症例詳細
Case detail
継ぎ接ぎだらけで歯肉も腫れてしまった前歯 オールセラミックの審美歯科治療
治療症例の内容
- 診療科目
- 治療カテゴリ
- 担当医
- 藤巻太一朗(ドクタープロフィール)
- 患者様
- 30代女性
- 治療期間
- 1ヶ月
- 治療回数
- 2-5回
- 治療計画
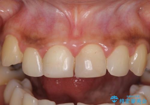
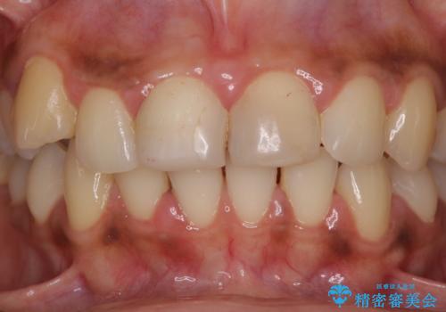
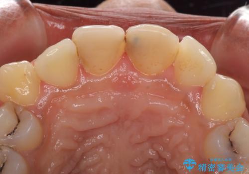
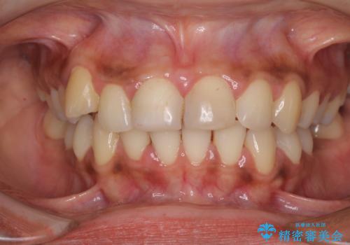
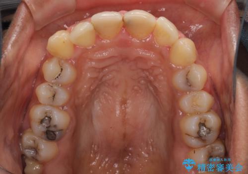
- 上の前歯2本の審美障害を気にして来院された患者様です。樹脂が無造作に充填されており、色合いも形態も不自然で、歯肉も腫れているため、オールセラミッククラウンにて補綴することとしました。
- 費用(概算)
- 治療費の目安: 22万円費用は治療当時の料金となります
治療について
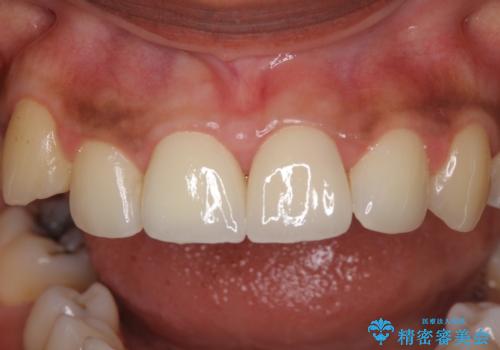
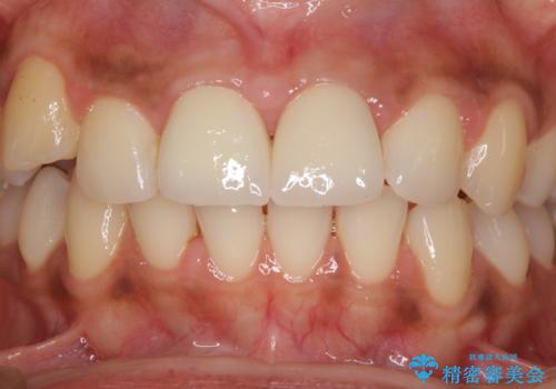
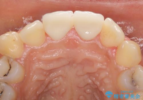
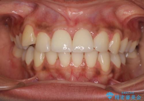
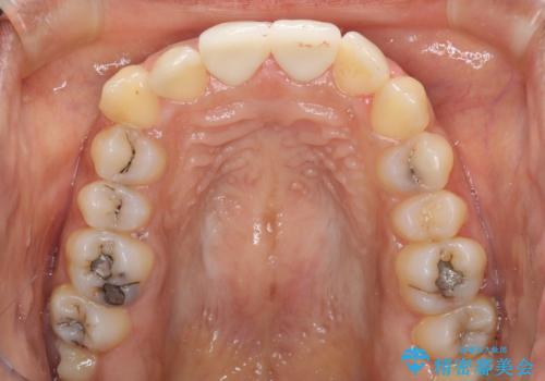
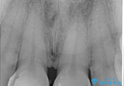
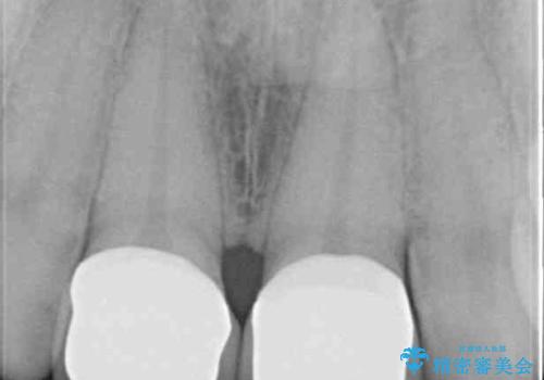
充填されたレジンを取り除いたところ、歯肉の炎症による出血が認められました。セラミッククラウン装着後は歯肉が腫れることもなく、仕上がりも自然な歯のようになり、患者様には大変満足していただきました。
セラミック治療の注意事項(リスク・副作用など)
- 天然歯を削ります
- 硬い素材は天然歯を傷つけてしまう場合があります
- かみ合わせや歯ぎしりが強すぎる方はセラミックが割れてしまう可能性があります
- 自費診療(保険適用外治療)となります
当サイトの内容、テキスト、画像等の無断転載、複製、複写、盗用を固く禁じます。














