形が天然歯と近い形態となるため、清掃性が高く歯肉が腫れにくいというメリットがあります。
インプラントは、人工骨を用いた際の骨誘導能が比較的高いとさせるストローマン社のSLActiveを使用しました。
セラミック治療の注意事項(リスク・副作用など)
- 天然歯を削ります
- 硬い素材は天然歯を傷つけてしまう場合があります
- かみ合わせや歯ぎしりが強すぎる方はセラミックが割れてしまう可能性があります
- 自費診療(保険適用外治療)となります
インプラント治療の注意事項(リスク・副作用など)
- 外科手術のため、術後に痛みや腫れ、違和感を伴います
- メンテナンスを怠ったり喫煙により、お口の中に大きな悪影響を及ぼすインプラント周囲炎等にかかる可能性があります
- 糖尿病、肝硬変、心臓病等の場合、インプラント治療ができない可能性があります
- 高血圧、貧血・不整脈等の場合、インプラント治療後に治癒不全を招く可能性があります
- 自費診療(保険適用外治療)となります
当サイトの内容、テキスト、画像等の無断転載、複製、複写、盗用を固く禁じます。













