症例詳細
Case detail
不調和な前歯の審美歯科治療
治療症例の内容
- 診療科目
- 治療カテゴリ
- 担当医
- 藤巻太一朗(ドクタープロフィール)
- 患者様
- 40代女性
- 治療期間
- 2ヶ月
- 治療回数
- 2-5回
- 治療計画
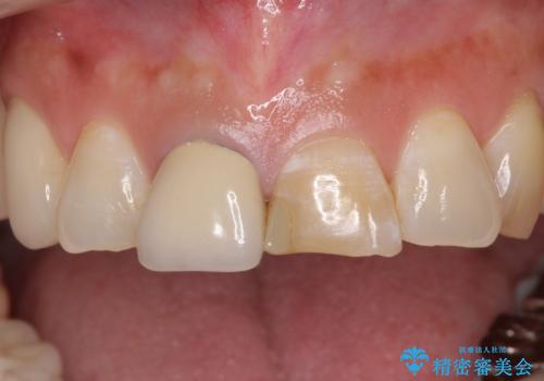
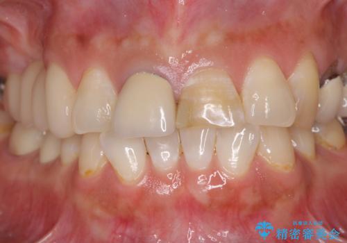
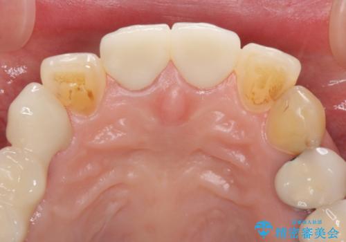
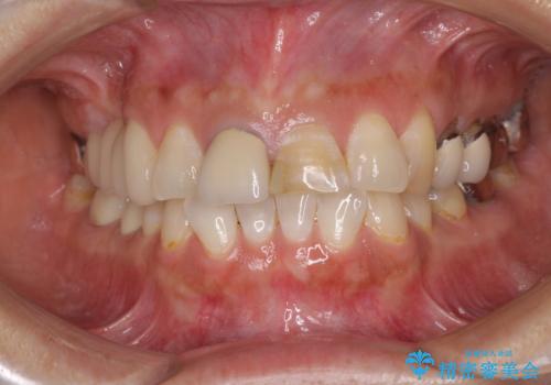
- 上の前歯2本が不調和であることを気にして来院された患者様です。
以前に前歯をぶつけた際、一方は神経を取り除いたためクラウンを装着し、もう一方は神経が残せたため一部修復をしていたとのことでした。
神経は残せていましたが、歯の色の変色が著しく、また広がった大きな形をしていたため、前歯2本をオールセラミッククラウンにて補綴することとしました。
- 費用(概算)
- 治療費の目安: 24万円費用は治療当時の料金となります
治療について
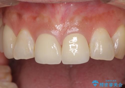
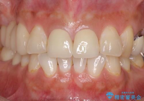
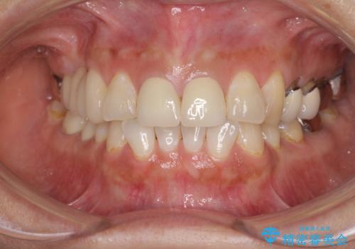
前歯2本を同時に処置したことにより、色合いも形態もバランスの取れた仕上がりとすることができました。
10年近く人にあまり見られないようにしていた前歯でしたが、人目を気にせず笑えるようになり、患者様には大変満足していただきました。
セラミック治療の注意事項(リスク・副作用など)
- 天然歯を削ります
- 硬い素材は天然歯を傷つけてしまう場合があります
- かみ合わせや歯ぎしりが強すぎる方はセラミックが割れてしまう可能性があります
- 自費診療(保険適用外治療)となります
当サイトの内容、テキスト、画像等の無断転載、複製、複写、盗用を固く禁じます。














