症例詳細
Case detail
海外転居前に気になる前歯を整えたい 上下前歯の部分矯正
治療症例の内容
- 診療科目
- 担当医
- 藤巻太一朗(ドクタープロフィール)
- 患者様
- 20代女性
- 矯正装置
- 審美装置
- 治療期間
- 8ヶ月
- 治療回数
- 5-10回
- 治療計画
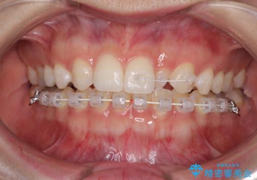
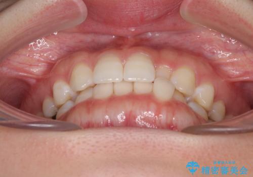
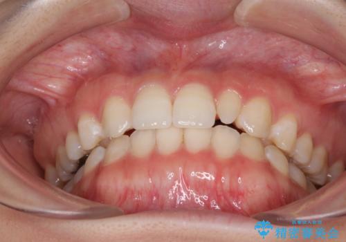
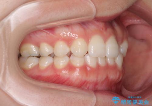
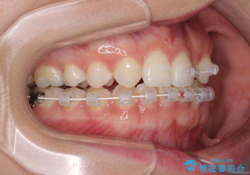
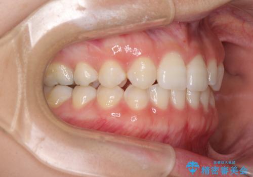
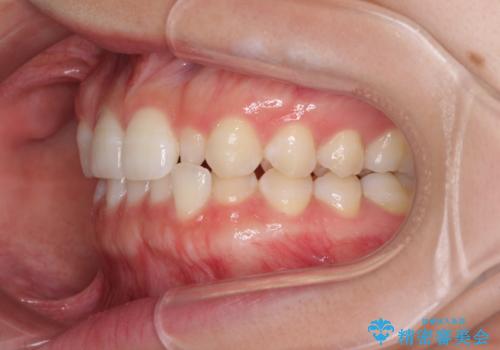
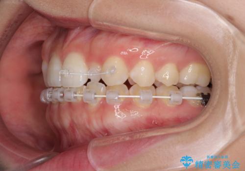
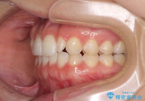
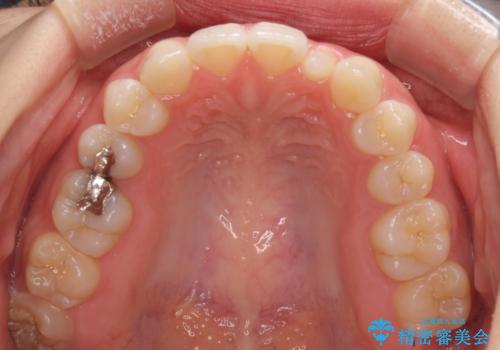
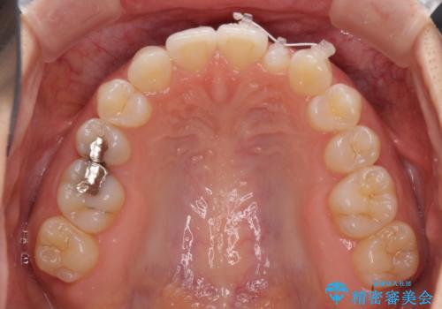
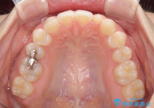
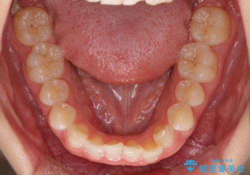
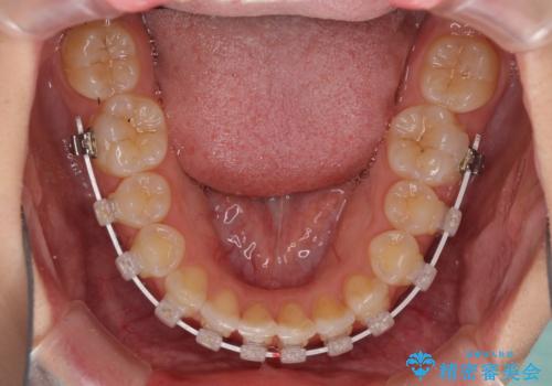
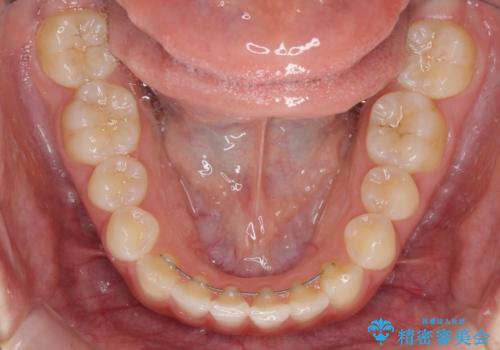
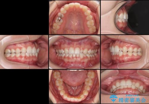
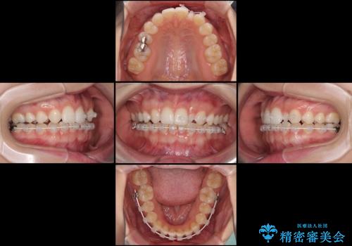
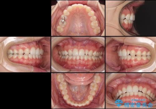
- 1年後に海外に転居するため、気になる前歯を矯正治療で整えたいとのことで来院された患者様です。
下顎は叢生が強かったため、奥歯までワイヤーを装着し、上顎は前歯の一部のみ気になっていたので、その部分にだけワイヤー装置を装着することとしました。
- 費用(概算)
- 治療費の目安:45万円費用は治療当時の料金となります
治療について
部分矯正は、適応となる症例が限定されます。
こちらの患者様は部分矯正が可能な、非常に珍しい方でしたが、部分矯正を希望される患者様の大半は、全顎矯正が必要となります。
安易に部分矯正を受けると、予想もしていなかった仕上がりとなることがあるので注意が必要です。
ワイヤー矯正の注意事項(リスク・副作用など)
- 治療中は違和感や痛みが起こることがあります
- 症状により、抜歯が必要な場合があります
- 治療中は歯磨きがしにくくなるため、虫歯や歯周病になりやすくなります
- 矯正治療後の保定が不十分だと後戻り(元の位置に戻ろうとする動き)をします
- 自費診療(保険適用外)となります
当サイトの内容、テキスト、画像等の無断転載、複製、複写、盗用を固く禁じます。


























