症例詳細
Case detail
治療の度に痛んだ歯 セラミッククラウンによる補綴治療
治療症例の内容
- 診療科目
- 治療カテゴリ
- 担当医
- 藤巻太一朗(ドクタープロフィール)
- 患者様
- 30代女性
- 治療期間
- 2ヶ月
- 治療回数
- 2-5回
- 治療計画
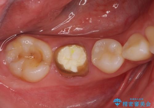
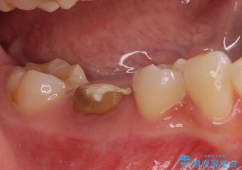
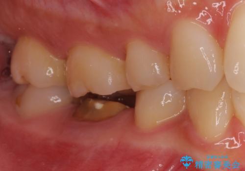
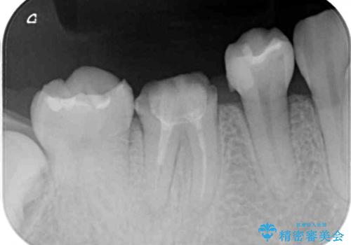
- セラミッククラウンが破損したため、職場近くのクリニックで治療開始したものの、当院への転院を希望して来院された患者様です。
クラウン再製作の際、提案された根管治療を開始したものの、処置の度に痛みを感じるとのことでした。
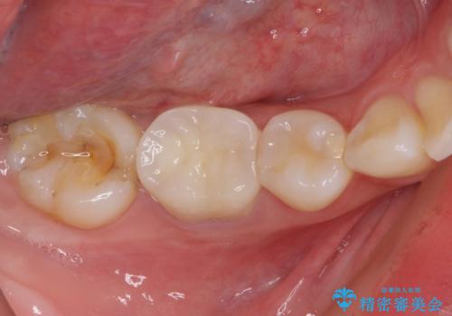
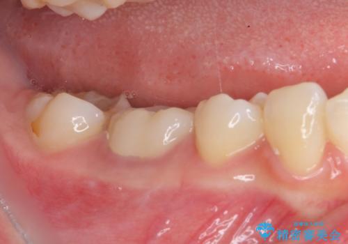
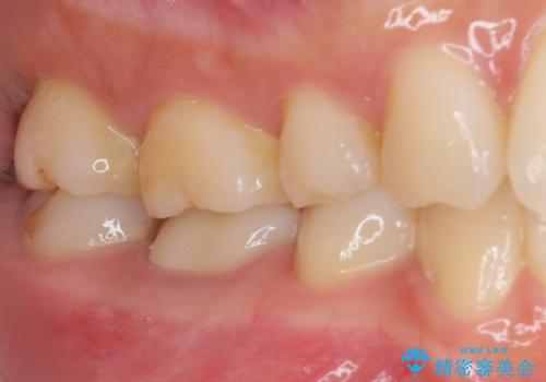
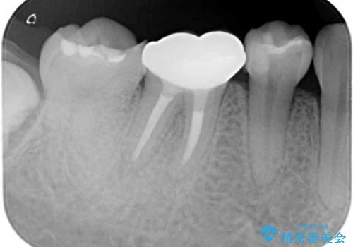
当院にて根管治療を行った後に、フルジルコニアクラウンにて補綴することとしました。
- 費用(概算)
- 治療費の目安: 23万円費用は治療当時の料金となります
治療について
前医での根管治療の度に感じていた痛みの原因は分かりませんでしたが、元々違和感すらなかった歯であったので、速やかに根管治療を行った後に、ジルコニアクラウンを装着しました。
咬み合わせが強く、歯の高さが非常に低かったため、審美性には劣るものの、高強度であるフルジルコニアクラウンを採用しました。
セラミック治療の注意事項(リスク・副作用など)
- 天然歯を削ります
- 硬い素材は天然歯を傷つけてしまう場合があります
- かみ合わせや歯ぎしりが強すぎる方はセラミックが割れてしまう可能性があります
- 自費診療(保険適用外治療)となります
根管治療の注意事項(リスク・副作用など)
- 根管治療により類似の全ての症例の問題が解決するわけではなく、症例はあくまでも一例です
- 根管治療により痛みや腫れがひかない事や、術後に痛みや腫れが生じる事、治療によるファイル破折やパーフォレーションなどの偶発症、術後の歯根破折を生じる可能性もあります
- 自費診療(保険適用外)となります
当サイトの内容、テキスト、画像等の無断転載、複製、複写、盗用を固く禁じます。








