症例詳細
Case detail
金属で変色した前歯を綺麗にしたい オールセラミッククラウンによる前歯の治療
治療症例の内容
- 診療科目
- 治療カテゴリ
- 担当医
- 藤巻太一朗(ドクタープロフィール)
- 患者様
- 30代女性
- 治療期間
- 3ヶ月
- 治療回数
- 2-5回
- 治療計画
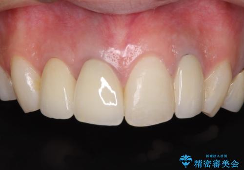
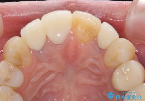
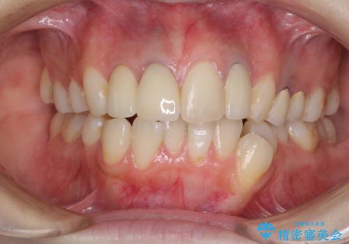
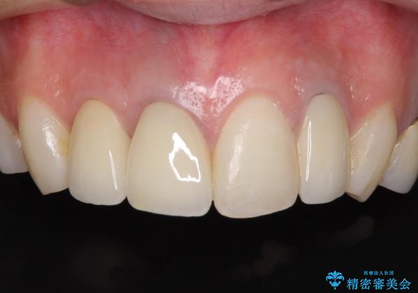
- 以前治療した前歯のクラウンの色が気になるとのことで来院された患者様です。
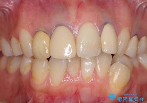
3歯別々に治療したクラウンは、どれも未治療の前歯を異なる色調で、口元が縞模様の印象でした。
更に、土台やフレームの金属色により、歯肉ラインが黒ずんでしまっていました。
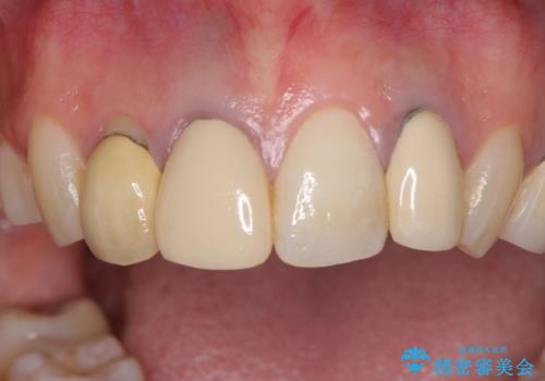
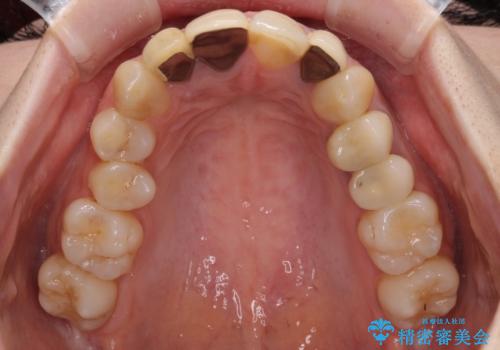
必要な歯には根管治療を行い、金属を使わない土台を植立した上で、オールセラミッククラウンにて補綴することとしました。
- 費用(概算)
- 治療費の目安: 48万円費用は治療当時の料金となります
治療について
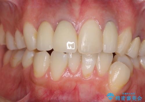
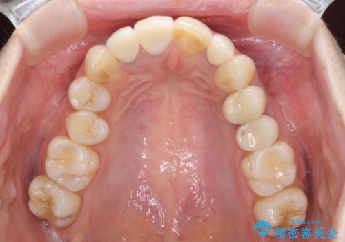
色調を統一するために、未治療の1歯もクラウンを装着するかどうか悩んでいらっしゃいましたが、結果としては治療せずに4前歯の色調を合わせることができました。
歯肉の黒ずみも多少改善させることができ、患者様には大変満足していただきました。
セラミック治療の注意事項(リスク・副作用など)
- 天然歯を削ります
- 硬い素材は天然歯を傷つけてしまう場合があります
- かみ合わせや歯ぎしりが強すぎる方はセラミックが割れてしまう可能性があります
- 自費診療(保険適用外治療)となります
当サイトの内容、テキスト、画像等の無断転載、複製、複写、盗用を固く禁じます。














