症例詳細
Case detail
歯に穴があいた 奥歯のセラミック治療
治療症例の内容
- 診療科目
- 治療カテゴリ
- 担当医
- 藤巻太一朗(ドクタープロフィール)
- 患者様
- 50代女性
- 治療期間
- 1ヶ月
- 治療回数
- 2-5回
- 治療計画
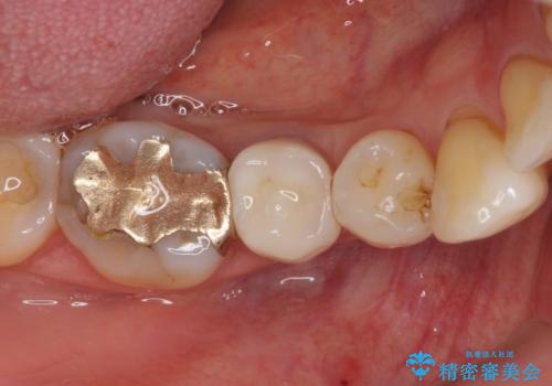
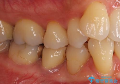
- メインテナンスの際、以前よりものが挟まることが気になっていた患者様です。
神経が取り除かれた歯であるため、虫歯で歯が失われていく際に痛みを伴わなず、気がついたら大きな穴があいていました。
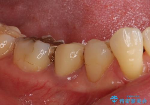
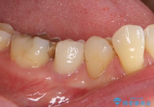
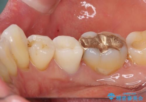
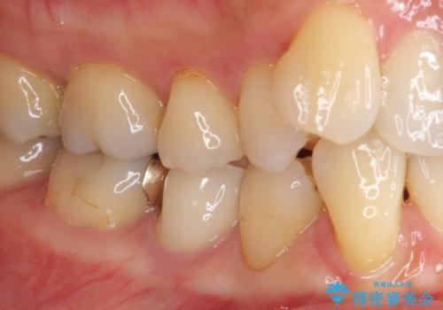
虫歯を全て除去したうえで新しい土台を築製し、セラミッククラウンにより補綴治療を行うこととしました。
- 費用(概算)
- 治療費の目安: 10万円費用は治療当時の料金となります
治療について
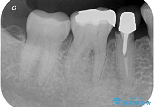
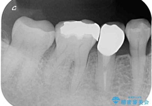
虫歯が歯根深くまで及んでいる場合には歯を部分矯正で引っ張り出したり、歯周外科処置が必要となったりしますが、メインテナンスでレントゲン写真を定期的に撮っていたため、幸いにも矯正や外科処置が必要となる前に補綴治療を行うことができました。
セラミック治療の注意事項(リスク・副作用など)
- 天然歯を削ります
- 硬い素材は天然歯を傷つけてしまう場合があります
- かみ合わせや歯ぎしりが強すぎる方はセラミックが割れてしまう可能性があります
- 自費診療(保険適用外治療)となります
当サイトの内容、テキスト、画像等の無断転載、複製、複写、盗用を固く禁じます。










